Natal Teeth Newborn

Natal Teeth Newborn

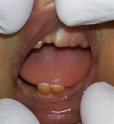
Welcome to the fascinating world of infant development, where every milestone is a cause for celebration. One of the more intriguing phenomena that some parents encounter is the presence of natal teeth newborn. These are teeth that are already visible at birth or erupt within the first month of life. While they are relatively rare, natal teeth can raise questions and concerns for new parents. This blog post will delve into the details of natal teeth, their causes, potential issues, and how to manage them.

What Are Natal Teeth?

Natal teeth are teeth that are present at birth or appear within the first 30 days of a newborn's life. They are different from neonatal teeth, which erupt between one and three months of age. Natal teeth are often the lower central incisors, but they can also be the upper incisors or even molars. These teeth can be fully developed or partially erupted, and they may be loose or firmly attached to the gum.

Causes of Natal Teeth

The exact cause of natal teeth is not fully understood, but several factors are believed to contribute to their early eruption:

  • Genetic Factors: There is often a family history of natal teeth, suggesting a genetic predisposition.
  • Hormonal Influences: Hormones from the mother can sometimes stimulate the early eruption of teeth in the fetus.
  • Developmental Issues: In some cases, natal teeth may be associated with certain developmental conditions or syndromes, such as Ellis-van Creveld syndrome or Hallermann-Streiff syndrome.

Potential Issues with Natal Teeth

While natal teeth are generally harmless, they can sometimes cause complications. Some of the potential issues include:

  • Feeding Difficulties: Natal teeth can interfere with breastfeeding or bottle-feeding, causing discomfort for the baby and making it difficult for them to latch properly.
  • Risk of Aspiration: Loose natal teeth can pose a risk of aspiration, where the tooth is inhaled into the lungs.
  • Injury to the Tongue: Sharp natal teeth can cause injuries to the baby's tongue or the mother's nipples during feeding.

Managing Natal Teeth

If your newborn has natal teeth, it's important to consult with a pediatric dentist or your pediatrician to determine the best course of action. Here are some common management strategies:

  • Monitoring: In many cases, natal teeth are left alone if they are not causing any issues. Regular monitoring by a healthcare professional is essential to ensure they do not become loose or cause problems.
  • Smoothing the Edges: If the natal teeth are sharp and causing discomfort or injury, a pediatric dentist can smooth the edges to make them less harmful.
  • Extraction: In rare cases, extraction may be recommended if the natal teeth are loose, causing significant feeding difficulties, or associated with a developmental condition. This decision is usually made in consultation with a pediatric dentist and a pediatrician.

📝 Note: Always consult with a healthcare professional before making any decisions regarding the management of natal teeth. Each case is unique, and professional guidance is crucial.

When to Seek Medical Attention

While natal teeth are often benign, there are situations where medical attention is necessary. Contact your pediatrician or a pediatric dentist if you notice any of the following:

  • Your baby is having difficulty feeding due to the natal teeth.
  • The natal teeth are loose or wobbly.
  • There are signs of infection or inflammation around the natal teeth.
  • Your baby is experiencing discomfort or pain.

Caring for Your Baby's Teeth

Even if your baby has natal teeth, it's important to establish good oral hygiene habits from an early age. Here are some tips for caring for your baby's teeth:

  • Gentle Cleaning: Use a soft, damp cloth or a baby toothbrush to gently clean your baby's teeth and gums after feedings.
  • Avoid Sugary Foods: Limit your baby's exposure to sugary foods and drinks to prevent tooth decay.
  • Regular Check-ups: Schedule regular dental check-ups with a pediatric dentist to monitor your baby's oral health.

Common Myths About Natal Teeth

There are several myths and misconceptions surrounding natal teeth. Let's address some of the most common ones:

  • Myth: Natal teeth are always a sign of a health problem. Fact: While natal teeth can sometimes be associated with developmental conditions, they are often harmless and do not indicate a health problem.
  • Myth: Natal teeth should always be removed. Fact: Extraction is only recommended in specific cases, such as when the teeth are loose, causing feeding difficulties, or associated with a developmental condition.
  • Myth: Natal teeth will fall out quickly. Fact: Natal teeth can remain in place for several months or even years, depending on various factors.

Understanding the facts about natal teeth can help alleviate concerns and ensure that your baby receives the appropriate care.

Conclusion

Natal teeth in newborns are a fascinating and sometimes concerning phenomenon. While they are relatively rare, it’s important for parents to be informed about the causes, potential issues, and management strategies. Regular monitoring and consultation with healthcare professionals are key to ensuring your baby’s oral health and overall well-being. By understanding the facts and addressing any concerns promptly, you can navigate this unique aspect of your baby’s development with confidence.

Related Terms:

  • baby born with 32 teeth
  • natal teeth extraction
  • rare babies born with teeth
  • babies born with teeth pictures
  • newborn baby born with teeth
  • baby born with full teeth