Mri Without Contrast

Mri Without Contrast

Magnetic Resonance Imaging (MRI) is a powerful diagnostic tool used to visualize internal body structures with remarkable detail. One of the key variations of this technology is the MRI without contrast. This type of scan is particularly useful in various medical scenarios, offering a non-invasive way to examine the body without the need for contrast agents. Understanding the benefits, limitations, and applications of MRI without contrast can help patients and healthcare providers make informed decisions about diagnostic imaging.

Understanding MRI Without Contrast

An MRI without contrast uses magnetic fields and radio waves to produce detailed images of the body's internal structures. Unlike contrast-enhanced MRI, which involves the injection of a contrast agent to highlight specific areas, MRI without contrast relies solely on the natural differences in water content and tissue composition to generate images. This makes it a safer option for patients who may have allergies or other contraindications to contrast agents.

Benefits of MRI Without Contrast

There are several advantages to using MRI without contrast:

  • Safety: Since no contrast agents are used, there is no risk of allergic reactions or kidney damage, making it a safer option for patients with certain medical conditions.
  • Cost-Effective: MRI without contrast is generally less expensive than contrast-enhanced MRI because it does not require the additional cost of contrast agents.
  • Quick and Convenient: The procedure is typically faster and more convenient for patients, as there is no need for the preparation and administration of contrast agents.
  • Versatile: MRI without contrast can be used to diagnose a wide range of conditions, including musculoskeletal issues, brain abnormalities, and spinal disorders.

Applications of MRI Without Contrast

MRI without contrast is widely used in various medical fields. Some of the most common applications include:

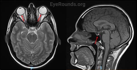
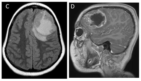
  • Neurological Imaging: It is used to detect brain tumors, strokes, and other neurological conditions. The detailed images help neurologists identify abnormalities and plan treatment strategies.
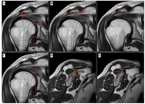
  • Musculoskeletal Imaging: Orthopedic surgeons and rheumatologists use MRI without contrast to evaluate joint injuries, ligament tears, and bone abnormalities. The high-resolution images provide valuable insights into the condition of muscles, tendons, and ligaments.
  • Cardiovascular Imaging: While contrast-enhanced MRI is often preferred for detailed cardiovascular imaging, MRI without contrast can still provide useful information about heart structure and function.
  • Abdominal Imaging: It is used to examine the liver, kidneys, and other abdominal organs for tumors, cysts, and other abnormalities. The detailed images help gastroenterologists and radiologists make accurate diagnoses.

Limitations of MRI Without Contrast

While MRI without contrast offers many benefits, it also has some limitations:

  • Limited Detail: Without contrast agents, the images may not provide as much detail as contrast-enhanced MRI, especially in cases where small lesions or subtle abnormalities need to be detected.
  • Longer Scan Times: In some cases, MRI without contrast may require longer scan times to achieve the desired image quality, which can be uncomfortable for patients.
  • Motion Artifacts: Patients must remain still during the scan to avoid motion artifacts, which can affect the quality of the images. This can be challenging for young children, elderly patients, or those with movement disorders.

Preparing for an MRI Without Contrast

Preparing for an MRI without contrast is generally straightforward. Here are some steps to ensure a smooth and successful procedure:

  • Consult Your Doctor: Discuss any concerns or questions with your healthcare provider before the scan. They can provide specific instructions based on your medical history and the purpose of the MRI.
  • Remove Metal Objects: Remove any metal objects, such as jewelry, watches, and piercings, as they can interfere with the magnetic fields used in the MRI.
  • Wear Comfortable Clothing: Wear loose, comfortable clothing without metal zippers or buttons. You may be asked to change into a hospital gown.
  • Inform the Technician: Let the MRI technician know if you have any implants, such as pacemakers or cochlear implants, as these may affect the scan.

📝 Note: If you are claustrophobic or have difficulty lying still, inform the technician beforehand. They may be able to provide sedation or other accommodations to make the procedure more comfortable.

What to Expect During the Procedure

During an MRI without contrast, you will lie on a table that slides into the MRI machine. The machine produces loud knocking or tapping noises, which are normal and part of the imaging process. You will be given earplugs or headphones to reduce the noise. The entire procedure typically takes 30 to 60 minutes, depending on the area being imaged and the number of images required.

You will need to remain still during the scan to ensure clear and accurate images. The technician will monitor you from an adjacent room and communicate with you through an intercom. If you experience any discomfort or need to stop the scan, let the technician know immediately.

Interpreting MRI Without Contrast Results

After the scan, a radiologist will review the images and prepare a report for your healthcare provider. The results will help diagnose any underlying conditions and guide treatment decisions. It is important to discuss the results with your doctor, who can explain the findings and answer any questions you may have.

In some cases, additional tests or follow-up scans may be recommended to gather more information or monitor the progress of a condition. Your doctor will provide guidance based on the specific findings and your overall health status.

Common Conditions Diagnosed with MRI Without Contrast

MRI without contrast is used to diagnose a wide range of conditions. Some of the most common include:

Condition Description
Brain Tumors Detects abnormalities in the brain, including tumors, cysts, and other lesions.
Spinal Disorders Evaluates the spine for herniated discs, spinal stenosis, and other conditions affecting the spinal cord and nerves.
Joint Injuries Assesses the condition of joints, ligaments, and tendons for injuries such as tears, strains, and fractures.
Liver and Kidney Abnormalities Identifies tumors, cysts, and other abnormalities in the liver and kidneys.
Heart Conditions Provides information about the structure and function of the heart, although contrast-enhanced MRI is often preferred for detailed cardiovascular imaging.

Conclusion

MRI without contrast is a valuable diagnostic tool that offers a safe, cost-effective, and versatile option for imaging various body structures. While it has some limitations compared to contrast-enhanced MRI, it remains an essential part of modern medical diagnostics. Understanding the benefits, applications, and preparation steps for MRI without contrast can help patients and healthcare providers make informed decisions about diagnostic imaging. By working closely with your healthcare provider, you can ensure that you receive the most appropriate and effective care for your specific needs.

Related Terms:

  • mri without contrast vs with
  • mri without contrast osteomyelitis
  • mri with contrast
  • mri without contrast cost
  • mri without contrast cpt
  • mri brain without contrast