Posterior Shoulder Dislocation

Posterior Shoulder Dislocation

Posterior shoulder dislocation is a serious medical condition that occurs when the humeral head, the ball-shaped top of the upper arm bone, is forced out of the shoulder socket from the back. This type of dislocation is less common than anterior dislocations but can be equally debilitating. Understanding the causes, symptoms, diagnosis, and treatment options for posterior shoulder dislocation is crucial for effective management and recovery.

Causes of Posterior Shoulder Dislocation

Posterior shoulder dislocation typically results from a significant force applied to the shoulder, pushing the humeral head backward out of the socket. Common causes include:

  • Traumatic Injuries: High-impact accidents such as car crashes, falls from significant heights, or sports-related injuries can lead to posterior shoulder dislocation.
  • Seizures: During a seizure, the muscles contract violently, which can dislocate the shoulder.
  • Electrocution: Similar to seizures, the intense muscle contractions caused by electric shock can dislocate the shoulder.
  • Repetitive Stress: In rare cases, repetitive stress or overuse can weaken the shoulder joint, making it more susceptible to dislocation.

Symptoms of Posterior Shoulder Dislocation

Recognizing the symptoms of posterior shoulder dislocation is essential for prompt medical intervention. Common symptoms include:

  • Severe Pain: Immediate and intense pain in the shoulder area.
  • Deformity: Visible deformity or abnormal appearance of the shoulder.
  • Limited Range of Motion: Difficulty moving the arm or shoulder.
  • Swelling and Bruising: Swelling and bruising around the shoulder joint.
  • Numbness or Weakness: Numbness or weakness in the arm or hand.

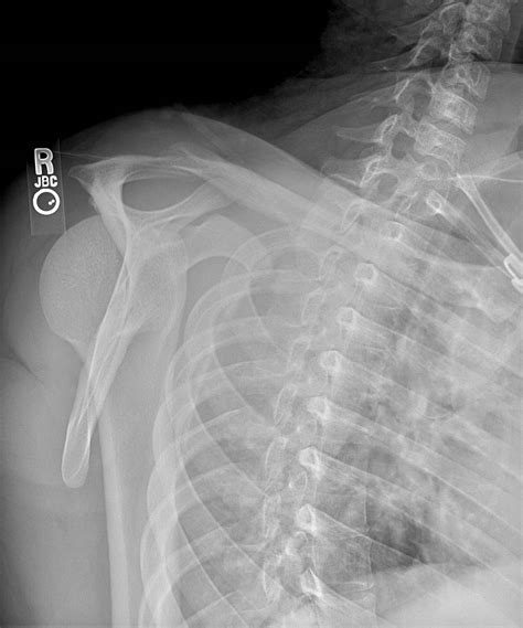
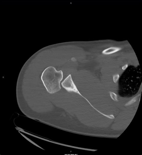
Diagnosis of Posterior Shoulder Dislocation

Diagnosing posterior shoulder dislocation involves a combination of physical examination and imaging tests. The diagnostic process typically includes:

  • Physical Examination: A healthcare provider will assess the shoulder for deformity, swelling, and range of motion.
  • Imaging Tests: X-rays are the primary imaging tool used to confirm the diagnosis. Additional tests such as CT scans or MRIs may be ordered to evaluate the extent of the injury and any associated damage to surrounding tissues.

Treatment Options for Posterior Shoulder Dislocation

Treatment for posterior shoulder dislocation aims to reduce the dislocation, manage pain, and promote healing. The treatment plan may include:

  • Immediate Reduction: The first step is to relocate the humeral head back into the shoulder socket. This procedure, known as reduction, is typically performed under sedation to minimize pain and discomfort.
  • Immobilization: After reduction, the shoulder is immobilized using a sling or brace to allow the tissues to heal. The duration of immobilization varies but usually lasts for several weeks.
  • Pain Management: Medications such as nonsteroidal anti-inflammatory drugs (NSAIDs) or opioids may be prescribed to manage pain.
  • Physical Therapy: Once the shoulder has healed sufficiently, physical therapy is essential to restore range of motion, strength, and function. A physical therapist will design a customized exercise program to address specific needs.
  • Surgical Intervention: In cases of severe injury or recurrent dislocations, surgery may be necessary. Surgical options include arthroscopic repair or open surgery to stabilize the shoulder joint.

Complications of Posterior Shoulder Dislocation

Posterior shoulder dislocation can lead to several complications if not properly managed. Potential complications include:

  • Recurrent Dislocations: The shoulder may be prone to future dislocations, especially if the underlying cause is not addressed.
  • Nerve and Vessel Damage: The dislocation can cause damage to nerves and blood vessels in the shoulder area, leading to numbness, weakness, or reduced blood flow.
  • Arthritis: Long-term complications may include the development of arthritis in the shoulder joint.
  • Rotator Cuff Tears: The dislocation can result in tears to the rotator cuff muscles and tendons, which are crucial for shoulder stability and movement.

Prevention of Posterior Shoulder Dislocation

While not all posterior shoulder dislocations can be prevented, certain measures can reduce the risk of injury. Prevention strategies include:

  • Proper Warm-Up and Cool-Down: Before engaging in physical activities, ensure a thorough warm-up and cool-down to prepare the muscles and joints.
  • Strength Training: Regular strength training exercises can improve the stability and strength of the shoulder joint.
  • Avoiding High-Risk Activities: Be cautious during high-risk activities such as contact sports or dangerous hobbies.
  • Seizure Management: For individuals with a history of seizures, proper management and medication adherence can reduce the risk of shoulder dislocation during a seizure.

📝 Note: Always consult with a healthcare provider for personalized advice on preventing and managing shoulder injuries.

Recovery and Rehabilitation

Recovery from posterior shoulder dislocation involves a structured rehabilitation program to restore function and prevent future injuries. The rehabilitation process typically includes:

  • Initial Phase: Focus on pain management and gentle range-of-motion exercises to prevent stiffness.
  • Intermediate Phase: Gradually introduce strengthening exercises to improve muscle strength and stability.
  • Advanced Phase: Incorporate functional exercises and sport-specific training to prepare for a return to normal activities.

Physical therapy plays a crucial role in the recovery process. A physical therapist will design a personalized program based on the individual's needs and progress. Regular follow-ups with the healthcare provider are essential to monitor healing and adjust the treatment plan as needed.

Long-Term Management

Long-term management of posterior shoulder dislocation focuses on maintaining shoulder health and preventing future injuries. Key aspects of long-term management include:

  • Regular Exercise: Continue with a regular exercise program to maintain shoulder strength and flexibility.
  • Proper Technique: Use correct techniques during physical activities to minimize the risk of injury.
  • Avoiding Overuse: Avoid overusing the shoulder to prevent repetitive stress injuries.
  • Follow-Up Care: Regular follow-ups with a healthcare provider to monitor shoulder health and address any concerns.

In some cases, individuals may require ongoing physical therapy or surgical intervention to manage chronic issues related to posterior shoulder dislocation. It is essential to work closely with healthcare providers to develop a comprehensive long-term management plan.

Posterior shoulder dislocation is a complex condition that requires prompt medical attention and a structured rehabilitation program. Understanding the causes, symptoms, diagnosis, and treatment options is crucial for effective management and recovery. By following a comprehensive treatment plan and engaging in long-term management strategies, individuals can regain shoulder function and prevent future injuries.

Related Terms:

  • posterior shoulder dislocation radiopaedia
  • posterior shoulder dislocation orthobullets
  • posterior shoulder dislocation light bulb
  • inferior shoulder dislocation
  • posterior dislocation shoulder xr
  • posterior vs anterior shoulder dislocation