Nevus Jadassohn Sebaceous

Nevus Jadassohn Sebaceous

Nevus Jadassohn Sebaceous, also known as Nevus Sebaceous of Jadassohn, is a rare congenital skin lesion that typically appears at birth or shortly thereafter. This condition is characterized by a yellowish or orange plaque, often found on the scalp, face, or neck. Understanding the nature, causes, symptoms, diagnosis, and treatment options for Nevus Jadassohn Sebaceous is crucial for both healthcare providers and individuals affected by this condition.

Understanding Nevus Jadassohn Sebaceous

Nevus Jadassohn Sebaceous is a type of epidermal nevus, which means it originates from the epidermis, the outermost layer of the skin. The condition is named after Josef Jadassohn, the dermatologist who first described it in 1905. This nevus is composed of sebaceous glands, which are responsible for producing sebum, an oily substance that helps keep the skin moisturized.

Nevus Jadassohn Sebaceous can vary in size and shape, but it is often a well-defined, hairless plaque with a waxy or velvety texture. The lesion may be flat or slightly raised and can range from a few millimeters to several centimeters in diameter. It is typically present at birth or appears within the first few years of life.

Causes of Nevus Jadassohn Sebaceous

The exact cause of Nevus Jadassohn Sebaceous is not fully understood, but it is believed to be a result of genetic mutations that occur during embryonic development. These mutations affect the development of the sebaceous glands, leading to the formation of the nevus. The condition is not hereditary and does not run in families.

Several factors may contribute to the development of Nevus Jadassohn Sebaceous, including:

  • Genetic mutations during fetal development
  • Abnormal differentiation of epidermal cells
  • Disruption in the signaling pathways that regulate sebaceous gland development

Symptoms of Nevus Jadassohn Sebaceous

The primary symptom of Nevus Jadassohn Sebaceous is the presence of a yellowish or orange plaque on the skin. The lesion is usually asymptomatic, meaning it does not cause any pain, itching, or discomfort. However, in some cases, the nevus may become inflamed or infected, leading to redness, swelling, and tenderness.

Other symptoms may include:

  • Changes in the texture or appearance of the skin
  • Development of secondary skin lesions, such as warts or cysts
  • In rare cases, the nevus may undergo malignant transformation, leading to the development of basal cell carcinoma or other types of skin cancer

Diagnosis of Nevus Jadassohn Sebaceous

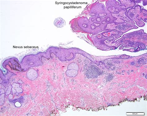
The diagnosis of Nevus Jadassohn Sebaceous is typically based on a clinical examination of the skin lesion. A healthcare provider will assess the appearance, size, and location of the nevus, as well as any associated symptoms. In some cases, a biopsy may be performed to confirm the diagnosis and rule out other skin conditions.

During a biopsy, a small sample of the skin lesion is removed and examined under a microscope. This procedure can help identify the characteristic features of Nevus Jadassohn Sebaceous, such as the presence of abnormal sebaceous glands and epidermal hyperplasia.

Additional diagnostic tests may include:

  • Dermoscopy: A non-invasive technique that uses a specialized microscope to examine the skin lesion in detail
  • Imaging studies: Such as ultrasound or magnetic resonance imaging (MRI), to assess the extent and depth of the nevus

Treatment Options for Nevus Jadassohn Sebaceous

The treatment of Nevus Jadassohn Sebaceous depends on the size, location, and symptoms of the lesion, as well as the individual's preferences and overall health. In many cases, no treatment is necessary, and the nevus can be monitored regularly for any changes or complications.

For individuals who wish to remove the nevus for cosmetic reasons or to prevent potential complications, several treatment options are available:

Surgical Excision

Surgical excision involves the complete removal of the nevus using a scalpel or other surgical instruments. This procedure is typically performed under local anesthesia and may leave a scar. Surgical excision is often recommended for larger lesions or those located in areas where they may be prone to trauma or infection.

Laser Therapy

Laser therapy uses focused beams of light to destroy the abnormal sebaceous glands and smooth the skin surface. This non-invasive procedure can be effective in reducing the size and appearance of the nevus, but it may require multiple sessions to achieve the desired results. Laser therapy is often used for smaller lesions or those located in cosmetically sensitive areas.

Topical Treatments

Topical treatments, such as retinoids or corticosteroids, may be used to reduce inflammation and improve the appearance of the nevus. These medications are applied directly to the skin and can help control symptoms such as redness, swelling, and itching. Topical treatments are typically used in conjunction with other therapies, such as surgical excision or laser therapy.

Chemical Peels

Chemical peels involve the application of a chemical solution to the skin, which causes the outer layers to peel off, revealing smoother, more even-toned skin underneath. This procedure can help reduce the appearance of the nevus and improve the overall texture and appearance of the skin. Chemical peels are often used for smaller lesions or those located in areas where surgical excision is not feasible.

Complications and Risks

While Nevus Jadassohn Sebaceous is generally a benign condition, it can be associated with several complications and risks. Some of the potential complications include:

  • Infection: The nevus may become infected, leading to redness, swelling, and tenderness
  • Inflammation: The lesion may become inflamed, causing discomfort and changes in appearance
  • Malignant transformation: In rare cases, the nevus may undergo malignant transformation, leading to the development of skin cancer
  • Cosmetic concerns: The appearance of the nevus may cause self-consciousness or embarrassment, particularly if it is located in a visible area

To minimize the risk of complications, it is important to monitor the nevus regularly and seek medical attention if any changes or symptoms occur. Regular follow-up appointments with a healthcare provider can help ensure early detection and treatment of any potential issues.

📌 Note: Individuals with Nevus Jadassohn Sebaceous should avoid exposing the lesion to excessive sunlight or UV radiation, as this can increase the risk of malignant transformation. Using sunscreen and protective clothing can help reduce this risk.

Living with Nevus Jadassohn Sebaceous

Living with Nevus Jadassohn Sebaceous can be challenging, particularly if the lesion is located in a visible area or causes discomfort. However, with proper management and care, individuals can lead healthy and fulfilling lives. Some tips for managing Nevus Jadassohn Sebaceous include:

  • Regularly monitor the nevus for any changes or symptoms
  • Seek medical attention if any concerns arise
  • Protect the lesion from excessive sunlight or UV radiation
  • Consider treatment options if desired
  • Maintain a healthy lifestyle, including a balanced diet and regular exercise

Support from family, friends, and healthcare providers can also be beneficial in coping with the emotional and psychological aspects of living with Nevus Jadassohn Sebaceous. Joining support groups or online communities can provide a sense of connection and shared experiences with others who are going through similar situations.

Research and Future Directions

Research on Nevus Jadassohn Sebaceous is ongoing, with scientists and healthcare providers working to better understand the underlying causes and mechanisms of this condition. Advances in genetic testing and molecular biology have provided new insights into the genetic mutations and signaling pathways involved in the development of the nevus.

Future research may focus on:

  • Identifying specific genetic mutations associated with Nevus Jadassohn Sebaceous
  • Developing targeted therapies to address the underlying causes of the condition
  • Improving diagnostic techniques to detect and monitor the nevus more effectively
  • Exploring new treatment options, such as gene therapy or stem cell therapy

As our understanding of Nevus Jadassohn Sebaceous continues to grow, so too will the availability of effective treatments and management strategies. Ongoing research and collaboration among healthcare providers, scientists, and individuals affected by this condition will be crucial in advancing our knowledge and improving outcomes for those living with Nevus Jadassohn Sebaceous.

In addition to medical research, there is a growing need for awareness and education about Nevus Jadassohn Sebaceous. Increasing public awareness can help reduce stigma and misconceptions surrounding this condition, while also encouraging early detection and treatment. Educational initiatives aimed at healthcare providers, educators, and the general public can play a vital role in promoting better understanding and support for individuals with Nevus Jadassohn Sebaceous.

One important aspect of future research is the development of standardized guidelines for the diagnosis and management of Nevus Jadassohn Sebaceous. These guidelines can help ensure consistent and high-quality care for individuals with this condition, regardless of their location or access to specialized healthcare services. By establishing evidence-based recommendations, healthcare providers can make informed decisions about the best course of treatment for each individual.

Another area of focus is the psychological and emotional impact of living with Nevus Jadassohn Sebaceous. While the physical aspects of the condition are well-documented, the psychological and emotional effects are often overlooked. Future research should aim to better understand the mental health challenges faced by individuals with Nevus Jadassohn Sebaceous and develop strategies to support their emotional well-being.

Support groups and online communities can provide valuable resources for individuals with Nevus Jadassohn Sebaceous, offering a platform for sharing experiences, seeking advice, and finding emotional support. These communities can also serve as a source of information and education, helping individuals stay informed about the latest research and treatment options.

In conclusion, Nevus Jadassohn Sebaceous is a rare but significant skin condition that requires careful management and monitoring. By understanding the causes, symptoms, diagnosis, and treatment options for this condition, individuals and healthcare providers can work together to ensure the best possible outcomes. Ongoing research and education will be essential in advancing our knowledge and improving the lives of those affected by Nevus Jadassohn Sebaceous.

Related Terms:

  • nevus sebaceous patient information
  • nevus sebaceous risk factors
  • nevus sebaceous physical exam description
  • nevus sebaceous baby
  • nevus sebaceous cheek
  • nevus sebaceous images