Mouth Ulcer In Infants

Mouth Ulcer In Infants

Caring for infants can be both rewarding and challenging, especially when they experience discomfort or illness. One common issue that parents may encounter is mouth ulcer in infants. These ulcers can cause significant distress for the baby and concern for the parents. Understanding the causes, symptoms, and treatments for mouth ulcers in infants is crucial for providing the best care possible.

Understanding Mouth Ulcers in Infants

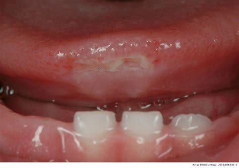
Mouth ulcers, also known as canker sores, are small, painful lesions that develop inside the mouth or at the base of the gums. In infants, these ulcers can appear on the tongue, inside the cheeks, or on the gums. They are typically round or oval with a white or yellow center and a red border. Mouth ulcers in infants can be caused by various factors, including:

  • Teething: The process of teething can cause irritation and inflammation in the mouth, leading to ulcers.
  • Viral Infections: Conditions like hand, foot, and mouth disease (HFMD) can cause mouth ulcers in infants.
  • Bacterial Infections: Certain bacterial infections can also lead to the development of mouth ulcers.
  • Allergic Reactions: Allergies to certain foods or medications can cause mouth ulcers.
  • Trauma: Injuries to the mouth, such as from biting or scratching, can result in ulcers.

Symptoms of Mouth Ulcers in Infants

Recognizing the symptoms of mouth ulcers in infants is essential for prompt treatment. Common symptoms include:

  • Irritability and fussiness, especially during feeding.
  • Drooling more than usual.
  • Refusal to eat or drink, leading to decreased appetite.
  • Visible sores or lesions inside the mouth.
  • Swollen gums or redness in the mouth.

If you notice any of these symptoms, it is important to consult a healthcare provider for a proper diagnosis and treatment plan.

Diagnosing Mouth Ulcers in Infants

Diagnosing mouth ulcers in infants typically involves a physical examination by a healthcare provider. The doctor will inspect the mouth for any visible sores or lesions and may ask about the infant's symptoms and medical history. In some cases, additional tests may be required to determine the underlying cause of the ulcers. These tests can include:

  • Blood tests to check for infections or allergies.
  • Swab tests to identify bacterial or viral infections.
  • Allergy tests to determine if an allergic reaction is the cause.

Based on the findings, the healthcare provider will recommend an appropriate treatment plan.

Treating Mouth Ulcers in Infants

The treatment for mouth ulcers in infants depends on the underlying cause. Common treatment options include:

  • Pain Relief: Over-the-counter pain relievers, such as acetaminophen or ibuprofen, can help alleviate discomfort. Always consult a healthcare provider before giving any medication to an infant.
  • Topical Treatments: Topical anesthetics or numbing agents can be applied to the ulcers to reduce pain. These should be used sparingly and under medical supervision.
  • Antibiotics or Antivirals: If the ulcers are caused by a bacterial or viral infection, antibiotics or antiviral medications may be prescribed.
  • Dietary Changes: Avoiding spicy, acidic, or hard foods can help prevent further irritation. Soft, bland foods and liquids are recommended.
  • Hydration: Ensuring the infant stays hydrated is crucial, especially if they are refusing to eat or drink due to pain.

In some cases, home remedies can also be effective in soothing mouth ulcers. These include:

  • Rinsing the mouth with warm salt water (for older infants who can tolerate it).
  • Applying a small amount of honey to the ulcers (ensure the honey is safe for infants and consult a healthcare provider first).
  • Using a soft-bristled toothbrush or a clean, damp cloth to gently clean the mouth.

📝 Note: Always consult a healthcare provider before trying any home remedies or over-the-counter treatments.

Preventing Mouth Ulcers in Infants

While it may not be possible to prevent all cases of mouth ulcers in infants, there are several steps parents can take to reduce the risk:

  • Maintain Good Oral Hygiene: Gently clean the infant's mouth and gums with a soft cloth or gauze after feedings.
  • Avoid Irritants: Keep the infant away from spicy, acidic, or hard foods that can irritate the mouth.
  • Monitor Teething: Be aware of the teething process and provide appropriate teething toys or remedies to soothe the gums.
  • Avoid Allergens: Identify and avoid any known allergens that may cause mouth ulcers.
  • Regular Check-ups: Schedule regular check-ups with a pediatrician to monitor the infant's oral health.

When to Seek Medical Attention

While mouth ulcers in infants are generally not serious, there are times when medical attention is necessary. Seek immediate medical care if:

  • The ulcers are large, numerous, or spreading rapidly.
  • The infant has a high fever or is showing signs of dehydration.
  • The ulcers are accompanied by severe pain or difficulty swallowing.
  • The infant is not improving with home treatment.

Early intervention can prevent complications and ensure the infant's comfort and well-being.

Common Causes of Mouth Ulcers in Infants

Understanding the common causes of mouth ulcers in infants can help parents take preventive measures and seek appropriate treatment. Some of the most common causes include:

Cause Description Prevention Tips
Teething The process of teething can cause irritation and inflammation in the mouth, leading to ulcers. Provide teething toys or remedies to soothe the gums.
Viral Infections Conditions like hand, foot, and mouth disease (HFMD) can cause mouth ulcers in infants. Practice good hygiene and avoid contact with infected individuals.
Bacterial Infections Certain bacterial infections can also lead to the development of mouth ulcers. Maintain good oral hygiene and seek medical attention if symptoms persist.
Allergic Reactions Allergies to certain foods or medications can cause mouth ulcers. Identify and avoid known allergens.
Trauma Injuries to the mouth, such as from biting or scratching, can result in ulcers. Monitor the infant's activities and provide a safe environment.

Caring for an Infant with Mouth Ulcers

Caring for an infant with mouth ulcers requires patience and attention to detail. Here are some tips to help manage the condition:

  • Offer Soft Foods: Provide soft, bland foods that are easy to swallow and do not irritate the mouth.
  • Use a Soft Toothbrush: Gently clean the infant's mouth with a soft-bristled toothbrush or a clean, damp cloth.
  • Monitor Hydration: Ensure the infant stays hydrated by offering frequent, small amounts of water or breast milk/formula.
  • Provide Comfort: Hold the infant close and offer comfort to help soothe any discomfort or pain.
  • Follow Medical Advice: Adhere to the treatment plan prescribed by the healthcare provider and attend follow-up appointments.

By following these tips, parents can help their infants feel more comfortable and promote healing.

Mouth ulcers in infants can be a challenging condition to manage, but with the right knowledge and care, parents can help their infants feel better and prevent future occurrences. Understanding the causes, symptoms, and treatments for mouth ulcers is essential for providing the best care possible. Regular check-ups with a healthcare provider and maintaining good oral hygiene can also help prevent mouth ulcers and ensure the infant’s overall health and well-being.

Related Terms:

  • baby mouth ulcer home remedies
  • mouth ulcer treatment for baby
  • baby mouth ulcers teething treatment
  • newborn mouth ulcer home remedies
  • toddler mouth ulcer home remedy
  • baby mouth ulcer pain relief