Ng Tube Insertion

Ng Tube Insertion

Ng tube insertion, also known as nasogastric tube insertion, is a medical procedure used to place a tube through the nose, down the esophagus, and into the stomach. This procedure is commonly performed to administer medications, nutrients, or to decompress the stomach. Understanding the process, indications, and potential complications of Ng tube insertion is crucial for healthcare professionals and patients alike.

Indications for Ng Tube Insertion

Ng tube insertion is indicated in various clinical scenarios, including:

  • Feeding and Nutrition: Patients who are unable to eat or drink due to conditions such as stroke, coma, or severe dysphagia may require Ng tube insertion for nutritional support.
  • Medication Administration: For patients who cannot swallow pills, Ng tubes can be used to administer liquid medications directly into the stomach.
  • Gastric Decompression: In cases of bowel obstruction, ileus, or gastric distension, Ng tubes can help relieve pressure and prevent vomiting.
  • Gastric Lavage: Ng tubes are used to empty the stomach contents, often in cases of poisoning or overdose.

Preparation for Ng Tube Insertion

Proper preparation is essential to ensure a smooth and safe Ng tube insertion. The following steps should be taken:

  • Patient Assessment: Evaluate the patient's condition, including their ability to cooperate and any underlying medical issues that may affect the procedure.
  • Informed Consent: Obtain informed consent from the patient or their legal guardian, explaining the purpose, risks, and benefits of the procedure.
  • Equipment Gathering: Gather the necessary equipment, including the Ng tube, lubricant, syringe, stethoscope, and measuring tape.
  • Patient Positioning: Position the patient in an upright or semi-upright position to facilitate the passage of the tube.

Procedure for Ng Tube Insertion

The Ng tube insertion procedure involves several steps, each requiring careful attention to detail:

  • Measure the Tube: Measure the length of the tube from the tip of the nose to the earlobe and then to the xiphoid process. This ensures the tube reaches the stomach without excessive length.
  • Lubricate the Tube: Apply a water-based lubricant to the tip of the tube to ease insertion.
  • Insert the Tube: Gently insert the tube into the nostril, aiming it downward toward the back of the throat. Ask the patient to swallow as the tube is advanced.
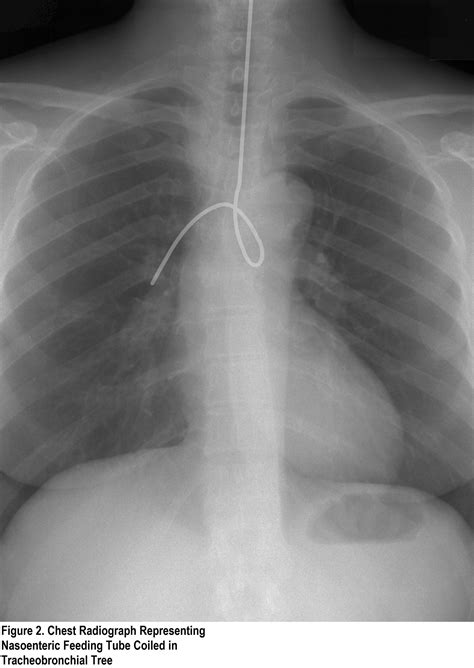
  • Confirm Placement: Once the tube is in place, confirm its position by auscultating the epigastrium while injecting air through the tube. Alternatively, use a pH indicator strip to check the pH of the aspirate, which should be acidic if the tube is in the stomach.

Ng Tube Insertion Procedure

Complications of Ng Tube Insertion

While Ng tube insertion is generally safe, it can be associated with several complications:

  • Nasal Trauma: Insertion can cause nasal bleeding or ulceration.
  • Esophageal Perforation: Although rare, the tube can perforate the esophagus, leading to serious complications.
  • Aspiration: There is a risk of aspirating stomach contents into the lungs, which can cause pneumonia.
  • Tube Dislodgement: The tube can become dislodged, requiring reinsertion.
  • Patient Discomfort: The procedure can be uncomfortable or painful for the patient.

🔍 Note: Always monitor the patient closely after Ng tube insertion to detect and manage any complications promptly.

Post-Insertion Care

After successful Ng tube insertion, proper post-insertion care is essential to maintain the tube's position and functionality:

  • Secure the Tube: Secure the tube to the patient's nose or cheek using tape or a securement device to prevent dislodgement.
  • Monitor for Complications: Regularly check for signs of nasal trauma, aspiration, or tube dislodgement.
  • Maintain Tube Patency: Flush the tube with water before and after each use to prevent clogging.
  • Patient Education: Educate the patient and caregivers about the importance of keeping the tube clean and secure.

Alternative Methods of Feeding

In some cases, alternative methods of feeding may be considered if Ng tube insertion is not suitable:

  • Oral Feeding: For patients who can safely swallow, oral feeding is the preferred method.
  • Percutaneous Endoscopic Gastrostomy (PEG): A PEG tube is inserted directly into the stomach through the abdominal wall, providing a more permanent solution for long-term feeding.
  • Jejunostomy Tube: A jejunostomy tube is placed directly into the jejunum, bypassing the stomach and duodenum, and is useful for patients with gastric motility issues.

Here is a comparison of different feeding methods:

Method Indications Advantages Disadvantages
Ng Tube Short-term feeding, gastric decompression Easy to insert, can be used for medication administration Risk of dislodgement, nasal discomfort
PEG Tube Long-term feeding More secure, allows for normal oral intake Requires endoscopic procedure, risk of infection
Jejunostomy Tube Gastric motility issues Bypasses the stomach, reduces risk of aspiration Requires surgical procedure, higher risk of complications

🔍 Note: The choice of feeding method depends on the patient's specific needs, medical condition, and the duration of feeding required.

Ng tube insertion is a valuable procedure in various clinical settings, providing essential nutritional support and medication administration. Understanding the indications, preparation, procedure, and potential complications of Ng tube insertion is crucial for healthcare professionals. Proper post-insertion care and consideration of alternative feeding methods ensure the best outcomes for patients. By following best practices and monitoring patients closely, healthcare providers can minimize risks and optimize the benefits of Ng tube insertion.

Related Terms:

  • ng tube insertion steps
  • ng tube insertion procedure steps
  • ng tube insertion measurement
  • indications for ng tube insertion
  • ng tube insertion documentation
  • ng tube placement