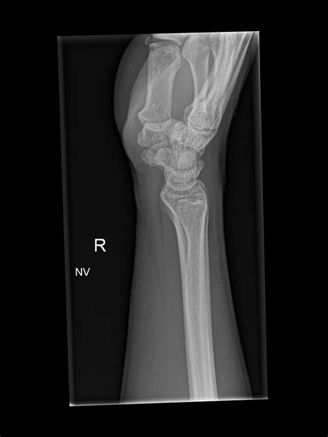
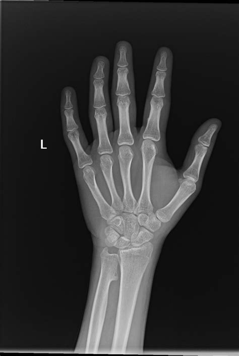
Normal Wrist Xray

Normal Wrist Xray

Understanding the significance of a Normal Wrist Xray is crucial for both medical professionals and patients. This diagnostic tool plays a pivotal role in assessing various conditions affecting the wrist, from fractures to arthritis. By providing a clear image of the bones and surrounding structures, a Normal Wrist Xray helps in accurate diagnosis and effective treatment planning.

What is a Normal Wrist Xray?

A Normal Wrist Xray is a radiographic image of the wrist that shows the bones, joints, and surrounding soft tissues. It is commonly used to diagnose fractures, dislocations, and other abnormalities in the wrist area. The procedure is non-invasive and relatively quick, making it a preferred method for initial assessments.

Indications for a Normal Wrist Xray

A Normal Wrist Xray is typically ordered by a healthcare provider for several reasons:

  • Suspected fractures or dislocations
  • Chronic wrist pain
  • Arthritis or other joint disorders
  • Evaluation of bone density
  • Pre-operative planning

Preparation for a Normal Wrist Xray

Preparing for a Normal Wrist Xray is straightforward. Patients are usually advised to:

  • Remove any jewelry or metallic objects from the wrist area
  • Wear comfortable clothing that allows easy access to the wrist
  • Inform the technician about any recent surgeries or implants in the wrist

Procedure for a Normal Wrist Xray

The procedure for obtaining a Normal Wrist Xray is simple and painless. Here are the steps involved:

  1. The patient is positioned comfortably on an examination table.
  2. The wrist is placed on a special platform to ensure proper alignment.
  3. The technician positions the X-ray machine over the wrist.
  4. Multiple images are taken from different angles to provide a comprehensive view.
  5. The entire process typically takes about 10-15 minutes.

📝 Note: Patients may be asked to hold their breath briefly during the imaging process to minimize movement and ensure clear images.

Interpreting a Normal Wrist Xray

Interpreting a Normal Wrist Xray requires a trained eye. Radiologists look for several key features:

  • Bone density and structure
  • Alignment of the bones
  • Presence of fractures or dislocations
  • Signs of arthritis or other joint disorders
  • Soft tissue abnormalities

Here is a table outlining common findings in a Normal Wrist Xray:

Finding Description
Normal Bone Density Bones appear uniform and dense without any signs of thinning or erosion.
Fracture Visible break or crack in the bone, often accompanied by misalignment.
Dislocation Bones are out of their normal position, often due to trauma.
Arthritis Joint space narrowing, bone spurs, and other signs of wear and tear.
Soft Tissue Swelling Increased density around the joints, indicating inflammation or injury.

Common Conditions Diagnosed with a Normal Wrist Xray

A Normal Wrist Xray can help diagnose a variety of conditions, including:

  • Fractures: Common in the scaphoid, radius, and ulna bones.
  • Dislocations: Often involving the lunate or other carpal bones.
  • Arthritis: Including osteoarthritis and rheumatoid arthritis.
  • Carpal Tunnel Syndrome: Although not directly visible, X-rays can rule out other causes of wrist pain.
  • Bone Tumors: Benign or malignant growths in the wrist bones.

Limitations of a Normal Wrist Xray

While a Normal Wrist Xray is a valuable diagnostic tool, it has certain limitations:

  • It does not show soft tissue injuries, such as ligament or tendon damage.
  • It may not detect early stages of arthritis or other joint disorders.
  • It provides a static image and does not show dynamic movements of the wrist.

In cases where more detailed information is needed, additional imaging techniques such as MRI or CT scans may be recommended.

Follow-Up Care After a Normal Wrist Xray

After a Normal Wrist Xray, follow-up care depends on the findings:

  • If a fracture or dislocation is detected, immobilization with a cast or splint may be necessary.
  • For arthritis or other joint disorders, medication, physical therapy, or surgical intervention may be recommended.
  • Regular follow-up appointments with the healthcare provider to monitor progress and adjust treatment as needed.

In some cases, additional imaging or consultations with specialists may be required for a comprehensive treatment plan.

In summary, a Normal Wrist Xray is an essential diagnostic tool for evaluating wrist conditions. It provides valuable information that aids in accurate diagnosis and effective treatment planning. Understanding the procedure, preparation, and interpretation of a Normal Wrist Xray can help patients and healthcare providers make informed decisions about wrist health.

Related Terms:

  • normal wrist x ray oblique
  • normal wrist x ray child
  • normal wrist x ray teenager
  • normal left wrist x ray
  • normal wrist x ray labelled
  • normal wrist x ray pediatric