Pituitary With Infundibular Stalk

Pituitary With Infundibular Stalk

The pituitary gland, a small yet crucial endocrine organ, plays a pivotal role in regulating various physiological processes. One of its critical components is the pituitary with infundibular stalk, a structure that connects the pituitary gland to the hypothalamus. This connection is essential for the proper functioning of the pituitary gland, as it facilitates the transmission of hormones and neural signals between the two regions. Understanding the anatomy, function, and clinical significance of the pituitary with infundibular stalk is crucial for healthcare professionals and researchers alike.

The Anatomy of the Pituitary with Infundibular Stalk

The pituitary gland is located at the base of the brain, within a bony structure called the sella turcica. It is divided into two main parts: the anterior pituitary (adenohypophysis) and the posterior pituitary (neurohypophysis). The infundibular stalk, also known as the pituitary stalk, connects the pituitary gland to the hypothalamus. This stalk is composed of both neural and vascular elements, allowing for the bidirectional communication between the hypothalamus and the pituitary gland.

The infundibular stalk contains the following key components:

  • Hypophysial portal system: A network of blood vessels that carries hormones from the hypothalamus to the anterior pituitary.
  • Neural fibers: Axons that extend from the hypothalamus to the posterior pituitary, releasing hormones directly into the bloodstream.
  • Supportive tissue: Glial cells and other supportive structures that maintain the integrity of the stalk.

The Function of the Pituitary with Infundibular Stalk

The primary function of the pituitary with infundibular stalk is to facilitate communication between the hypothalamus and the pituitary gland. This communication is essential for the regulation of various physiological processes, including:

  • Growth and development: The pituitary gland secretes growth hormone (GH), which is regulated by growth hormone-releasing hormone (GHRH) and growth hormone-inhibiting hormone (GHIH, also known as somatostatin) from the hypothalamus.
  • Metabolism: The pituitary gland produces thyroid-stimulating hormone (TSH), which regulates thyroid function, and adrenocorticotropic hormone (ACTH), which stimulates the adrenal glands to produce cortisol.
  • Reproduction: The pituitary gland secretes follicle-stimulating hormone (FSH) and luteinizing hormone (LH), which are crucial for reproductive function.
  • Water balance: The posterior pituitary releases antidiuretic hormone (ADH), also known as vasopressin, which regulates water reabsorption in the kidneys.
  • Milk production: The pituitary gland produces prolactin, which stimulates milk production in the mammary glands.

This intricate system of hormonal regulation ensures that the body maintains homeostasis and responds appropriately to various physiological demands.

Clinical Significance of the Pituitary with Infundibular Stalk

Disruptions in the pituitary with infundibular stalk can lead to various clinical conditions, including:

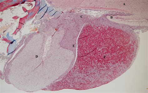
  • Pituitary tumors: Tumors in the pituitary gland can compress the infundibular stalk, leading to hormonal imbalances and neurological symptoms.
  • Traumatic brain injury (TBI): Injury to the brain can damage the infundibular stalk, resulting in pituitary dysfunction.
  • Inflammatory conditions: Inflammation of the pituitary gland or the infundibular stalk can disrupt hormonal regulation.
  • Vascular events: Conditions such as pituitary apoplexy, which involves the sudden hemorrhage or infarction of the pituitary gland, can affect the infundibular stalk.

Diagnosing and managing these conditions often require a multidisciplinary approach, involving endocrinologists, neurologists, and neurosurgeons.

Diagnostic Approaches for Pituitary with Infundibular Stalk Disorders

Diagnosing disorders related to the pituitary with infundibular stalk involves a combination of clinical evaluation, imaging studies, and laboratory tests. Some of the key diagnostic approaches include:

  • Clinical evaluation: A thorough medical history and physical examination can provide valuable insights into the patient's symptoms and potential underlying causes.
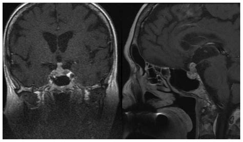
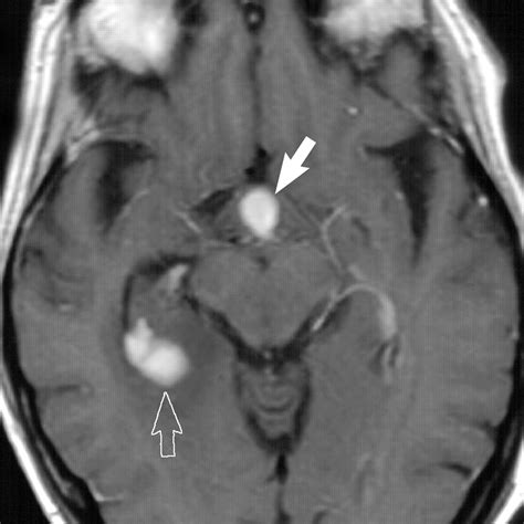
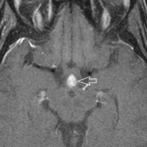
  • Imaging studies: Magnetic resonance imaging (MRI) is the gold standard for visualizing the pituitary gland and the infundibular stalk. It can detect tumors, inflammation, and other structural abnormalities.
  • Laboratory tests: Blood tests can measure hormone levels, helping to identify hormonal imbalances and guide treatment decisions.

In some cases, additional tests such as dynamic hormone testing or genetic analysis may be necessary to confirm the diagnosis and determine the underlying cause.

Treatment Options for Pituitary with Infundibular Stalk Disorders

The treatment of disorders related to the pituitary with infundibular stalk depends on the underlying cause and the specific hormonal imbalances present. Some of the common treatment options include:

  • Medications: Hormone replacement therapy can be used to correct hormonal imbalances. For example, patients with growth hormone deficiency may benefit from recombinant human growth hormone (rhGH) therapy.
  • Surgery: Surgical intervention may be necessary to remove tumors or repair damage to the infundibular stalk. Transsphenoidal surgery is a common approach for accessing the pituitary gland.
  • Radiation therapy: In some cases, radiation therapy may be used to treat pituitary tumors or other lesions affecting the infundibular stalk.
  • Lifestyle modifications: Dietary changes, exercise, and stress management techniques can help manage symptoms and improve overall health.

Treatment plans are typically individualized based on the patient's specific needs and the underlying cause of the disorder.

Research and Future Directions

Ongoing research is focused on improving our understanding of the pituitary with infundibular stalk and developing more effective treatments for related disorders. Some of the key areas of research include:

  • Molecular mechanisms: Investigating the molecular pathways involved in pituitary function and infundibular stalk regulation.
  • Genetic factors: Identifying genetic mutations and polymorphisms that contribute to pituitary disorders.
  • Novel therapies: Developing new medications and treatment strategies for pituitary disorders, including targeted therapies and gene therapy.
  • Imaging techniques: Enhancing imaging technologies to improve the detection and characterization of pituitary and infundibular stalk abnormalities.

Advances in these areas hold promise for improving the diagnosis and management of pituitary with infundibular stalk disorders, ultimately enhancing patient outcomes.

📝 Note: The information provided in this blog post is for educational purposes only and should not be used as a substitute for professional medical advice. Always consult a healthcare provider for diagnosis and treatment of any medical condition.

In summary, the pituitary with infundibular stalk is a critical component of the endocrine system, playing a vital role in regulating various physiological processes. Understanding its anatomy, function, and clinical significance is essential for healthcare professionals and researchers. By leveraging advanced diagnostic techniques and treatment options, we can improve the management of disorders related to the pituitary with infundibular stalk and enhance patient outcomes. Ongoing research continues to shed light on the complexities of this system, paving the way for future advancements in the field.

Related Terms:

  • pituitary stalk function
  • where is the infundibulum located
  • thickening of the pituitary stalk
  • pituitary stalk effect
  • causes of pituitary stalk thickening
  • what is the pituitary stalk