Normal Ct Head Png

Normal Ct Head Png

In the realm of medical imaging, the Normal Ct Head Png is a crucial diagnostic tool that provides detailed insights into the structure and function of the brain. Computed Tomography (CT) scans are widely used in healthcare settings to detect a variety of conditions, from traumatic injuries to neurological disorders. This blog post delves into the significance of Normal Ct Head Png, its applications, and how it aids in medical diagnosis and treatment.

Understanding CT Scans

CT scans use X-rays and computer technology to create detailed images of the body. Unlike traditional X-rays, which produce flat images, CT scans generate cross-sectional images, or “slices,” of the body. These slices can be combined to create a three-dimensional image, providing a comprehensive view of internal structures.

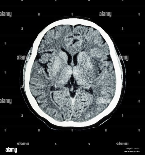
The Importance of Normal Ct Head Png

A Normal Ct Head Png serves as a benchmark for comparing abnormal scans. It helps radiologists and neurologists identify deviations from the standard anatomy, which can indicate various medical conditions. The normal scan provides a clear picture of the brain’s structure, including the ventricles, cerebral cortex, and other critical areas.

Applications of Normal Ct Head Png

The Normal Ct Head Png has several applications in medical diagnostics:

  • Traumatic Brain Injury (TBI): CT scans are often the first line of defense in diagnosing TBI. They can detect fractures, bleeding, and swelling in the brain.
  • Stroke Detection: CT scans can quickly identify ischemic strokes, where blood flow to the brain is blocked, and hemorrhagic strokes, where a blood vessel in the brain ruptures.
  • Tumors and Lesions: CT scans can detect tumors, cysts, and other lesions in the brain, aiding in early diagnosis and treatment.
  • Infections: Conditions like meningitis and encephalitis can be detected through CT scans, which show inflammation and swelling in the brain.

Interpreting a Normal Ct Head Png

Interpreting a Normal Ct Head Png involves a thorough understanding of brain anatomy. Radiologists look for several key features:

  • Ventricles: The ventricles are fluid-filled spaces in the brain. In a normal scan, they should be symmetrical and of normal size.
  • Cerebral Cortex: The cerebral cortex should appear smooth and uniform, without any signs of atrophy or lesions.
  • White Matter: The white matter should be intact, without any signs of demyelination or other abnormalities.
  • Blood Vessels: The major blood vessels should be clearly visible and free of any blockages or aneurysms.

Here is a table summarizing the key features of a normal CT head scan:

Feature Normal Appearance
Ventricles Symmetrical and normal size
Cerebral Cortex Smooth and uniform
White Matter Intact, no demyelination
Blood Vessels Clearly visible, no blockages

📌 Note: While interpreting a Normal Ct Head Png, it is essential to consider the patient's medical history and symptoms. A normal scan does not rule out all possible conditions, and further tests may be necessary.

Advancements in CT Technology

CT technology has evolved significantly over the years, enhancing the quality and detail of Normal Ct Head Png. Modern CT scanners use advanced algorithms and higher resolution to provide clearer images. Additionally, the introduction of multi-slice CT scanners has allowed for faster and more detailed scans, reducing the time patients spend in the scanner and improving diagnostic accuracy.

Challenges and Limitations

Despite its advantages, CT scanning has some limitations. One of the primary concerns is the exposure to ionizing radiation, which can be harmful with repeated scans. Additionally, CT scans may not always detect small lesions or subtle abnormalities, especially in the early stages of a condition. In such cases, other imaging techniques like Magnetic Resonance Imaging (MRI) may be more appropriate.

Another challenge is the interpretation of CT scans, which requires specialized training and expertise. Radiologists must be skilled in identifying subtle differences between normal and abnormal scans, and misinterpretations can lead to incorrect diagnoses and treatment plans.

📌 Note: Patients should discuss the risks and benefits of CT scans with their healthcare providers, especially if they have a history of radiation exposure or are pregnant.

Future Directions

The future of CT scanning holds promise with the development of new technologies and techniques. Artificial Intelligence (AI) and machine learning are being integrated into CT imaging to enhance diagnostic accuracy and efficiency. AI algorithms can analyze large datasets of Normal Ct Head Png to identify patterns and anomalies that may not be visible to the human eye, aiding in early detection and treatment of neurological conditions.

Additionally, advancements in 3D printing technology are enabling the creation of detailed anatomical models from CT scans. These models can be used for surgical planning, medical education, and patient communication, providing a tangible representation of the brain's structure and function.

In conclusion, the Normal Ct Head Png is an invaluable tool in medical diagnostics, providing detailed insights into the brain’s structure and function. Its applications range from detecting traumatic injuries to identifying neurological disorders, making it a cornerstone of modern healthcare. As technology continues to advance, the role of CT scans in medical imaging is likely to expand, offering even greater diagnostic capabilities and improved patient outcomes. The integration of AI and 3D printing technologies holds the potential to revolutionize the field, enhancing diagnostic accuracy and providing new avenues for treatment and research. The ongoing evolution of CT technology ensures that it will remain a vital component of medical diagnostics for years to come.

Related Terms:

  • normal ct brain lesions
  • normal ct brain female
  • ct of head anatomy
  • normal ct brain x ray
  • normal ct brain configuration
  • normal ct brain