Pics Of Broken Noses

Pics Of Broken Noses

In the realm of medical emergencies, few injuries are as immediately alarming as a broken nose. The sight of pics of broken noses can be quite shocking, but understanding the causes, symptoms, and treatments can help demystify this common injury. This post will delve into the intricacies of nasal fractures, providing a comprehensive guide for those who may encounter or experience this injury.

Understanding Nasal Fractures

A nasal fracture, commonly known as a broken nose, occurs when the bones of the nose are cracked or displaced. This type of injury is often the result of trauma to the face, such as a fall, a sports injury, or a physical altercation. The nose is particularly vulnerable to fractures due to its prominent position on the face and the delicate nature of its bones.

Common Causes of Broken Noses

Broken noses can result from a variety of incidents. Some of the most common causes include:

  • Sports injuries, especially in contact sports like football, hockey, and boxing.
  • Falls or accidents, such as tripping and hitting the nose on a hard surface.
  • Physical altercations or fights.
  • Motor vehicle accidents.
  • Workplace injuries, particularly in industries that involve heavy machinery or physical labor.

Symptoms of a Broken Nose

Recognizing the symptoms of a broken nose is crucial for prompt treatment. Some of the most common symptoms include:

  • Pain and tenderness in the nose.
  • Swelling and bruising around the eyes and nose.
  • Bleeding from the nose.
  • Deformity or misalignment of the nose.
  • Difficulty breathing through the nose.
  • Clear fluid draining from the nose, which may indicate a cerebrospinal fluid leak.

If you suspect a broken nose, it is important to seek medical attention immediately. A healthcare professional can assess the extent of the injury and provide appropriate treatment.

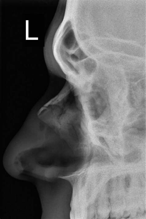
Diagnosing a Broken Nose

Diagnosing a broken nose typically involves a physical examination and imaging tests. During the physical exam, the doctor will:

  • Inspect the nose for any visible deformities or misalignments.
  • Gently palpate the nose to check for tenderness and crepitus (a grating sensation).
  • Assess the nasal passages for any obstructions or bleeding.

Imaging tests, such as X-rays or CT scans, may be ordered to confirm the diagnosis and determine the extent of the fracture. These tests can also help rule out other injuries, such as fractures of the facial bones or a skull fracture.

Treatment Options for Broken Noses

The treatment for a broken nose depends on the severity of the injury and the presence of any complications. Common treatment options include:

  • Conservative Management: For minor fractures, conservative management may be sufficient. This includes:
    • Resting and avoiding activities that could cause further injury.
    • Applying ice to reduce swelling.
    • Taking over-the-counter pain relievers.
    • Keeping the head elevated to reduce swelling.
  • Reduction: For more severe fractures, a procedure called reduction may be necessary. This involves realigning the broken bones to their proper position. Reduction can be performed under local or general anesthesia and may require the use of splints or packing to keep the bones in place.
  • Surgery: In cases where the fracture is complex or involves significant displacement, surgery may be required. Surgical options include:
    • Open reduction and internal fixation (ORIF), which involves making an incision to realign the bones and using plates, screws, or wires to hold them in place.
    • Closed reduction, which involves manipulating the bones back into place without making an incision.

After treatment, it is important to follow the doctor's instructions for post-operative care. This may include:

  • Keeping the head elevated to reduce swelling.
  • Avoiding activities that could cause further injury.
  • Taking prescribed medications as directed.
  • Attending follow-up appointments to monitor healing.

📌 Note: It is crucial to avoid blowing the nose or picking at any scabs during the healing process to prevent further injury or infection.

Complications of Broken Noses

While most broken noses heal without complications, there are several potential issues that can arise. Some of the most common complications include:

  • Infection: If the skin or nasal passages are damaged, there is a risk of infection. Signs of infection include increased pain, swelling, redness, and discharge from the nose.
  • Nasal Obstruction: Swelling or misalignment of the nasal bones can cause difficulty breathing through the nose. This may require additional treatment, such as nasal decongestants or surgery.
  • Deformity: In some cases, the nose may heal in a misaligned position, resulting in a visible deformity. This can often be corrected with surgery.
  • Cerebrospinal Fluid Leak: In severe cases, a broken nose can cause a cerebrospinal fluid leak, which may require immediate medical attention.

Preventing Broken Noses

While it is not always possible to prevent a broken nose, there are several steps you can take to reduce the risk of injury. Some preventive measures include:

  • Wearing protective gear during sports and other activities that pose a risk of facial injury.
  • Avoiding physical altercations and situations that could lead to facial trauma.
  • Being cautious when engaging in activities that could result in falls or accidents.
  • Wearing a seatbelt while driving or riding in a vehicle.

When to Seek Medical Attention

If you experience any of the following symptoms after a facial injury, it is important to seek medical attention immediately:

  • Severe pain or tenderness in the nose.
  • Significant swelling or bruising around the eyes and nose.
  • Heavy bleeding from the nose that does not stop.
  • Visible deformity or misalignment of the nose.
  • Difficulty breathing through the nose.
  • Clear fluid draining from the nose.
  • Loss of consciousness or confusion.

Prompt medical attention can help prevent complications and ensure proper healing.

Recovery and Healing

The recovery process for a broken nose can vary depending on the severity of the injury and the type of treatment received. In general, it can take several weeks to several months for the nose to fully heal. During this time, it is important to follow the doctor's instructions for post-operative care and avoid activities that could cause further injury.

Some tips for a smooth recovery include:

  • Resting and avoiding strenuous activities.
  • Applying ice to reduce swelling.
  • Taking prescribed medications as directed.
  • Keeping the head elevated to reduce swelling.
  • Attending follow-up appointments to monitor healing.

It is also important to be patient during the healing process. The nose may appear swollen or discolored for several weeks, but these symptoms should gradually improve over time.

📌 Note: If you experience any unusual symptoms or complications during the healing process, it is important to contact your healthcare provider immediately.

Long-Term Effects of Broken Noses

In most cases, a broken nose will heal without long-term effects. However, there are some potential long-term issues to be aware of. These include:

  • Nasal Deformity: If the nose heals in a misaligned position, it may result in a visible deformity. This can often be corrected with surgery.
  • Nasal Obstruction: Swelling or misalignment of the nasal bones can cause long-term difficulty breathing through the nose. This may require additional treatment, such as nasal decongestants or surgery.
  • Recurrent Fractures: Individuals who have experienced a broken nose may be at a higher risk of future fractures, especially if the nose has not healed properly.

Regular follow-up appointments with a healthcare provider can help monitor healing and address any long-term issues that may arise.

Pics Of Broken Noses: What to Expect

Seeing pics of broken noses can be quite alarming, but understanding what to expect can help alleviate some of the anxiety. Broken noses can vary in appearance depending on the severity of the injury. Some common visual indicators include:

  • Swelling and bruising around the eyes and nose.
  • Visible deformity or misalignment of the nose.
  • Bleeding from the nose.
  • Clear fluid draining from the nose.

It is important to remember that while pics of broken noses can be shocking, prompt medical attention can help ensure proper healing and minimize long-term effects.

Here is a table summarizing the key points to look for in pics of broken noses:

Symptom Description
Swelling Visible puffiness around the eyes and nose.
Bruising Discoloration around the eyes and nose, often appearing as black or blue marks.
Deformity Misalignment or visible changes in the shape of the nose.
Bleeding Blood flowing from the nostrils.
Clear Fluid Discharge from the nose that may indicate a cerebrospinal fluid leak.

If you encounter pics of broken noses, it is important to seek medical attention promptly to ensure proper treatment and healing.

Boxer with a broken nose

This image illustrates the visible signs of a broken nose, including swelling, bruising, and deformity. While the sight can be alarming, understanding the symptoms and seeking prompt medical attention can help ensure proper healing.

Boxer with a broken nose

Another example of a broken nose, showing the typical swelling and bruising that can occur with this type of injury. Prompt medical attention is crucial for proper treatment and healing.

In summary, broken noses are a common injury that can result from various types of trauma. Recognizing the symptoms, seeking prompt medical attention, and following proper treatment and recovery protocols can help ensure a smooth healing process. While pics of broken noses can be alarming, understanding the causes, symptoms, and treatments can help demystify this injury and provide peace of mind for those who may encounter or experience it.

Related Terms:

  • images of broken noses
  • broken nose nhs
  • broken nose at home
  • broken nose x ray image
  • broken nose meme
  • bruised nose pictures