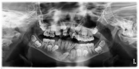
Panoramic X Ray

Panoramic X Ray

In the realm of dental diagnostics, the panoramic X-ray stands as a pivotal tool, offering a comprehensive view of the oral and maxillofacial region. This imaging technique provides dentists and oral surgeons with a detailed, wide-angle image of the teeth, jaws, temporomandibular joints, and surrounding structures. The panoramic X-ray is invaluable for detecting a range of dental issues, from impacted teeth and jaw disorders to tumors and bone abnormalities. Its ability to capture a broad area in a single image makes it an essential component of modern dental practice, enhancing diagnostic accuracy and treatment planning.

Understanding the Panoramic X-Ray

A panoramic X-ray, also known as a panoramic radiograph, is a type of dental imaging that captures a wide view of the upper and lower jaws, teeth, sinuses, and surrounding bone structures. Unlike traditional intraoral X-rays, which focus on individual teeth or small sections of the mouth, a panoramic X-ray provides a comprehensive overview. This makes it particularly useful for identifying issues that may not be visible with more localized imaging techniques.

How Panoramic X-Rays Work

The process of obtaining a panoramic X-ray is relatively straightforward and non-invasive. The patient stands or sits in front of a machine that rotates around their head, capturing a series of images from different angles. These images are then stitched together to create a single, continuous panoramic view. The entire procedure typically takes only a few minutes and is painless, making it a convenient option for both patients and dental professionals.

Applications of Panoramic X-Rays

Panoramic X-rays are used in a variety of dental and medical settings for different purposes. Some of the most common applications include:

  • Dental Implant Planning: Panoramic X-rays help dentists assess the bone structure and identify the best locations for dental implants.
  • Orthodontic Treatment: Orthodontists use panoramic X-rays to evaluate the position of teeth and plan orthodontic treatments, such as braces or aligners.
  • Impacted Teeth Detection: These X-rays can reveal impacted teeth, such as wisdom teeth, that may be causing pain or other issues.
  • Jaw Disorders: Panoramic X-rays are useful in diagnosing temporomandibular joint (TMJ) disorders and other jaw-related problems.
  • Oral Surgery: Surgeons use panoramic X-rays to plan procedures, such as tooth extractions or corrective jaw surgery.
  • Tumor and Cyst Detection: These X-rays can help identify tumors, cysts, and other abnormalities in the jaw and surrounding structures.

Advantages of Panoramic X-Rays

Panoramic X-rays offer several advantages over other imaging techniques. Some of the key benefits include:

  • Comprehensive View: A single panoramic X-ray provides a wide-angle view of the entire oral and maxillofacial region, making it easier to detect issues that may not be visible with localized X-rays.
  • Non-Invasive: The procedure is painless and non-invasive, making it a comfortable option for patients of all ages.
  • Quick and Efficient: Panoramic X-rays can be completed in just a few minutes, allowing for quick diagnosis and treatment planning.
  • Cost-Effective: Compared to other imaging techniques, such as CT scans, panoramic X-rays are generally more affordable.
  • Low Radiation Exposure: Panoramic X-rays use a lower dose of radiation compared to other imaging methods, making them a safer option for patients.

Limitations of Panoramic X-Rays

While panoramic X-rays are highly useful, they do have some limitations. Understanding these limitations is crucial for dental professionals to ensure accurate diagnosis and treatment planning. Some of the key limitations include:

  • Image Quality: The image quality of a panoramic X-ray may not be as detailed as that of a CT scan or other advanced imaging techniques. This can make it difficult to detect small or subtle issues.
  • Overlapping Structures: The wide-angle view of a panoramic X-ray can sometimes result in overlapping structures, making it challenging to distinguish between different areas of the mouth.
  • Limited 3D Information: Panoramic X-rays provide a 2D image, which may not be sufficient for complex cases that require 3D visualization. In such cases, additional imaging techniques may be necessary.

Preparing for a Panoramic X-Ray

Preparing for a panoramic X-ray is generally simple and requires minimal effort from the patient. However, there are a few steps that can help ensure a smooth and successful procedure. These include:

  • Remove Metal Objects: Patients should remove any metal objects from their mouth, such as jewelry or dentures, before the procedure.
  • Inform the Dentist: Patients should inform their dentist if they are pregnant, as radiation exposure during pregnancy can be harmful to the developing fetus.
  • Follow Instructions: Patients should follow the dentist’s instructions carefully during the procedure to ensure clear and accurate images.

📝 Note: Patients should also inform their dentist if they have any medical conditions or are taking any medications that could affect the X-ray procedure.

The Panoramic X-Ray Procedure

The panoramic X-ray procedure is typically performed in a dental office or clinic. The steps involved in the procedure are as follows:

  1. Positioning: The patient is positioned in front of the panoramic X-ray machine, either standing or sitting. The machine is adjusted to the patient’s height and head position.
  2. Alignment: The patient is asked to bite down on a small plastic bite block to ensure proper alignment of the teeth and jaws.
  3. Image Capture: The machine rotates around the patient’s head, capturing a series of images from different angles. The patient is asked to remain still during this process.
  4. Image Processing: The captured images are processed and stitched together to create a single, continuous panoramic view.
  5. Review: The dentist reviews the panoramic X-ray images to assess the oral and maxillofacial region and identify any issues that may require further investigation or treatment.

Interpreting Panoramic X-Ray Results

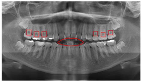
Interpreting panoramic X-ray results requires a trained eye and a thorough understanding of dental anatomy. Dentists and oral surgeons use these images to identify a range of issues, from impacted teeth and jaw disorders to tumors and bone abnormalities. Some of the key elements that are assessed in a panoramic X-ray include:

  • Teeth: The dentist examines the teeth for signs of decay, fractures, or other issues. Impacted teeth, such as wisdom teeth, can also be identified.
  • Jaws: The jawbones are assessed for signs of abnormalities, such as fractures, infections, or tumors. The temporomandibular joints (TMJ) are also evaluated for signs of disorders.
  • Sinuses: The sinuses are checked for signs of infection or other issues that may affect dental health.
  • Bone Structure: The overall bone structure is evaluated for signs of abnormalities, such as cysts, tumors, or bone loss.

Common Findings in Panoramic X-Rays

Panoramic X-rays can reveal a variety of dental and oral health issues. Some of the most common findings include:

  • Impacted Teeth: Wisdom teeth or other teeth that are impacted (stuck beneath the gum line) can be identified and assessed for potential extraction.
  • Jaw Disorders: Temporomandibular joint (TMJ) disorders, fractures, and other jaw-related issues can be detected and treated.
  • Tumors and Cysts: Abnormal growths, such as tumors or cysts, can be identified and monitored for further evaluation.
  • Bone Loss: Bone loss due to periodontal disease or other conditions can be assessed and treated to prevent further damage.
  • Infections: Infections in the teeth, gums, or jawbone can be identified and treated to prevent the spread of infection.

Panoramic X-Rays vs. Other Imaging Techniques

While panoramic X-rays are highly useful, they are not the only imaging technique available for dental diagnostics. Other techniques, such as intraoral X-rays, cone beam computed tomography (CBCT), and magnetic resonance imaging (MRI), each have their own advantages and limitations. Understanding the differences between these techniques can help dental professionals choose the most appropriate method for their patients.

Here is a comparison of panoramic X-rays with other common imaging techniques:

Imaging Technique Advantages Limitations
Panoramic X-Ray Comprehensive view, non-invasive, quick, cost-effective, low radiation exposure Limited image quality, overlapping structures, limited 3D information
Intraoral X-Ray Detailed view of individual teeth, quick, cost-effective Limited to small areas, higher radiation exposure
Cone Beam CT (CBCT) 3D imaging, detailed view of bone structure, useful for complex cases Higher cost, higher radiation exposure, longer procedure time
Magnetic Resonance Imaging (MRI) Detailed view of soft tissues, no radiation exposure Higher cost, longer procedure time, not suitable for patients with metal implants

Panoramic X-Rays in Pediatric Dentistry

Panoramic X-rays are also valuable in pediatric dentistry, where they can help detect and monitor a range of issues in children and adolescents. Some of the key applications of panoramic X-rays in pediatric dentistry include:

  • Tooth Development: Panoramic X-rays can help monitor the development of primary and permanent teeth, ensuring that they erupt correctly and on schedule.
  • Impacted Teeth: Impacted teeth, such as wisdom teeth or canines, can be identified and assessed for potential extraction.
  • Jaw Disorders: Temporomandibular joint (TMJ) disorders and other jaw-related issues can be detected and treated early to prevent further complications.
  • Orthodontic Planning: Orthodontists use panoramic X-rays to plan orthodontic treatments, such as braces or aligners, ensuring that the teeth and jaws are properly aligned.

Panoramic X-Rays in Orthodontics

In orthodontics, panoramic X-rays play a crucial role in diagnosing and planning treatment for a range of dental issues. Orthodontists use these images to assess the position of teeth and jaws, identify any abnormalities, and develop a treatment plan that addresses the patient’s specific needs. Some of the key applications of panoramic X-rays in orthodontics include:

  • Tooth Positioning: Panoramic X-rays help orthodontists assess the position of teeth and identify any issues, such as crowding, spacing, or misalignment.
  • Jaw Alignment: The X-rays can reveal any discrepancies in jaw alignment, such as overbites, underbites, or crossbites, which may require orthodontic treatment.
  • Impacted Teeth: Impacted teeth, such as canines or wisdom teeth, can be identified and assessed for potential extraction or orthodontic treatment.
  • Bone Structure: The X-rays can help orthodontists evaluate the bone structure and identify any issues that may affect treatment, such as bone loss or abnormalities.

Panoramic X-Rays in Oral Surgery

In oral surgery, panoramic X-rays are essential for planning and executing a range of procedures. Surgeons use these images to assess the oral and maxillofacial region, identify any issues, and develop a surgical plan that addresses the patient’s specific needs. Some of the key applications of panoramic X-rays in oral surgery include:

  • Tooth Extraction: Panoramic X-rays help surgeons assess the position and condition of teeth that need to be extracted, ensuring a safe and successful procedure.
  • Dental Implants: The X-rays can help surgeons evaluate the bone structure and identify the best locations for dental implants.
  • Jaw Surgery: Panoramic X-rays are used to plan corrective jaw surgery, such as orthognathic surgery, to address issues such as jaw misalignment or asymmetry.
  • Tumor and Cyst Removal: The X-rays can help surgeons identify and remove tumors, cysts, and other abnormalities in the jaw and surrounding structures.

Panoramic X-Rays in Endodontics

In endodontics, panoramic X-rays are used to diagnose and treat issues related to the dental pulp and root canals. Endodontists use these images to assess the condition of the teeth and surrounding structures, identify any abnormalities, and develop a treatment plan that addresses the patient’s specific needs. Some of the key applications of panoramic X-rays in endodontics include:

  • Root Canal Treatment: Panoramic X-rays help endodontists assess the condition of the teeth and surrounding structures, ensuring that the root canal treatment is successful.
  • Tooth Fractures: The X-rays can help endodontists identify tooth fractures, which may require root canal treatment or extraction.
  • Infections: Panoramic X-rays can help endodontists identify and treat infections in the teeth, gums, or jawbone, preventing the spread of infection.
  • Bone Loss: The X-rays can help endodontists assess bone loss due to periodontal disease or other conditions, ensuring that the treatment plan addresses the underlying issue.

Panoramic X-Rays in Periodontics

In periodontics, panoramic X-rays are used to diagnose and treat issues related to the gums and supporting structures of the teeth. Periodontists use these images to assess the condition of the gums and surrounding structures, identify any abnormalities, and develop a treatment plan that addresses the patient’s specific needs. Some of the key applications of panoramic X-rays in periodontics include:

  • Gum Disease: Panoramic X-rays help periodontists assess the condition of the gums and identify any signs of gum disease, such as inflammation or bone loss.
  • Bone Loss: The X-rays can help periodontists assess bone loss due to periodontal disease or other conditions, ensuring that the treatment plan addresses the underlying issue.
  • Tooth Mobility: Panoramic X-rays can help periodontists identify tooth mobility, which may require treatment to stabilize the teeth.
  • Infections: The X-rays can help periodontists identify and treat infections in the gums or jawbone, preventing the spread of infection.

Panoramic X-Rays in Prosthodontics

In prosthodontics, panoramic X-rays are used to diagnose and treat issues related to the replacement of missing teeth and the restoration of oral function. Prosthodontists use these images to assess the condition of the teeth and surrounding structures, identify any abnormalities, and develop a treatment plan that addresses the patient’s specific needs. Some of the key applications of panoramic X-rays in prosthodontics include:

  • Dental Implants: Panoramic X-rays help prosthodontists evaluate the bone structure and identify the best locations for dental implants.
  • Dentures: The X-rays can help prosthodontists assess the condition of the gums and surrounding structures, ensuring that the dentures fit properly and function effectively.
  • Bridges and Crowns: Panoramic X-rays can help prosthodontists assess the condition of the teeth and surrounding structures, ensuring that the bridges and crowns are properly placed and function effectively.
  • Bone Loss: The X-rays can help prosthodontists assess bone loss due to periodontal disease or other conditions, ensuring that the treatment plan addresses the underlying issue.

Panoramic X-Rays in Forensic Dentistry

In forensic dentistry, panoramic X-rays play a crucial role in identifying and analyzing dental evidence. Forensic dentists use these images to assess the condition of the teeth and surrounding structures, identify any abnormalities, and develop a treatment plan that addresses the patient’s specific needs. Some of the key applications of panoramic X-rays in forensic dentistry include:

  • Identification: Panoramic X-rays help forensic dentists identify individuals based on their dental records, ensuring accurate identification in cases of missing persons or unidentified remains.
  • Trauma Analysis: The X-rays can help forensic dentists analyze dental trauma, such as fractures or avulsions, to determine the cause and manner of death.
  • Bite Mark Analysis: Panoramic X-rays can help forensic dentists analyze bite marks, providing valuable evidence in criminal investigations.
  • Age Estimation: The X-rays can help forensic dentists estimate the age of an individual based on the development of their teeth and jaws, providing valuable information in legal and investigative contexts.

Panoramic X-Rays in Research and Education

Panoramic X-rays are also valuable in research and education, where they can help advance our understanding of dental and oral health. Researchers and educators use these images to study a range of issues, from tooth development and jaw disorders to the effectiveness of dental treatments. Some of the key applications of panoramic X-rays in research and education include:

  • Tooth Development: Researchers use panoramic X-rays to study the development of primary and permanent teeth, providing valuable insights into dental health and development.
  • Jaw Disorders: The X-rays can help researchers study jaw

Related Terms:

  • bitewing x ray
  • panoramic x ray images
  • panoramic x ray price
  • panoramic x ray cost
  • panoramic x ray definition
  • dental x ray