Partial Sacralization Of L5

Partial Sacralization Of L5

Understanding the complexities of spinal anatomy and its variations is crucial for healthcare professionals, particularly when dealing with conditions that affect the lower back. One such variation is the partial sacralization of L5, a condition where the fifth lumbar vertebra (L5) partially fuses with the sacrum. This condition can have significant implications for spinal health and mobility, making it an important topic for both medical practitioners and patients.

What is Partial Sacralization of L5?

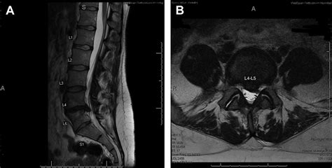
Partial sacralization of L5 refers to a congenital anomaly where the fifth lumbar vertebra (L5) partially fuses with the sacrum, the triangular bone at the base of the spine. This fusion can occur to varying degrees, ranging from a small bony bridge to a more extensive fusion. The condition is often asymptomatic but can sometimes lead to back pain, stiffness, and other spinal issues.

Causes and Risk Factors

The exact causes of partial sacralization of L5 are not fully understood, but it is believed to be a result of genetic and developmental factors. Several risk factors have been identified:

  • Genetic predisposition: A family history of spinal anomalies increases the likelihood of developing partial sacralization of L5.
  • Developmental issues: Abnormalities during fetal development can lead to this condition.
  • Trauma or injury: In some cases, trauma to the lower back can exacerbate the condition.

Symptoms and Diagnosis

Many individuals with partial sacralization of L5 do not experience any symptoms. However, when symptoms do occur, they can include:

  • Lower back pain
  • Stiffness in the lower back
  • Reduced range of motion
  • Nerve compression symptoms, such as numbness or tingling in the legs

Diagnosing partial sacralization of L5 typically involves a combination of physical examination and imaging tests. Common diagnostic methods include:

  • X-rays: To visualize the spine and identify any bony abnormalities.
  • CT scans: For detailed images of the spine, including the extent of the fusion.
  • MRI scans: To assess soft tissue structures and identify any nerve compression.

Treatment Options

The treatment for partial sacralization of L5 depends on the severity of symptoms and the impact on daily life. In many cases, conservative management is sufficient. Treatment options include:

  • Pain management: Over-the-counter pain relievers or prescription medications to manage pain.
  • Physical therapy: Exercises to improve flexibility, strength, and range of motion.
  • Lifestyle modifications: Changes in posture, ergonomics, and daily activities to reduce strain on the lower back.

In more severe cases, where conservative treatments are ineffective, surgical intervention may be considered. Surgical options include:

  • Decompression surgery: To relieve pressure on the nerves.
  • Spinal fusion: To stabilize the spine and reduce pain.

Impact on Daily Life

Partial sacralization of L5 can have varying impacts on daily life, depending on the severity of symptoms. For many individuals, the condition may go unnoticed and have minimal impact. However, for those who experience symptoms, it can affect mobility, posture, and overall quality of life. Common challenges include:

  • Difficulty performing physical activities
  • Limited range of motion
  • Chronic pain and discomfort

Managing these challenges often involves a combination of medical treatment, physical therapy, and lifestyle adjustments. It is essential for individuals with this condition to work closely with healthcare providers to develop a personalized treatment plan.

Prevention and Management

While partial sacralization of L5 is a congenital condition and cannot be prevented, there are steps individuals can take to manage symptoms and prevent exacerbation:

  • Maintain a healthy weight: Excess weight can put additional strain on the spine.
  • Engage in regular exercise: Strengthening the core and back muscles can improve spinal stability.
  • Practice good posture: Proper posture can reduce strain on the lower back.
  • Avoid high-impact activities: Activities that involve sudden, jarring movements can exacerbate symptoms.

Regular check-ups with a healthcare provider can also help monitor the condition and adjust treatment as needed.

Case Studies and Research

Several case studies and research papers have explored the implications of partial sacralization of L5. These studies provide valuable insights into the condition's prevalence, symptoms, and treatment outcomes. For example, a study published in the Journal of Spinal Disorders & Techniques found that individuals with partial sacralization of L5 were more likely to experience lower back pain and reduced mobility compared to those without the condition.

Another study highlighted the importance of early diagnosis and intervention in managing symptoms and improving quality of life. The findings underscore the need for healthcare providers to be aware of this condition and its potential impact on spinal health.

Future Directions in Research

As our understanding of spinal anatomy and its variations continues to evolve, so too does the research on partial sacralization of L5. Future directions in research may include:

  • Developing more advanced imaging techniques to better visualize the extent of fusion.
  • Exploring new surgical techniques and minimally invasive procedures.
  • Investigating the genetic and developmental factors that contribute to this condition.

These advancements have the potential to improve diagnosis, treatment, and management of partial sacralization of L5, ultimately enhancing the quality of life for affected individuals.

📝 Note: It is important to consult with a healthcare provider for personalized advice and treatment options related to partial sacralization of L5.

Partial sacralization of L5 is a complex condition that can have significant implications for spinal health and mobility. While many individuals may not experience symptoms, those who do can benefit from a combination of medical treatment, physical therapy, and lifestyle adjustments. Early diagnosis and intervention are crucial for managing symptoms and improving quality of life. As research continues to advance, we can expect to see new developments in the diagnosis and treatment of this condition, offering hope for better outcomes for affected individuals.

Related Terms:

  • what does sacralized l5 mean
  • partial sacralization of l5 treatment
  • partially sacralized l5 vertebra
  • partial sacralization of l5 radiology
  • what is a sacralized l5
  • partial sacralization of l5 vertebra