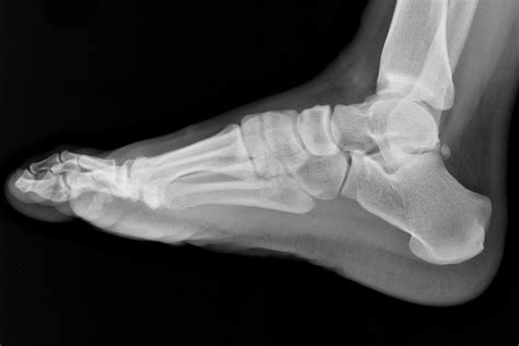
Normal Foot X Ray

Normal Foot X Ray

Understanding the intricacies of a Normal Foot X Ray is crucial for both medical professionals and patients alike. This diagnostic tool provides valuable insights into the structure and health of the foot, helping to identify a wide range of conditions from fractures to arthritis. In this post, we will delve into the details of a Normal Foot X Ray, its importance, the process involved, and how to interpret the results.

What is a Normal Foot X Ray?

A Normal Foot X Ray is a radiographic image of the foot that shows the bones, joints, and soft tissues in detail. It is a common diagnostic procedure used to evaluate various foot-related issues. The term “normal” refers to an X-ray that does not show any abnormalities or pathologies, indicating that the foot structure is healthy.

Importance of a Normal Foot X Ray

The importance of a Normal Foot X Ray cannot be overstated. It serves as a baseline for comparison in future examinations, helping to detect any changes or developments over time. For medical professionals, a normal X-ray provides reassurance that the foot is in good condition, ruling out potential issues that might require further investigation or treatment.

The Process of Obtaining a Normal Foot X Ray

Obtaining a Normal Foot X Ray involves several steps, each crucial for ensuring accurate and reliable results. Here is a detailed breakdown of the process:

Preparation

Before the procedure, patients are typically asked to remove any jewelry or metal objects from the foot area, as these can interfere with the X-ray images. Patients may also be asked to wear a hospital gown to ensure there are no obstructions.

Positioning

The patient is positioned on the X-ray table, and the foot is placed in a specific position to capture the desired views. Common views include:

  • Anteroposterior (AP) view: Shows the foot from the front.
  • Lateral view: Shows the side of the foot.
  • Oblique view: Shows the foot at an angle.

Exposure

Once the foot is properly positioned, the X-ray machine is activated to capture the images. The process is quick and painless, usually taking only a few seconds per view. The technician may take multiple images to ensure all necessary areas are covered.

Review

After the images are captured, they are reviewed by a radiologist who specializes in interpreting X-ray results. The radiologist looks for any signs of abnormalities, such as fractures, dislocations, or bone spurs. If the X-ray shows no abnormalities, it is considered a Normal Foot X Ray.

📝 Note: It is important for patients to follow any specific instructions provided by their healthcare provider before the X-ray procedure to ensure accurate results.

Interpreting a Normal Foot X Ray

Interpreting a Normal Foot X Ray involves a thorough examination of the images to ensure that all structures appear normal. Key areas of focus include:

Bones

The bones of the foot, including the tarsals, metatarsals, and phalanges, should be clearly visible and aligned properly. Any fractures, dislocations, or deformities would be immediately apparent.

Joints

The joints between the bones should be smooth and well-defined. Any signs of arthritis, such as bone spurs or joint space narrowing, would indicate an abnormality.

Soft Tissues

While X-rays primarily show bones, they can also provide some information about soft tissues. Any swelling, inflammation, or foreign objects would be noted.

Common Conditions Detected by Foot X Rays

Although a Normal Foot X Ray shows no abnormalities, it is essential to be aware of the conditions that can be detected through this diagnostic tool. Some common conditions include:

Fractures

Foot fractures are common, especially in athletes or individuals who have experienced trauma. X-rays can clearly show the location and extent of the fracture, aiding in the development of an appropriate treatment plan.

Arthritis

Arthritis can affect the joints of the foot, causing pain and stiffness. X-rays can reveal bone spurs, joint space narrowing, and other signs of arthritis, helping to diagnose the condition and monitor its progression.

Bone Spurs

Bone spurs are bony projections that develop along bone edges. They can cause pain and discomfort and are often associated with conditions like osteoarthritis. X-rays can identify the presence and location of bone spurs.

Foreign Objects

Foreign objects, such as splinters or glass fragments, can become embedded in the foot. X-rays can help locate these objects, allowing for their safe removal.

Benefits of a Normal Foot X Ray

A Normal Foot X Ray offers several benefits, both for patients and healthcare providers. Some of the key advantages include:

Early Detection

Early detection of foot-related issues can prevent complications and improve outcomes. A normal X-ray provides reassurance that the foot is healthy, but any deviations from normal can be addressed promptly.

Treatment Planning

For patients with foot conditions, a Normal Foot X Ray serves as a valuable tool for treatment planning. It helps healthcare providers determine the best course of action, whether it be medication, physical therapy, or surgery.

Monitoring Progress

For patients undergoing treatment for foot conditions, regular X-rays can monitor progress and ensure that the treatment is effective. Comparing current X-rays to previous ones can show improvements or the need for adjustments in the treatment plan.

Limitations of a Normal Foot X Ray

While a Normal Foot X Ray is a valuable diagnostic tool, it does have limitations. It is important to be aware of these limitations to ensure accurate diagnosis and treatment. Some of the limitations include:

Soft Tissue Visibility

X-rays primarily show bones and are less effective at visualizing soft tissues. Conditions affecting muscles, tendons, and ligaments may not be fully apparent on an X-ray.

Radiation Exposure

X-rays involve exposure to radiation, which can be harmful in large doses. However, the amount of radiation used in a single X-ray is generally considered safe.

False Negatives

In some cases, a Normal Foot X Ray may not detect certain conditions, leading to a false negative result. This can occur if the condition is in its early stages or if the X-ray images are not of high quality.

📝 Note: If you have concerns about the limitations of a Normal Foot X Ray, discuss them with your healthcare provider, who can recommend additional diagnostic tests if necessary.

Conclusion

A Normal Foot X Ray is an essential diagnostic tool that provides valuable insights into the health of the foot. It helps detect a wide range of conditions, from fractures to arthritis, and serves as a baseline for future comparisons. Understanding the process, interpretation, and limitations of a Normal Foot X Ray is crucial for both medical professionals and patients. By ensuring accurate diagnosis and treatment, a normal X-ray contributes to better foot health and overall well-being.

Related Terms:

  • normal foot x ray ap
  • normal foot x ray oblique
  • left foot x ray
  • normal foot x ray adult
  • normal foot x ray series
  • normal foot x ray child