Normal Ovary Sonography

Normal Ovary Sonography

Understanding the intricacies of *Normal Ovary Sonography* is crucial for healthcare professionals and patients alike. This diagnostic tool plays a pivotal role in assessing the health of the ovaries, aiding in the detection of various conditions and ensuring timely intervention. This post delves into the significance, procedure, and interpretation of Normal Ovary Sonography, providing a comprehensive guide for those seeking to understand this essential medical imaging technique.

What is Normal Ovary Sonography?

Normal Ovary Sonography, also known as ovarian ultrasound, is a non-invasive imaging technique used to visualize the ovaries and surrounding structures. This procedure employs high-frequency sound waves to create detailed images of the ovaries, helping healthcare providers diagnose and monitor various conditions. The primary goal of Normal Ovary Sonography is to ensure that the ovaries appear normal in size, shape, and structure, ruling out any abnormalities or pathologies.

Importance of Normal Ovary Sonography

Normal Ovary Sonography is a vital diagnostic tool for several reasons:

  • Early Detection of Abnormalities: It helps in the early detection of ovarian cysts, tumors, and other abnormalities, allowing for prompt treatment.
  • Monitoring Ovarian Health: Regular sonography can monitor the health of the ovaries, especially in women with a family history of ovarian cancer or other ovarian conditions.
  • Assessing Fertility: It aids in assessing ovarian reserve and follicle development, which is crucial for fertility evaluations and treatments.
  • Guiding Interventions: The images obtained from sonography can guide procedures such as ovarian cyst aspiration or biopsy.

Preparation for Normal Ovary Sonography

Preparing for a Normal Ovary Sonography involves several steps to ensure accurate and clear images. Here are some key points to consider:

  • Hydration: Drinking plenty of water before the procedure can help fill the bladder, which acts as a window for better visualization of the ovaries.
  • Avoiding Full Bladder: In some cases, an empty bladder may be required, so it’s essential to follow the specific instructions provided by the healthcare provider.
  • Medications: Inform the healthcare provider about any medications or supplements being taken, as some may need to be temporarily discontinued.
  • Clothing: Wear comfortable clothing that allows easy access to the abdominal area.

Procedure of Normal Ovary Sonography

The procedure for Normal Ovary Sonography is straightforward and typically takes about 15-30 minutes. Here is a step-by-step guide:

  • Positioning: The patient lies on an examination table, usually on their back with the abdomen exposed.
  • Gel Application: A water-based gel is applied to the abdominal area to enhance the transmission of sound waves.
  • Transducer Placement: A transducer, a handheld device that emits sound waves, is moved over the abdomen to capture images of the ovaries.
  • Image Capture: The transducer sends sound waves into the body, and the echoes are converted into images displayed on a monitor.
  • Transvaginal Ultrasound: In some cases, a transvaginal ultrasound may be performed for a more detailed view of the ovaries. This involves inserting a transducer into the vagina.

📝 Note: The choice between transabdominal and transvaginal ultrasound depends on the specific diagnostic needs and the patient's comfort level.

Interpreting Normal Ovary Sonography Results

Interpreting the results of Normal Ovary Sonography involves assessing various parameters to ensure the ovaries are functioning normally. Key factors include:

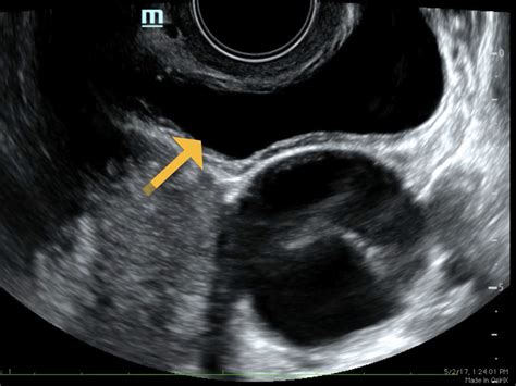
  • Size and Shape: Normal ovaries are typically almond-shaped and measure about 2-4 cm in length, 1.5-3 cm in width, and 1-2 cm in thickness.
  • Follicles: The presence and size of follicles are crucial indicators of ovarian function. During the menstrual cycle, follicles develop and release eggs.
  • Cysts and Tumors: The absence of cysts or tumors is a positive sign, indicating normal ovarian health.
  • Blood Flow: Doppler ultrasound can assess blood flow to the ovaries, which is essential for their proper functioning.

Common Findings in Normal Ovary Sonography

During a Normal Ovary Sonography, several findings can indicate normal ovarian health. These include:

  • Follicular Development: The presence of developing follicles, especially during the follicular phase of the menstrual cycle.
  • Corpus Luteum: The formation of the corpus luteum after ovulation, which produces progesterone to support the lining of the uterus.
  • Regular Ovarian Size: Ovaries that are within the normal size range and have a regular shape.
  • Absence of Abnormalities: No signs of cysts, tumors, or other abnormalities.

Conditions Detected by Normal Ovary Sonography

While the primary goal is to confirm normal ovarian health, Normal Ovary Sonography can also detect various conditions. Some of these include:

  • Ovarian Cysts: Fluid-filled sacs that can be benign or malignant.
  • Polycystic Ovary Syndrome (PCOS): A condition characterized by multiple cysts on the ovaries and hormonal imbalances.
  • Ovarian Tumors: Abnormal growths that can be benign or malignant.
  • Endometriosis: A condition where tissue similar to the lining of the uterus grows outside the uterus, often affecting the ovaries.

Benefits of Normal Ovary Sonography

Normal Ovary Sonography offers several benefits, making it a preferred diagnostic tool for assessing ovarian health:

  • Non-Invasive: The procedure is painless and does not require incisions or injections.
  • Quick Results: Images are available immediately, allowing for prompt diagnosis and treatment.
  • Cost-Effective: Compared to other imaging techniques, ultrasound is generally more affordable.
  • Safe: There are no known risks associated with ultrasound, making it safe for repeated use.

Limitations of Normal Ovary Sonography

Despite its benefits, Normal Ovary Sonography has some limitations:

  • Operator Dependency: The quality of the images depends on the skill and experience of the technician performing the ultrasound.
  • Limited Detail: In some cases, ultrasound may not provide detailed information about small or deeply located structures.
  • Patient Comfort: Transvaginal ultrasound can be uncomfortable for some patients.

When to Consider Normal Ovary Sonography

Normal Ovary Sonography is recommended in various situations to ensure optimal ovarian health. Some of these situations include:

  • Routine Check-Ups: As part of regular gynecological examinations, especially for women with a family history of ovarian cancer.
  • Infertility Evaluation: To assess ovarian reserve and follicle development in women experiencing fertility issues.
  • Pelvic Pain: To investigate the cause of pelvic pain or discomfort.
  • Abnormal Menstrual Cycles: To evaluate the ovaries in women with irregular or painful menstrual cycles.

Conclusion

Normal Ovary Sonography is an invaluable tool in the assessment and management of ovarian health. By providing detailed images of the ovaries, this non-invasive procedure aids in the early detection of abnormalities, monitoring of ovarian function, and guiding appropriate interventions. Understanding the significance, procedure, and interpretation of Normal Ovary Sonography empowers both healthcare providers and patients to make informed decisions about ovarian health. Regular sonography, combined with other diagnostic tools and clinical evaluations, ensures comprehensive care and timely intervention, promoting overall well-being and reproductive health.

Related Terms:

  • normal ovary size
  • pcos ultrasound images
  • normal ovary volume
  • ovarian cyst on ultrasound
  • pcos ovary ultrasound
  • normal ovary volume ultrasound