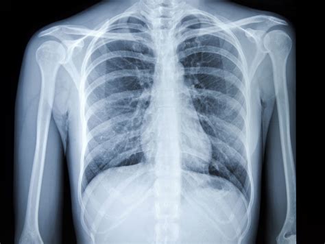
Normal Chest Ray

Normal Chest Ray

Understanding the significance of a Normal Chest Ray is crucial for healthcare professionals and patients alike. This diagnostic tool plays a pivotal role in assessing the health of the lungs, heart, and other thoracic structures. By providing a clear image of the chest cavity, a Normal Chest Ray helps in the early detection of various conditions, enabling timely intervention and treatment.

What is a Normal Chest Ray?

A Normal Chest Ray, also known as a chest X-ray, is a medical imaging technique that uses low-dose X-rays to produce images of the chest. These images are used to diagnose and monitor a wide range of conditions affecting the lungs, heart, and other structures within the chest cavity. The procedure is non-invasive, quick, and relatively painless, making it a commonly used diagnostic tool in healthcare settings.

Indications for a Normal Chest Ray

A Normal Chest Ray is often recommended for various reasons, including:

  • Respiratory Symptoms: Persistent cough, shortness of breath, or chest pain.
  • Cardiac Issues: Suspected heart problems, such as heart failure or heart enlargement.
  • Infections: Pneumonia, tuberculosis, or other lung infections.
  • Trauma: Chest injuries from accidents or falls.
  • Pre-Surgical Evaluation: Assessing the chest before surgery.
  • Monitoring Chronic Conditions: Tracking the progression of conditions like COPD or lung cancer.

Preparation for a Normal Chest Ray

Preparing for a Normal Chest Ray is straightforward. Patients are typically advised to:

  • Remove Metal Objects: Jewelry, clothing with metal zippers or buttons, and other metallic items should be removed as they can interfere with the X-ray images.
  • Wear Comfortable Clothing: Loose-fitting clothing that can be easily removed or adjusted.
  • Inform the Technician: Notify the technician if you are pregnant or have any implanted medical devices.

Procedure for a Normal Chest Ray

The procedure for a Normal Chest Ray is simple and usually takes only a few minutes. Here are the steps involved:

  • Positioning: The patient stands or sits in front of the X-ray machine. The technician may ask the patient to take a deep breath and hold it briefly to ensure a clear image.
  • Exposure: The X-ray machine emits a low-dose X-ray beam that passes through the chest and is captured on a detector.
  • Image Capture: Multiple images may be taken from different angles to provide a comprehensive view of the chest cavity.

📝 Note: Patients may be asked to change positions or hold their breath during the procedure to ensure the best possible images.

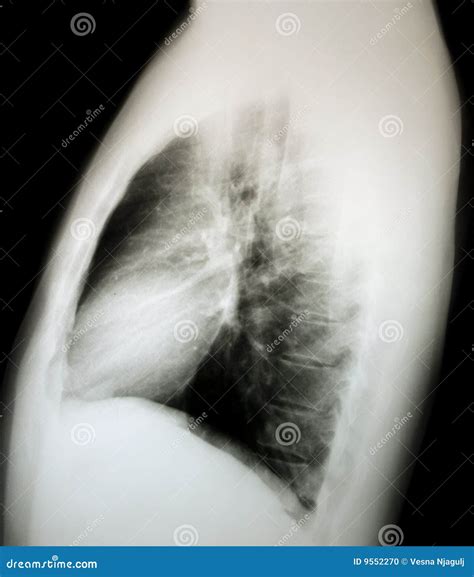
Interpreting a Normal Chest Ray

Interpreting a Normal Chest Ray involves examining the images for any abnormalities. Radiologists look for signs of:

  • Lung Conditions: Pneumonia, lung cancer, or emphysema.
  • Heart Issues: Enlarged heart, fluid around the heart, or heart failure.
  • Bone Abnormalities: Fractures, tumors, or infections in the ribs or spine.
  • Other Structures: Enlarged lymph nodes, pleural effusions, or foreign objects.

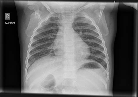
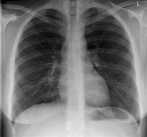
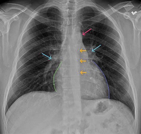
Common Findings in a Normal Chest Ray

A Normal Chest Ray typically reveals the following structures and conditions:

Structure/Condition Description
Lungs Clear lung fields with no signs of infection, inflammation, or tumors.
Heart Normal size and shape, with no signs of enlargement or fluid accumulation.
Ribs and Spine Intact bones with no fractures or abnormalities.
Diaphragm Normal position and movement.
Pleural Space No fluid or air accumulation.

Limitations of a Normal Chest Ray

While a Normal Chest Ray is a valuable diagnostic tool, it has certain limitations:

  • Limited Detail: It may not provide detailed images of soft tissues or small structures.
  • Overlapping Structures: Some structures may overlap, making it difficult to distinguish between them.
  • Radiation Exposure: Although the dose is low, repeated X-rays can accumulate radiation exposure.

Alternative Imaging Techniques

In some cases, alternative imaging techniques may be recommended to provide more detailed information:

  • CT Scan: Computed Tomography (CT) scans provide detailed cross-sectional images of the chest.
  • MRI: Magnetic Resonance Imaging (MRI) uses magnetic fields and radio waves to produce detailed images of soft tissues.
  • Ultrasound: Uses sound waves to create images of the chest, particularly useful for evaluating fluid accumulations.

📝 Note: The choice of imaging technique depends on the specific clinical situation and the information needed.

Conclusion

A Normal Chest Ray is an essential diagnostic tool that provides valuable insights into the health of the chest cavity. By detecting abnormalities early, it enables timely intervention and treatment, improving patient outcomes. Understanding the indications, preparation, procedure, and limitations of a Normal Chest Ray is crucial for both healthcare professionals and patients. Regular monitoring and follow-up imaging may be necessary to track the progression of certain conditions and ensure effective management.

Related Terms:

  • normal vs abnormal x rays
  • normal chest x ray examples
  • chest x ray normal anatomy
  • normal chest imaging examples
  • normal chest xray female
  • normal adult x ray