Mt Dew Mouth

Mt Dew Mouth

Ever wondered what happens when you indulge in a few too many cans of Mt Dew? The term "Mt Dew Mouth" has become a colloquial way to describe the unpleasant dental effects that can result from excessive consumption of sugary and acidic beverages like Mountain Dew. This phenomenon is not just a myth; it's a real issue that affects many people who enjoy these drinks regularly. Understanding the causes and effects of Mt Dew Mouth can help you make more informed choices about your beverage consumption.

What is Mt Dew Mouth?

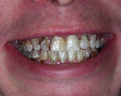
Mt Dew Mouth refers to the severe dental erosion and discoloration that can occur from frequent consumption of Mountain Dew and similar beverages. These drinks are high in sugar and acidity, which can wreak havoc on your teeth over time. The combination of these factors creates an environment that is highly conducive to tooth decay and enamel erosion.

Causes of Mt Dew Mouth

Several factors contribute to the development of Mt Dew Mouth:

  • High Sugar Content: Mountain Dew is loaded with sugar, which feeds the bacteria in your mouth. These bacteria produce acids that attack your tooth enamel, leading to cavities and decay.
  • Acidity: The high acidity of Mountain Dew can directly erode tooth enamel. This erosion weakens the teeth, making them more susceptible to decay and sensitivity.
  • Frequent Consumption: Drinking Mountain Dew regularly, especially throughout the day, increases the exposure of your teeth to sugar and acid. This constant bombardment can accelerate the damage to your dental health.
  • Poor Oral Hygiene: Not brushing and flossing regularly can exacerbate the effects of Mt Dew Mouth. Without proper oral care, the sugar and acid from the drink can linger in your mouth, causing more harm.

Symptoms of Mt Dew Mouth

Recognizing the symptoms of Mt Dew Mouth is crucial for early intervention. Some common signs include:

  • Tooth Discoloration: Your teeth may become yellow or brown due to the staining effects of the drink.
  • Tooth Sensitivity: Erosion of the enamel can expose the dentin layer, making your teeth sensitive to hot, cold, or sweet foods and drinks.
  • Cavities: Increased tooth decay can lead to the formation of cavities, which may require dental fillings or other treatments.
  • Enamel Erosion: The outer layer of your teeth may wear down, making them appear translucent or rough.
  • Bad Breath: The bacteria feeding on the sugar in your mouth can cause persistent bad breath.

Preventing Mt Dew Mouth

Preventing Mt Dew Mouth involves a combination of reducing your intake of sugary and acidic beverages and maintaining good oral hygiene. Here are some tips to help you avoid this dental issue:

  • Limit Consumption: Try to limit your intake of Mountain Dew and other sugary drinks. Opt for water or other healthier beverages instead.
  • Use a Straw: When you do drink Mountain Dew, use a straw to minimize contact with your teeth.
  • Rinse Your Mouth: After drinking, rinse your mouth with water to help wash away the sugar and acid.
  • Brush and Floss Regularly: Maintain a consistent oral hygiene routine, brushing at least twice a day and flossing daily.
  • Visit Your Dentist: Regular dental check-ups can help detect and address any issues early, preventing more serious problems.

Treatment Options for Mt Dew Mouth

If you already have symptoms of Mt Dew Mouth, there are several treatment options available:

  • Dental Cleanings: Regular professional cleanings can help remove plaque and tartar, reducing the risk of further decay.
  • Fluoride Treatments: Fluoride can help strengthen your tooth enamel and reduce sensitivity.
  • Dental Fillings: If you have cavities, your dentist may recommend fillings to restore the affected teeth.
  • Crowns or Veneers: For severe enamel erosion, crowns or veneers can be used to protect and restore the appearance of your teeth.

The Impact of Mt Dew Mouth on Overall Health

While Mt Dew Mouth primarily affects your dental health, it can also have broader implications for your overall well-being. Poor oral health has been linked to various systemic health issues, including:

  • Heart Disease: Chronic inflammation and infection in the mouth can contribute to heart disease.
  • Diabetes: Poor oral health can make it harder to control blood sugar levels, exacerbating diabetes.
  • Respiratory Infections: Bacteria from the mouth can be inhaled into the lungs, leading to respiratory infections.

Case Studies and Real-Life Examples

To understand the real impact of Mt Dew Mouth, let’s look at a few case studies:

Name Age Consumption Habits Symptoms Treatment
John D. 25 3-4 cans of Mt Dew per day Severe tooth discoloration, sensitivity, and multiple cavities Dental fillings, fluoride treatments, and regular cleanings
Emily L. 30 2 cans of Mt Dew per day Enamel erosion, bad breath, and occasional tooth pain Crowns, regular cleanings, and dietary changes
Michael R. 28 1-2 cans of Mt Dew per day Tooth sensitivity and mild discoloration Fluoride treatments and improved oral hygiene

These cases highlight the importance of moderation and good oral hygiene in preventing Mt Dew Mouth. Early intervention can make a significant difference in the long-term health of your teeth.

💡 Note: The case studies provided are hypothetical and for illustrative purposes only. Individual experiences may vary.

Conclusion

Mt Dew Mouth is a real and serious issue that can have lasting effects on your dental health. By understanding the causes and symptoms, you can take proactive steps to prevent or mitigate the damage. Limiting your intake of sugary and acidic beverages, maintaining good oral hygiene, and seeking regular dental care are key to keeping your teeth healthy and strong. Remember, your dental health is an integral part of your overall well-being, so it’s essential to take care of your teeth to enjoy a healthier, happier life.

Related Terms:

  • dangers of drinking mountain dew
  • mountain dew teeth pictures
  • pictures of mountain dew mouth
  • mountain dew dangers
  • mountain dew mouth documentary netflix
  • mountain dew teeth near me