Prophase Under Microscope

Prophase Under Microscope

Observing cellular processes under a microscope is a fascinating journey into the microscopic world. One of the most intriguing phases to study is the prophase under microscope. This phase is the first stage of mitosis, where the cell prepares for division. Understanding the prophase under microscope provides valuable insights into the mechanisms of cell division and the structural changes that occur within the cell.

Understanding Prophase

Prophase is a critical stage in the cell cycle, marking the beginning of mitosis. During this phase, several key events take place that set the stage for the subsequent stages of cell division. These events include:

  • Chromatin condensation
  • Formation of the mitotic spindle
  • Disintegration of the nuclear envelope
  • Centrosome separation

Each of these events is crucial for the successful completion of mitosis and the accurate distribution of genetic material to the daughter cells.

Chromatin Condensation

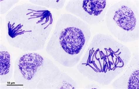
One of the most visible changes during prophase under microscope is the condensation of chromatin. Chromatin, which is normally dispersed and loosely packed, begins to condense into distinct structures called chromosomes. This condensation is essential for the proper segregation of genetic material during mitosis. Under the microscope, the condensed chromosomes appear as thick, thread-like structures.

Formation of the Mitotic Spindle

The mitotic spindle is a dynamic structure composed of microtubules that plays a crucial role in separating the sister chromatids during mitosis. During prophase, the mitotic spindle begins to form around the centrosomes, which are organelles that organize the microtubules. The spindle fibers extend from the centrosomes towards the center of the cell, where they will eventually attach to the kinetochores of the chromosomes.

Disintegration of the Nuclear Envelope

Another significant event during prophase under microscope is the disintegration of the nuclear envelope. The nuclear envelope, which surrounds the nucleus and separates it from the cytoplasm, breaks down into small vesicles. This breakdown allows the mitotic spindle to access the chromosomes and facilitates their movement towards the opposite poles of the cell.

Centrosome Separation

Centrosomes are organelles that serve as the microtubule-organizing centers of the cell. During prophase, the centrosomes begin to move apart, positioning themselves at opposite poles of the cell. This separation is essential for the formation of the mitotic spindle and the proper alignment of the chromosomes along the metaphase plate.

Observing Prophase Under Microscope

To observe prophase under microscope, it is essential to prepare the cell sample correctly. Here are the steps to follow:

  • Prepare a cell culture or obtain a tissue sample containing actively dividing cells.
  • Fix the cells using a fixative solution, such as methanol or formaldehyde, to preserve their structure.
  • Stain the cells with a suitable dye, such as Giemsa or DAPI, to enhance the visibility of the chromosomes and other cellular structures.
  • Mount the stained cells on a microscope slide and cover them with a coverslip.
  • Examine the slide under a light microscope, preferably at a magnification of 400x or higher.

When observing prophase under microscope, look for the following features:

  • Condensed chromosomes
  • Mitotic spindle formation
  • Disintegrated nuclear envelope
  • Separated centrosomes

🔍 Note: Ensure that the microscope is properly calibrated and the lighting is adjusted for optimal viewing. Use immersion oil for higher magnification to improve the resolution of the image.

Importance of Studying Prophase

Studying prophase under microscope is crucial for understanding the fundamental processes of cell division and genetic inheritance. By observing the changes that occur during prophase, researchers can gain insights into:

  • The mechanisms of chromosome condensation and segregation
  • The role of the mitotic spindle in cell division
  • The regulation of the cell cycle and its checkpoints
  • The potential causes of chromosomal abnormalities and genetic disorders

Moreover, studying prophase can help in the development of new therapeutic strategies for diseases associated with abnormal cell division, such as cancer.

Challenges in Observing Prophase

While observing prophase under microscope can provide valuable insights, it also presents several challenges. Some of the common challenges include:

  • Difficulty in obtaining high-quality cell samples
  • Variability in the staining and fixation processes
  • Limited resolution of light microscopes
  • Rapid progression of the cell cycle, making it difficult to capture prophase

To overcome these challenges, researchers often use advanced microscopy techniques, such as confocal microscopy or electron microscopy, which provide higher resolution and better visualization of cellular structures.

Advanced Techniques for Studying Prophase

In addition to traditional light microscopy, several advanced techniques can be used to study prophase under microscope. These techniques offer higher resolution and more detailed information about the cellular processes occurring during prophase. Some of the advanced techniques include:

  • Confocal microscopy
  • Electron microscopy
  • Fluorescence microscopy
  • Live-cell imaging

Each of these techniques has its own advantages and limitations, and the choice of technique depends on the specific research question and the available resources.

Confocal microscopy, for example, allows for the visualization of three-dimensional structures within the cell, providing a more comprehensive understanding of the spatial organization of the mitotic spindle and chromosomes. Electron microscopy, on the other hand, offers extremely high resolution, enabling the detailed examination of subcellular structures and molecular interactions.

Fluorescence microscopy is particularly useful for studying the dynamics of specific proteins and organelles during prophase. By labeling proteins with fluorescent tags, researchers can track their movements and interactions in real-time. Live-cell imaging, which combines fluorescence microscopy with time-lapse imaging, allows for the continuous observation of cellular processes as they occur, providing valuable insights into the temporal dynamics of prophase.

Applications of Prophase Studies

The study of prophase under microscope has numerous applications in various fields of biology and medicine. Some of the key applications include:

  • Understanding the mechanisms of cell division and genetic inheritance
  • Identifying the causes of chromosomal abnormalities and genetic disorders
  • Developing new therapeutic strategies for diseases associated with abnormal cell division
  • Improving diagnostic techniques for detecting chromosomal abnormalities

For example, studying prophase can help in the development of targeted therapies for cancer, which often involves abnormal cell division and chromosomal instability. By understanding the molecular mechanisms underlying these processes, researchers can design drugs that specifically target the defective pathways, leading to more effective and personalized treatments.

Moreover, the study of prophase can contribute to the field of reproductive biology, where chromosomal abnormalities are a major cause of infertility and miscarriage. By identifying the factors that contribute to chromosomal instability during prophase, researchers can develop strategies to improve fertility outcomes and reduce the risk of genetic disorders in offspring.

In the field of diagnostics, the study of prophase can lead to the development of more accurate and efficient techniques for detecting chromosomal abnormalities. For instance, fluorescence in situ hybridization (FISH) is a technique that uses fluorescent probes to detect specific DNA sequences within chromosomes. By combining FISH with microscopy, researchers can identify chromosomal abnormalities with high precision, enabling early diagnosis and intervention.

Future Directions in Prophase Research

The field of prophase research is continually evolving, driven by advancements in microscopy techniques and molecular biology. Some of the future directions in prophase research include:

  • Developing new imaging techniques with higher resolution and sensitivity
  • Identifying novel molecular targets for therapeutic intervention
  • Exploring the role of epigenetic factors in regulating prophase events
  • Investigating the impact of environmental factors on chromosomal stability during prophase

For instance, the development of super-resolution microscopy techniques, such as STORM (Stochastic Optical Reconstruction Microscopy) and PALM (Photoactivated Localization Microscopy), has enabled the visualization of subcellular structures with unprecedented detail. These techniques can provide new insights into the molecular mechanisms underlying prophase events and pave the way for the discovery of novel therapeutic targets.

Additionally, the study of epigenetic factors, such as DNA methylation and histone modifications, can reveal how gene expression is regulated during prophase. Understanding these epigenetic mechanisms can help in the development of epigenetic therapies that target specific genes or pathways involved in chromosomal stability and cell division.

Furthermore, investigating the impact of environmental factors, such as radiation, chemicals, and stress, on chromosomal stability during prophase can provide valuable insights into the causes of genetic disorders and cancer. By identifying the environmental factors that contribute to chromosomal instability, researchers can develop strategies to mitigate these risks and improve public health.

In conclusion, the study of prophase under microscope is a fascinating and multifaceted field that offers numerous opportunities for scientific discovery and medical advancement. By understanding the molecular and cellular processes that occur during prophase, researchers can gain insights into the mechanisms of cell division, genetic inheritance, and disease pathogenesis. This knowledge can pave the way for the development of new diagnostic techniques, therapeutic strategies, and preventive measures, ultimately improving human health and well-being.

Related Terms:

  • phases of mitosis under microscope
  • anaphase under microscope
  • telophase under microscope
  • prophase under microscope labeled
  • prophase mitosis under microscope
  • early metaphase under microscope