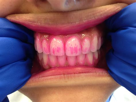
Plaque Showing Tablets

Plaque Showing Tablets

Dental health is a critical aspect of overall well-being, and maintaining good oral hygiene is essential for preventing various dental issues. One of the most common problems people face is the buildup of plaque, a sticky film of bacteria that can lead to tooth decay and gum disease. Plaque Showing Tablets are a valuable tool in the fight against plaque, offering a simple and effective way to monitor and manage oral health.

Understanding Plaque and Its Impact on Oral Health

Plaque is a colorless, sticky film that constantly forms on teeth. It is composed of bacteria that feed on the sugars and starches from the food and drinks we consume. If not removed regularly, plaque can harden into tartar, which is much more difficult to remove and can only be eliminated through professional dental cleaning.

The buildup of plaque can lead to several oral health issues, including:

  • Tooth decay: Plaque produces acids that erode tooth enamel, leading to cavities.
  • Gum disease: Plaque can irritate and inflame the gums, causing gingivitis, which can progress to periodontitis if left untreated.
  • Bad breath: The bacteria in plaque can cause persistent bad breath.
  • Stained teeth: Plaque can contribute to the discoloration of teeth over time.

What Are Plaque Showing Tablets?

Plaque Showing Tablets are specially designed to help individuals visualize the presence of plaque on their teeth. These tablets contain a dye that temporarily stains plaque, making it visible and easier to identify. By using Plaque Showing Tablets, users can gain a better understanding of their oral hygiene habits and areas that may require more attention during brushing and flossing.

How Do Plaque Showing Tablets Work?

Plaque Showing Tablets work by utilizing a harmless dye that binds to the plaque on the teeth. When the tablet is chewed or dissolved in the mouth, the dye coats the teeth and highlights any remaining plaque. The stained areas indicate where plaque has accumulated, providing a clear visual guide for more effective brushing and flossing.

Here is a step-by-step guide on how to use Plaque Showing Tablets:

  1. Brush and floss your teeth as you normally would.
  2. Chew the Plaque Showing Tablet or dissolve it in your mouth for the recommended time, usually about 30 seconds to a minute.
  3. Rinse your mouth with water to remove any excess dye.
  4. Examine your teeth in a well-lit area, such as in front of a mirror. The stained areas will indicate where plaque is present.
  5. Brush and floss the stained areas thoroughly to remove the plaque.

💡 Note: It is important to note that the dye used in Plaque Showing Tablets is temporary and will wash away with regular brushing and rinsing. The staining is not permanent and will not harm your teeth.

Benefits of Using Plaque Showing Tablets

Incorporating Plaque Showing Tablets into your oral hygiene routine offers several benefits:

  • Improved brushing technique: By visualizing the plaque, you can identify areas that need more attention and improve your brushing technique.
  • Enhanced oral hygiene: Regular use of Plaque Showing Tablets can help you maintain better oral hygiene by ensuring that all areas of your mouth are thoroughly cleaned.
  • Early detection of issues: Identifying plaque buildup early can help prevent more serious dental problems, such as cavities and gum disease.
  • Educational tool: Plaque Showing Tablets are an excellent educational tool for children and adults alike, helping them understand the importance of oral hygiene and proper brushing techniques.

Choosing the Right Plaque Showing Tablets

When selecting Plaque Showing Tablets, consider the following factors to ensure you choose the right product for your needs:

  • Ingredients: Look for tablets that contain safe and effective dyes, such as erythrosine or FD&C Red No. 3, which are commonly used in food and cosmetic products.
  • Ease of use: Choose tablets that are easy to chew or dissolve and do not leave a strong aftertaste.
  • Brand reputation: Opt for products from reputable brands known for their quality and effectiveness.
  • Cost: Compare prices to find a product that fits your budget without compromising on quality.

Incorporating Plaque Showing Tablets into Your Oral Hygiene Routine

To maximize the benefits of Plaque Showing Tablets, incorporate them into your regular oral hygiene routine. Here are some tips for effective use:

  • Use the tablets once a week to monitor your oral hygiene progress.
  • Combine the use of Plaque Showing Tablets with regular brushing, flossing, and dental check-ups.
  • Encourage family members, especially children, to use the tablets to develop good oral hygiene habits.

Common Misconceptions About Plaque Showing Tablets

There are several misconceptions surrounding Plaque Showing Tablets that can deter people from using them. Let's address some of the most common myths:

Myth 1: Plaque Showing Tablets are only for children.

While Plaque Showing Tablets are often marketed towards children, they are beneficial for adults as well. Adults can also benefit from visualizing plaque to improve their brushing techniques and maintain better oral hygiene.

Myth 2: Plaque Showing Tablets are harmful to teeth.

The dyes used in Plaque Showing Tablets are safe and temporary. They do not cause any harm to the teeth or gums and will wash away with regular brushing and rinsing.

Myth 3: Plaque Showing Tablets are a replacement for regular brushing and flossing.

Plaque Showing Tablets are a supplementary tool to enhance oral hygiene, not a replacement for regular brushing and flossing. They should be used in conjunction with a comprehensive oral care routine.

Plaque Showing Tablets and Professional Dental Care

While Plaque Showing Tablets are a valuable tool for maintaining oral hygiene at home, they should not replace professional dental care. Regular dental check-ups and cleanings are essential for preventing and treating dental issues. Your dentist can provide personalized advice and recommendations based on your oral health needs.

During your dental visits, your dentist may also use specialized tools and techniques to detect and remove plaque and tartar. These professional cleanings are crucial for maintaining optimal oral health and preventing more serious dental problems.

Plaque Showing Tablets and Diet

In addition to using Plaque Showing Tablets and maintaining good oral hygiene practices, your diet plays a significant role in preventing plaque buildup. Here are some dietary tips to support oral health:

  • Limit sugary and starchy foods: Bacteria in plaque feed on sugars and starches, producing acids that erode tooth enamel. Reducing your intake of these foods can help minimize plaque buildup.
  • Increase water intake: Drinking plenty of water helps rinse away food particles and bacteria, reducing the risk of plaque formation.
  • Consume crunchy fruits and vegetables: Foods like apples, carrots, and celery can help clean teeth and stimulate saliva production, which naturally washes away plaque.
  • Avoid frequent snacking: Frequent snacking increases the exposure of teeth to acids produced by bacteria, leading to more plaque buildup.

Plaque Showing Tablets and Oral Health Products

In addition to Plaque Showing Tablets, there are several other oral health products that can help you maintain good oral hygiene. These products work in conjunction with Plaque Showing Tablets to provide comprehensive oral care:

Electric Toothbrushes

Electric toothbrushes are designed to provide a more thorough cleaning compared to manual toothbrushes. They often come with features like timers and pressure sensors to ensure effective brushing.

Dental Floss

Flossing is essential for removing plaque and food particles from between teeth and under the gumline, areas that a toothbrush cannot reach.

Mouthwash

Mouthwash can help reduce bacteria in the mouth, freshen breath, and provide additional protection against plaque and cavities.

Tongue Scrapers

Tongue scrapers help remove bacteria and debris from the tongue, which can contribute to bad breath and plaque buildup.

Plaque Showing Tablets and Children's Oral Health

Teaching children good oral hygiene habits from a young age is crucial for their long-term dental health. Plaque Showing Tablets can be a fun and educational tool for children to learn about the importance of brushing and flossing. Here are some tips for using Plaque Showing Tablets with children:

  • Make it a game: Turn the use of Plaque Showing Tablets into a game to make it more enjoyable for children.
  • Explain the importance: Teach children about the importance of removing plaque to prevent cavities and gum disease.
  • Encourage regular use: Incorporate Plaque Showing Tablets into your child's oral hygiene routine to help them develop good habits.

Plaque Showing Tablets and Special Considerations

While Plaque Showing Tablets are generally safe and effective for most people, there are some special considerations to keep in mind:

Allergies

If you have allergies to certain dyes or ingredients, be sure to check the label of the Plaque Showing Tablets before use. Some people may be sensitive to the dyes used in these tablets.

Pregnancy and Breastfeeding

If you are pregnant or breastfeeding, consult your healthcare provider before using Plaque Showing Tablets to ensure they are safe for you and your baby.

Dental Work

If you have dental work such as braces, crowns, or implants, Plaque Showing Tablets can still be used. However, you may need to pay extra attention to cleaning around these areas to ensure thorough plaque removal.

Plaque Showing Tablets and Long-Term Oral Health

Maintaining good oral hygiene is a lifelong commitment that requires consistent effort and attention. Plaque Showing Tablets can be a valuable tool in your long-term oral health strategy. By using these tablets regularly, you can:

  • Monitor your oral hygiene progress over time.
  • Identify areas that require more attention during brushing and flossing.
  • Prevent the buildup of plaque and tartar, reducing the risk of cavities and gum disease.
  • Encourage good oral hygiene habits in children and adults alike.

Incorporating Plaque Showing Tablets into your oral hygiene routine can help you achieve and maintain optimal oral health, ensuring a healthy smile for years to come.

Plaque Showing Tablets are a simple yet effective tool for monitoring and managing oral health. By visualizing plaque buildup, individuals can improve their brushing techniques, enhance their oral hygiene routines, and prevent more serious dental issues. Whether used by children or adults, Plaque Showing Tablets offer a valuable educational and practical benefit for maintaining good oral health. Regular use of these tablets, combined with a comprehensive oral care routine and professional dental care, can help ensure a healthy and bright smile for life.

Related Terms:

  • best plaque disclosing tablets
  • chewable tablets that show plaque
  • how to use disclosing tablets
  • plaque disclosing tablets for teeth
  • plaque disclosing tablets instructions
  • how do disclosing tablets work