Nti Dental Guard

Nti Dental Guard

In the realm of dental health, preventive care is paramount. One of the most effective ways to protect your teeth from grinding and clenching, especially during sleep, is by using a dental guard. Among the various options available, the Nti Dental Guard stands out as a reliable and effective solution. This blog post will delve into the benefits, types, and proper usage of the Nti Dental Guard, providing you with comprehensive information to make an informed decision about your dental health.

Understanding the Nti Dental Guard

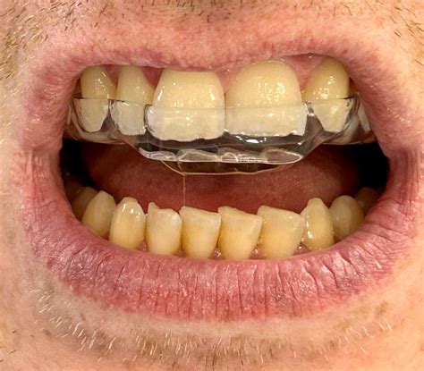
The Nti Dental Guard, also known as a night guard, is a custom-fitted dental appliance designed to protect your teeth from the damaging effects of bruxism, or teeth grinding. Bruxism can lead to a variety of dental issues, including tooth wear, fractures, and even jaw pain. The Nti Dental Guard is specifically engineered to alleviate these problems by providing a barrier between your upper and lower teeth, reducing the impact of grinding and clenching.

Benefits of Using an Nti Dental Guard

Using an Nti Dental Guard offers numerous benefits that go beyond just protecting your teeth. Here are some of the key advantages:

  • Prevention of Tooth Wear: The Nti Dental Guard helps prevent the wearing down of tooth enamel, which can occur due to constant grinding and clenching.
  • Reduction of Jaw Pain: By minimizing the pressure on your jaw joints, the Nti Dental Guard can alleviate symptoms of temporomandibular joint disorder (TMJ).
  • Improved Sleep Quality: For those who grind their teeth during sleep, using an Nti Dental Guard can lead to better sleep quality by reducing the discomfort and interruptions caused by bruxism.
  • Protection Against Tooth Fractures: The guard acts as a cushion, absorbing the force of grinding and clenching, which can help prevent tooth fractures and other dental injuries.
  • Custom Fit for Comfort: The Nti Dental Guard is custom-made to fit your teeth perfectly, ensuring maximum comfort and effectiveness.

Types of Nti Dental Guards

Nti Dental Guards come in various types, each designed to meet different needs and preferences. The most common types include:

  • Soft Nti Dental Guards: These are made from soft, flexible materials like silicone or vinyl. They are comfortable and easy to adjust but may not be as durable as harder materials.
  • Hard Nti Dental Guards: Made from rigid materials like acrylic, hard Nti Dental Guards offer superior durability and protection. They are less likely to wear down over time but may take some getting used to.
  • Dual-Laminate Nti Dental Guards: These guards combine both soft and hard materials, offering a balance of comfort and durability. The inner layer is soft for comfort, while the outer layer is hard for protection.

Choosing the right type of Nti Dental Guard depends on your specific needs, the severity of your bruxism, and your personal preferences. Consulting with a dental professional can help you determine the best option for your situation.

How to Use an Nti Dental Guard

Using an Nti Dental Guard is straightforward, but proper usage is essential to ensure its effectiveness. Here are the steps to follow:

  1. Consult a Dental Professional: Before purchasing an Nti Dental Guard, consult with a dentist or orthodontist to assess your needs and get a custom-fitted guard.
  2. Clean Your Teeth: Before inserting the guard, make sure your teeth are clean. Brush and floss thoroughly to remove any food particles or plaque.
  3. Insert the Guard: Place the Nti Dental Guard over your upper or lower teeth, depending on the type recommended by your dentist. Ensure it fits snugly and comfortably.
  4. Wear It Consistently: For the best results, wear the Nti Dental Guard every night while you sleep. Consistency is key to protecting your teeth from the effects of bruxism.
  5. Clean and Store Properly: After each use, clean the guard with a soft toothbrush and mild soap or denture cleaner. Store it in a clean, dry place to prevent bacterial growth.

📝 Note: Avoid using toothpaste to clean your Nti Dental Guard, as it can be abrasive and damage the material.

Maintaining Your Nti Dental Guard

Maintaining your Nti Dental Guard is crucial for its longevity and effectiveness. Here are some tips to keep your guard in good condition:

  • Regular Cleaning: Clean your Nti Dental Guard daily to remove bacteria and prevent odors. Use a soft toothbrush and mild soap or denture cleaner.
  • Avoid Exposure to Heat: Do not expose your guard to high temperatures, as this can warp or damage the material. Store it in a cool, dry place.
  • Inspect for Damage: Regularly inspect your guard for any signs of wear or damage. If you notice any cracks or deformities, consult your dentist for a replacement.
  • Replace as Needed: Over time, your Nti Dental Guard may wear down or no longer fit properly. Replace it as recommended by your dentist, typically every 6 to 12 months.

Common Misconceptions About Nti Dental Guards

There are several misconceptions about Nti Dental Guards that can deter people from using them. Let's address some of the most common myths:

  • Myth: Nti Dental Guards are Uncomfortable: While it may take some time to get used to wearing a guard, modern materials and custom fitting ensure maximum comfort.
  • Myth: Nti Dental Guards are Expensive: Although custom-fitted guards may have a higher upfront cost, they are a worthwhile investment in your dental health. Many dental insurance plans cover at least a portion of the cost.
  • Myth: Nti Dental Guards are Only for Grinding: While the primary use of an Nti Dental Guard is to protect against grinding, it can also help with clenching and other dental issues.

Understanding these misconceptions can help you make an informed decision about using an Nti Dental Guard for your dental health needs.

Choosing the Right Nti Dental Guard

Selecting the right Nti Dental Guard involves considering several factors. Here are some key points to keep in mind:

  • Material: Choose a material that balances comfort and durability. Soft guards are more comfortable but less durable, while hard guards offer better protection but may be less comfortable.
  • Fit: Ensure the guard fits snugly and comfortably. A custom-fitted guard is ideal for maximum effectiveness and comfort.
  • Cost: Consider your budget and insurance coverage. While custom-fitted guards may be more expensive, they are often covered by insurance and provide better long-term value.
  • Dentist Recommendation: Consult with your dentist to determine the best type of Nti Dental Guard for your specific needs.

By considering these factors, you can choose an Nti Dental Guard that meets your needs and provides the best protection for your teeth.

Conclusion

In summary, the Nti Dental Guard is an essential tool for protecting your teeth from the damaging effects of bruxism. Whether you suffer from grinding, clenching, or other dental issues, an Nti Dental Guard can provide the protection and comfort you need. By understanding the benefits, types, and proper usage of an Nti Dental Guard, you can make an informed decision about your dental health. Regular maintenance and proper care will ensure that your Nti Dental Guard remains effective and durable, providing long-term protection for your teeth.

Related Terms:

  • nti night guard glidewell
  • nti night guard problems
  • nociceptive trigeminal inhibition device
  • front teeth only night guard
  • nti night guard dental code
  • nti style night guard