Oil Red O Staining

Oil Red O Staining

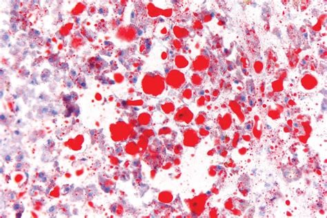
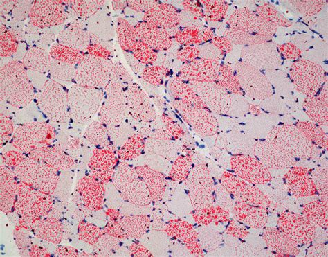
Oil Red O Staining is a widely used histological technique for detecting neutral lipids and triglycerides within cells and tissues. This method is particularly valuable in research and diagnostic settings, as it allows for the visualization of lipid droplets, which are crucial for understanding various physiological and pathological processes. The staining process involves the use of a fat-soluble dye called Oil Red O, which selectively binds to lipids, imparting a red color to the stained areas. This technique is commonly employed in studies related to lipid metabolism, atherosclerosis, and other conditions involving lipid accumulation.

Understanding Oil Red O Staining

Oil Red O is a lysochrome dye that stains neutral triglycerides and lipids bright red. The staining process is straightforward and can be performed on frozen tissue sections, as the dye is soluble in organic solvents and not in water. This makes it incompatible with paraffin-embedded tissues, which require aqueous solutions for staining. The primary advantage of Oil Red O Staining is its specificity for neutral lipids, making it a reliable tool for lipid research.

Preparation of Reagents

Before beginning the staining procedure, it is essential to prepare the necessary reagents. The key reagents include:

  • Oil Red O stock solution: Dissolve 0.5 g of Oil Red O in 100 mL of isopropanol. This solution can be stored at room temperature for up to one year.
  • Oil Red O working solution: Mix 6 parts of the Oil Red O stock solution with 4 parts of distilled water. This working solution should be prepared fresh before each use.
  • 60% isopropanol: Dilute isopropanol with distilled water to achieve a 60% concentration.

Staining Procedure

The Oil Red O Staining procedure involves several steps, each crucial for achieving optimal results. Here is a detailed guide:

Fixation

Fixation is the first step in the staining process. It helps to preserve the tissue structure and prevent the loss of lipids. Common fixatives include:

  • Formalin: A 10% formalin solution can be used for fixation, but it is important to note that prolonged exposure to formalin can lead to the loss of lipids.
  • Paraformaldehyde: A 4% paraformaldehyde solution is often preferred for its better preservation of lipids.

Fix the tissue sections in the chosen fixative for 10-15 minutes at room temperature. After fixation, rinse the sections with distilled water to remove any residual fixative.

Staining

After fixation, proceed with the staining steps:

  1. Rinse the tissue sections with 60% isopropanol for 5 minutes. This step helps to remove any water from the tissue and prepares it for the Oil Red O stain.
  2. Stain the tissue sections with the Oil Red O working solution for 10-15 minutes. Ensure that the sections are completely covered with the stain.
  3. Rinse the sections with 60% isopropanol for 5 minutes to remove any excess stain.
  4. Rinse the sections with distilled water to remove any residual isopropanol.

Counterstaining

Counterstaining is an optional step that can enhance the visibility of the stained lipids by providing contrast. Common counterstains include:

  • Hematoxylin: A nuclear stain that imparts a blue color to the nuclei, providing contrast to the red-stained lipids.
  • Methylene blue: A basic dye that stains nucleic acids and provides a blue background.

If using hematoxylin, stain the sections for 1-2 minutes, followed by a brief rinse with distilled water. Differentiate the sections in 1% acid alcohol for a few seconds, then rinse with distilled water and blue in Scott's tap water substitute for 1-2 minutes. If using methylene blue, stain the sections for 1-2 minutes, followed by a brief rinse with distilled water.

Mounting

After staining and counterstaining, mount the tissue sections on glass slides using a suitable mounting medium. Common mounting media include:

  • Glycerol: A water-soluble mounting medium that is compatible with aqueous stains.
  • Permount: A non-aqueous mounting medium that is compatible with Oil Red O stain.

Apply a drop of the chosen mounting medium to the tissue section, place a coverslip on top, and allow it to dry. The stained sections can then be examined under a microscope.

📝 Note: It is important to handle the Oil Red O stain with care, as it is a fat-soluble dye and can stain skin and clothing. Wear gloves and work in a well-ventilated area.

Applications of Oil Red O Staining

Oil Red O Staining has a wide range of applications in research and diagnostic settings. Some of the key applications include:

  • Lipid metabolism studies: Oil Red O Staining is commonly used to study lipid metabolism in various tissues, including liver, adipose tissue, and muscle. It allows researchers to visualize lipid droplets and quantify lipid accumulation.
  • Atherosclerosis research: The technique is valuable in studying atherosclerosis, as it enables the visualization of lipid deposits in arterial walls. This is crucial for understanding the progression of the disease and evaluating the effectiveness of therapeutic interventions.
  • Cancer research: Oil Red O Staining can be used to study lipid accumulation in cancer cells, which is often associated with aggressive tumor growth and metastasis. It helps researchers identify potential targets for cancer therapy.
  • Developmental biology: The technique is useful in studying lipid accumulation during embryonic development, as lipids play a crucial role in cell differentiation and organogenesis.

Interpreting Oil Red O Stained Sections

Interpreting Oil Red O stained sections requires careful examination under a microscope. The stained lipids appear bright red, while the background tissue may appear counterstained or unstained, depending on the use of a counterstain. Here are some key points to consider when interpreting the stained sections:

  • Lipid droplet size and distribution: The size and distribution of lipid droplets can provide insights into lipid metabolism and storage. For example, large lipid droplets may indicate lipid overload, while small, dispersed droplets may suggest active lipid metabolism.
  • Lipid accumulation in specific cell types: The technique allows for the visualization of lipid accumulation in specific cell types, such as adipocytes, hepatocytes, or macrophages. This can help identify the cellular sources of lipid accumulation in various pathological conditions.
  • Quantification of lipid content: The intensity of the red stain can be quantified using image analysis software, allowing for the measurement of lipid content in tissues. This is useful for comparing lipid accumulation in different experimental conditions or disease states.

To enhance the interpretability of Oil Red O stained sections, it is recommended to use appropriate controls and positive stains. Controls can include unstained sections or sections stained with a different lipid stain, such as Sudan IV or Nile Red. Positive stains can include sections known to contain high levels of lipids, such as adipose tissue or liver tissue from obese animals.

Troubleshooting Oil Red O Staining

Despite its simplicity, Oil Red O Staining can sometimes yield suboptimal results. Here are some common issues and troubleshooting tips:

Issue Possible Causes Solutions
Weak or no staining Inadequate fixation, old or improperly prepared stain, or insufficient staining time Ensure proper fixation, prepare fresh stain, and increase staining time
High background staining Inadequate rinsing, old or contaminated stain, or excessive staining time Rinse thoroughly, prepare fresh stain, and reduce staining time
Uneven staining Inadequate mixing of the stain, uneven distribution of the stain on the tissue, or air bubbles Mix the stain thoroughly, ensure even distribution, and remove air bubbles
Loss of lipids during processing Prolonged exposure to aqueous solutions or high temperatures Minimize exposure to aqueous solutions and avoid high temperatures

📝 Note: If troubleshooting does not resolve the issue, consider using a different lipid stain, such as Sudan IV or Nile Red, which may provide better results for specific applications.

Oil Red O Staining is a valuable technique for detecting neutral lipids and triglycerides within cells and tissues. Its specificity, simplicity, and versatility make it a popular choice for researchers and diagnosticians alike. By following the outlined procedures and troubleshooting tips, researchers can achieve optimal results and gain valuable insights into lipid metabolism and related pathological processes.

Oil Red O Staining is a powerful tool for visualizing lipids in tissues and cells. Its applications range from basic research to clinical diagnostics, making it an essential technique in the field of lipid biology. By understanding the principles of Oil Red O Staining, preparing the necessary reagents, and following the staining procedure, researchers can effectively detect and quantify lipids in various experimental settings. The technique’s specificity for neutral lipids, combined with its simplicity and versatility, makes it a valuable addition to any research toolkit. Whether studying lipid metabolism, atherosclerosis, cancer, or developmental biology, Oil Red O Staining provides a reliable and efficient method for investigating lipid accumulation and its role in health and disease.

Related Terms:

  • oil red o staining liver
  • oil red o staining instructions
  • oil red o staining purpose
  • oil red o absorbance
  • oil red o recipe
  • oil red o stain instructions