Normal Foot Xray

Normal Foot Xray

Understanding the intricacies of a Normal Foot Xray is crucial for healthcare professionals and patients alike. This diagnostic tool provides valuable insights into the structure and health of the foot, helping to identify various conditions and guide treatment plans. Whether you are a medical professional seeking to enhance your diagnostic skills or a patient curious about the process, this comprehensive guide will walk you through the essentials of a Normal Foot Xray.

What is a Normal Foot Xray?

A Normal Foot Xray is a radiographic image of the foot that shows the bones, joints, and soft tissues in detail. This imaging technique uses X-rays to create pictures of the internal structures of the foot, allowing healthcare providers to diagnose fractures, dislocations, arthritis, and other abnormalities. The term “normal” refers to an Xray that does not show any significant abnormalities or pathologies, indicating that the foot’s structure is intact and healthy.

Indications for a Foot Xray

There are several reasons why a healthcare provider might order a Normal Foot Xray. Some of the most common indications include:

  • Suspected fractures or breaks
  • Chronic foot pain
  • Joint swelling or deformity
  • Assessment of bone health
  • Pre-operative planning
  • Follow-up after treatment

Preparation for a Foot Xray

Preparing for a Normal Foot Xray is relatively straightforward. Patients are typically advised to:

  • Remove any jewelry or metal objects from the foot area
  • Wear comfortable clothing that allows easy access to the foot
  • Inform the technician about any recent surgeries or implants in the foot
  • Follow any specific instructions provided by the healthcare provider

The Procedure

The process of obtaining a Normal Foot Xray is quick and painless. Here is a step-by-step overview of what to expect:

  1. The patient is positioned on the Xray table, and the foot is placed in the correct position for imaging.
  2. The technician ensures that the foot is properly aligned to capture the necessary views.
  3. The Xray machine is positioned above the foot, and the technician steps out of the room to operate the machine remotely.
  4. Several images are taken from different angles to provide a comprehensive view of the foot.
  5. The entire process usually takes about 15-30 minutes.

📌 Note: Patients may be asked to change positions or hold their breath briefly to ensure clear images.

Interpreting a Normal Foot Xray

Interpreting a Normal Foot Xray involves a detailed examination of the images by a radiologist or orthopedic specialist. Key areas of focus include:

  • Bone density and structure
  • Joint spaces and alignment
  • Presence of fractures or dislocations
  • Soft tissue abnormalities
  • Signs of arthritis or other degenerative conditions

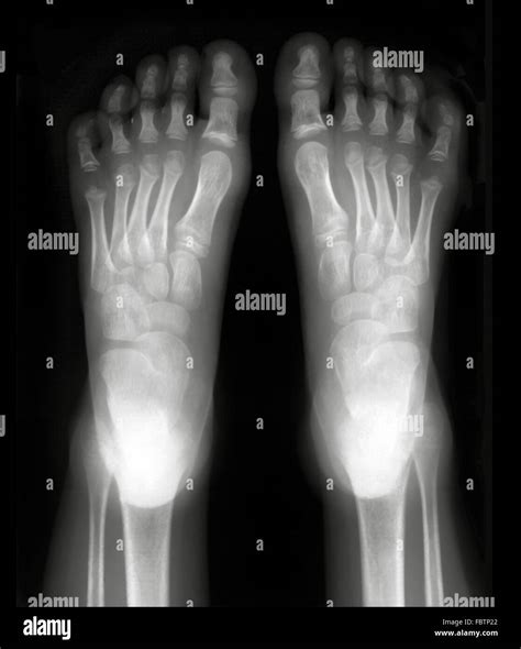
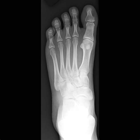
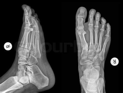
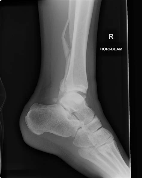
In a normal Xray, the bones should appear smooth and continuous, with no visible fractures or dislocations. The joint spaces should be uniform, and there should be no signs of bone spurs or other abnormalities.

Common Views in a Foot Xray

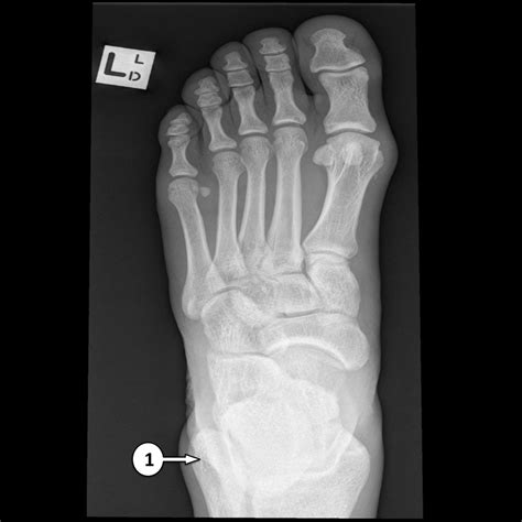
A Normal Foot Xray typically includes several standard views to provide a comprehensive assessment. These views include:

View Description
Anteroposterior (AP) View Shows the front of the foot, including the toes, metatarsals, and tarsal bones.
Lateral View Shows the side of the foot, providing a profile view of the bones and joints.
Oblique View Shows the foot at an angle, offering a different perspective on the bones and joints.
Axial View Shows the foot from above, focusing on the metatarsals and phalanges.

Conditions Detected by a Foot Xray

A Normal Foot Xray can help detect a variety of conditions, including:

  • Fractures and breaks
  • Dislocations and subluxations
  • Arthritis and joint degeneration
  • Bone spurs and cysts
  • Soft tissue injuries
  • Infections and tumors

While a normal Xray does not show any of these conditions, it serves as a baseline for comparison in future assessments.

Limitations of a Foot Xray

Although a Normal Foot Xray is a valuable diagnostic tool, it has certain limitations. These include:

  • Limited soft tissue detail
  • Inability to detect early-stage arthritis
  • Difficulty in visualizing small fractures or hairline cracks
  • Potential for overlapping structures to obscure details

In some cases, additional imaging techniques such as MRI or CT scans may be required to provide a more detailed assessment.

Follow-Up and Treatment

If a Normal Foot Xray reveals no abnormalities, it indicates that the foot is structurally sound. However, if any issues are detected, further evaluation and treatment may be necessary. Treatment options can vary widely depending on the condition diagnosed and may include:

  • Rest and immobilization
  • Pain management medications
  • Physical therapy
  • Surgery in severe cases

Regular follow-up appointments and additional imaging may be recommended to monitor the foot's condition and ensure proper healing.

📌 Note: Always follow the advice of your healthcare provider regarding follow-up care and treatment options.

In summary, a Normal Foot Xray is an essential diagnostic tool that provides valuable insights into the structure and health of the foot. By understanding the indications, preparation, procedure, and interpretation of a Normal Foot Xray, healthcare professionals and patients can work together to ensure accurate diagnoses and effective treatment plans. Whether used for routine check-ups or to assess specific concerns, a Normal Foot Xray plays a crucial role in maintaining foot health and overall well-being.

Related Terms:

  • normal foot x ray ap
  • normal foot x ray oblique
  • left foot x ray
  • normal foot x ray adult
  • normal foot x ray series
  • normal foot x ray child