Parathyroid Gland Sonography

Parathyroid Gland Sonography

Parathyroid gland sonography is a critical diagnostic tool in the field of endocrinology and radiology. This non-invasive imaging technique plays a pivotal role in the detection and evaluation of parathyroid disorders, which can significantly impact calcium metabolism and overall health. Understanding the intricacies of parathyroid gland sonography is essential for healthcare professionals aiming to provide accurate diagnoses and effective treatments.

Understanding the Parathyroid Glands

The parathyroid glands are small, pea-sized glands located behind the thyroid gland in the neck. Typically, there are four parathyroid glands, although the number can vary. These glands produce parathyroid hormone (PTH), which regulates calcium and phosphorus levels in the body. Dysfunction of the parathyroid glands can lead to conditions such as hyperparathyroidism and hypoparathyroidism, both of which require precise diagnostic methods for accurate management.

The Importance of Parathyroid Gland Sonography

Parathyroid gland sonography, also known as parathyroid ultrasound, is a valuable diagnostic tool that uses high-frequency sound waves to create images of the parathyroid glands. This imaging technique is particularly useful in identifying abnormal parathyroid glands, such as those that are enlarged or have developed tumors. The primary advantages of parathyroid gland sonography include:

  • Non-invasive nature, making it a safe and comfortable procedure for patients.
  • Ability to detect parathyroid adenomas, which are benign tumors that can cause hyperparathyroidism.
  • Usefulness in guiding fine-needle aspiration biopsies and other interventional procedures.
  • Cost-effectiveness compared to other imaging modalities like CT scans and MRI.

Preparation for Parathyroid Gland Sonography

Preparing for a parathyroid gland sonography procedure is relatively straightforward. Patients are typically advised to:

  • Wear comfortable clothing that allows easy access to the neck area.
  • Avoid wearing jewelry or other accessories that might interfere with the imaging process.
  • Inform the healthcare provider about any allergies or medical conditions that could affect the procedure.

No special dietary restrictions are usually required, but it is essential to follow any specific instructions provided by the healthcare provider.

The Parathyroid Gland Sonography Procedure

The parathyroid gland sonography procedure is generally quick and painless. Here is a step-by-step overview of what to expect:

  1. The patient is positioned comfortably on an examination table, usually lying on their back with the neck slightly extended.
  2. A water-based gel is applied to the neck area to enhance the transmission of sound waves.
  3. The sonographer uses a transducer, a handheld device that emits and receives sound waves, to scan the neck area.
  4. The transducer is moved gently over the skin, and the sound waves create real-time images of the parathyroid glands and surrounding structures.
  5. The images are displayed on a monitor and can be captured for further analysis.

The entire procedure typically takes about 15-30 minutes.

📝 Note: Patients may experience slight discomfort from the pressure of the transducer, but the procedure is generally well-tolerated.

Interpreting Parathyroid Gland Sonography Results

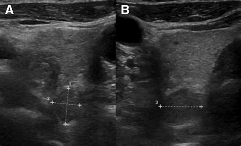
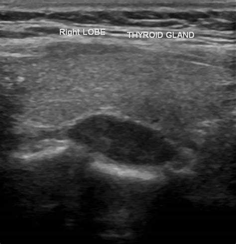
Interpreting the results of parathyroid gland sonography requires expertise in radiology and endocrinology. The images obtained during the procedure are analyzed for several key features:

  • Size and shape of the parathyroid glands.
  • Presence of any nodules or masses.
  • Location of the parathyroid glands relative to the thyroid gland.
  • Blood flow patterns within the glands, which can indicate the presence of tumors.

Abnormal findings may include enlarged parathyroid glands, the presence of adenomas, or other structural abnormalities. These findings are crucial for diagnosing conditions such as primary hyperparathyroidism, secondary hyperparathyroidism, and parathyroid carcinoma.

Common Findings in Parathyroid Gland Sonography

Parathyroid gland sonography can reveal various findings that are indicative of different parathyroid disorders. Some of the most common findings include:

Finding Description Potential Diagnosis
Enlarged Parathyroid Glands Glands that are larger than normal. Hyperparathyroidism
Parathyroid Adenomas Benign tumors within the parathyroid glands. Primary Hyperparathyroidism
Parathyroid Carcinoma Malignant tumors within the parathyroid glands. Parathyroid Carcinoma
Ectopic Parathyroid Glands Glands located outside their normal position. Hyperparathyroidism

Limitations of Parathyroid Gland Sonography

While parathyroid gland sonography is a valuable diagnostic tool, it does have certain limitations. These include:

  • Difficulty in visualizing small or deeply located parathyroid glands.
  • Limited ability to differentiate between benign and malignant tumors.
  • Potential for false-negative results, especially in cases of ectopic parathyroid glands.
  • Dependence on the skill and experience of the sonographer.

In some cases, additional imaging modalities such as CT scans, MRI, or nuclear medicine studies may be required to complement the findings of parathyroid gland sonography.

Advanced Techniques in Parathyroid Gland Sonography

Advances in medical technology have led to the development of more sophisticated techniques in parathyroid gland sonography. Some of these advanced methods include:

  • Doppler Ultrasound: This technique uses sound waves to visualize blood flow within the parathyroid glands, helping to identify hypervascular tumors.
  • Elastography: This method assesses the stiffness of the parathyroid glands, which can indicate the presence of tumors or other abnormalities.
  • 3D Ultrasound: This provides a more detailed and comprehensive view of the parathyroid glands, aiding in the detection of small or ectopic glands.

These advanced techniques enhance the diagnostic accuracy of parathyroid gland sonography and improve patient outcomes.

Role of Parathyroid Gland Sonography in Surgical Planning

Parathyroid gland sonography plays a crucial role in surgical planning for patients with parathyroid disorders. Preoperative imaging helps surgeons to:

  • Locate the abnormal parathyroid glands accurately.
  • Plan the surgical approach, whether it be a minimally invasive parathyroidectomy or a more extensive procedure.
  • Identify any potential complications, such as ectopic glands or vascular anomalies.

Accurate preoperative imaging can significantly reduce surgical time, minimize complications, and improve patient recovery.

Post-Procedure Care and Follow-Up

After undergoing parathyroid gland sonography, patients typically do not require any special post-procedure care. However, follow-up appointments may be necessary to discuss the results and plan further management. Patients should:

  • Follow any instructions provided by the healthcare provider regarding follow-up care.
  • Report any unusual symptoms or concerns to their healthcare provider.
  • Attend all scheduled follow-up appointments to monitor their condition and adjust treatment as needed.

Regular follow-up is essential for managing parathyroid disorders and ensuring optimal health outcomes.

📝 Note: Patients with abnormal parathyroid gland sonography results may require additional diagnostic tests or interventions, such as fine-needle aspiration biopsies or surgical procedures.

Parathyroid gland sonography is an indispensable tool in the diagnosis and management of parathyroid disorders. Its non-invasive nature, cost-effectiveness, and ability to provide detailed images make it a preferred choice for many healthcare professionals. By understanding the intricacies of this imaging technique, healthcare providers can offer more accurate diagnoses and effective treatments, ultimately improving patient outcomes. The integration of advanced techniques and the role of parathyroid gland sonography in surgical planning further enhance its value in modern medical practice.

Related Terms:

  • parathyroid gland ultrasound appearances
  • parathyroid gland ultrasound radiology
  • parathyroid tumor ultrasound
  • parathyroid adenoma ultrasound
  • parathyroid ultrasound normal
  • parathyroid location ultrasound