Olecranon And Olecranon Process

Olecranon And Olecranon Process

The elbow joint is a complex structure that allows for a wide range of movements, including flexion, extension, supination, and pronation. One of the key components of the elbow is the olecranon and olecranon process, which plays a crucial role in the stability and function of the joint. Understanding the anatomy, function, and common issues related to the olecranon and olecranon process is essential for anyone interested in human anatomy, sports medicine, or orthopedics.

The Anatomy of the Olecranon and Olecranon Process

The olecranon is the bony prominence at the proximal end of the ulna, one of the two bones in the forearm. It forms the tip of the elbow and is a critical component of the elbow joint. The olecranon process is the specific part of the olecranon that articulates with the trochlea of the humerus, the bone in the upper arm. This articulation allows for the flexion and extension of the elbow.

The olecranon and olecranon process are covered by a thin layer of cartilage, which provides a smooth surface for joint movement and helps to absorb shock. The surrounding muscles, tendons, and ligaments work together to stabilize the joint and facilitate movement. The triceps brachii muscle, for example, attaches to the olecranon process and is responsible for extending the elbow.

Function of the Olecranon and Olecranon Process

The primary function of the olecranon and olecranon process is to provide a stable and mobile joint that allows for a wide range of movements. The olecranon process acts as a lever, enabling the triceps muscle to extend the elbow with great force. This is particularly important in activities that require pushing or lifting, such as weightlifting, climbing, or throwing.

In addition to its role in movement, the olecranon and olecranon process also provide stability to the elbow joint. The olecranon fits into the olecranon fossa of the humerus, creating a secure articulation that prevents excessive movement and dislocation. This stability is crucial for maintaining the integrity of the joint and preventing injuries.

Despite its robust structure, the olecranon and olecranon process can be susceptible to various injuries and conditions. Some of the most common issues include:

  • Olecranon Bursitis: This condition occurs when the bursa, a small fluid-filled sac that cushions the olecranon, becomes inflamed. It can be caused by repetitive pressure, trauma, or infection. Symptoms include swelling, pain, and redness at the tip of the elbow.
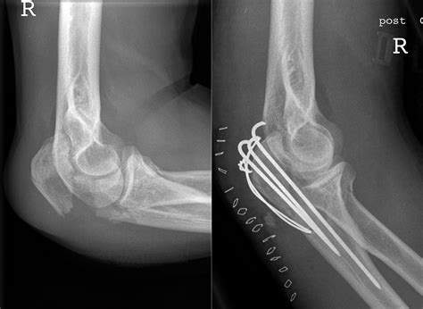
  • Olecranon Fractures: Fractures of the olecranon can occur due to direct trauma, such as a fall onto an outstretched hand or a blow to the elbow. These fractures can be painful and may require surgical intervention to restore function.
  • Olecranon Stress Fractures: These are small cracks in the bone that develop over time due to repetitive stress. They are common in athletes who engage in activities that involve repetitive elbow movements, such as throwing or weightlifting.
  • Olecranon Impingement: This condition occurs when the olecranon process rubs against the olecranon fossa of the humerus, causing pain and inflammation. It can be caused by overuse, trauma, or anatomical abnormalities.

Diagnosis and Treatment of Olecranon and Olecranon Process Issues

Diagnosing issues related to the olecranon and olecranon process typically involves a combination of physical examination, imaging studies, and patient history. Common diagnostic tools include:

  • X-rays: These can help identify fractures, dislocations, and other bony abnormalities.
  • MRI: Magnetic resonance imaging can provide detailed images of the soft tissues, including ligaments, tendons, and cartilage.
  • CT Scans: Computed tomography scans can offer a more detailed view of the bone structure and help identify complex fractures.

Treatment options for olecranon and olecranon process issues vary depending on the severity and type of injury. Common treatments include:

  • Rest and Ice: For minor injuries, rest and ice can help reduce pain and inflammation.
  • Medications: Over-the-counter pain relievers and anti-inflammatory drugs can help manage pain and reduce swelling.
  • Physical Therapy: Exercises and stretches can help improve range of motion, strength, and flexibility.
  • Surgical Intervention: In severe cases, surgery may be required to repair fractures, remove damaged tissue, or stabilize the joint.

Prevention of Olecranon and Olecranon Process Injuries

Preventing injuries to the olecranon and olecranon process involves a combination of proper technique, conditioning, and protective measures. Some key strategies include:

  • Warm-Up and Cool-Down: Always warm up before physical activity and cool down afterward to prepare your muscles and joints for exercise and aid in recovery.
  • Proper Technique: Use correct form and technique during physical activities to minimize the risk of injury.
  • Strength Training: Strengthen the muscles around the elbow joint to provide better support and stability.
  • Protective Gear: Wear appropriate protective gear, such as elbow pads, during high-impact activities.

By following these preventive measures, you can reduce the risk of injuries to the olecranon and olecranon process and maintain the health and function of your elbow joint.

📝 Note: Always consult with a healthcare professional before starting any new exercise or treatment program.

In addition to preventive measures, it's important to address any underlying conditions that may contribute to olecranon and olecranon process injuries. For example, individuals with osteoarthritis or rheumatoid arthritis may be at higher risk for elbow injuries and should take extra precautions to protect their joints.

Regular check-ups with a healthcare provider can help identify potential issues early and provide appropriate treatment to prevent further damage. By staying proactive about your joint health, you can enjoy an active lifestyle while minimizing the risk of injuries.

In summary, the olecranon and olecranon process are essential components of the elbow joint, providing stability, mobility, and support for a wide range of movements. Understanding the anatomy, function, and common issues related to the olecranon and olecranon process is crucial for maintaining joint health and preventing injuries. By taking preventive measures, seeking appropriate treatment, and staying proactive about joint health, you can ensure the longevity and functionality of your elbow joint.

Related Terms:

  • olecranon process x ray
  • olecranon process of ulna
  • olecranon anatomy
  • olecranon process fracture
  • ulnar tuberosity
  • olecranon process elbow