Mouth Roof Yellow

Mouth Roof Yellow

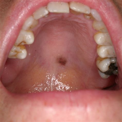
Oral health is a critical aspect of overall well-being, and one of the most common issues people face is a mouth roof yellow or discolored palate. This condition can be caused by various factors, including poor oral hygiene, smoking, certain medications, and even genetic predispositions. Understanding the causes, symptoms, and treatments for a yellow mouth roof is essential for maintaining good oral health.

Understanding the Mouth Roof

The roof of the mouth, also known as the palate, is divided into two parts: the hard palate and the soft palate. The hard palate is the bony front portion, while the soft palate is the muscular back portion. The hard palate is covered by a mucous membrane, which can sometimes become discolored, leading to a mouth roof yellow appearance.

Causes of a Yellow Mouth Roof

A yellow mouth roof can be attributed to several factors. Some of the most common causes include:

  • Poor Oral Hygiene: Inadequate brushing and flossing can lead to the buildup of plaque and bacteria, which can cause discoloration.
  • Smoking: Tobacco use is a significant contributor to oral discoloration, including a yellow mouth roof.
  • Certain Medications: Some medications can cause dry mouth, which in turn can lead to discoloration.
  • Genetic Factors: Some people may be genetically predisposed to having a yellow mouth roof.
  • Diet: Consuming foods and beverages that stain teeth, such as coffee, tea, and red wine, can also affect the color of the mouth roof.

Symptoms of a Yellow Mouth Roof

The primary symptom of a yellow mouth roof is the discoloration itself. However, other symptoms may accompany this condition, including:

  • Bad breath
  • Dry mouth
  • Sores or ulcers on the palate
  • Pain or discomfort in the mouth

Diagnosing a Yellow Mouth Roof

Diagnosing a yellow mouth roof typically involves a thorough examination by a dental professional. The dentist will:

  • Examine the mouth and palate for signs of discoloration and other abnormalities.
  • Ask about your oral hygiene habits, diet, and any medications you are taking.
  • Perform tests to rule out other potential causes, such as infections or oral cancer.

Treatment Options for a Yellow Mouth Roof

Treatment for a yellow mouth roof depends on the underlying cause. Some common treatment options include:

  • Improved Oral Hygiene: Regular brushing and flossing can help remove plaque and bacteria, reducing discoloration.
  • Professional Cleaning: A dental professional can perform a deep cleaning to remove stubborn stains and plaque.
  • Dietary Changes: Avoiding foods and beverages that stain teeth can help prevent further discoloration.
  • Quitting Smoking: Stopping tobacco use can significantly improve oral health and reduce discoloration.
  • Medications: In some cases, medications may be prescribed to treat underlying conditions that contribute to a yellow mouth roof.

Preventing a Yellow Mouth Roof

Preventing a yellow mouth roof involves maintaining good oral hygiene and making healthy lifestyle choices. Here are some tips to help prevent discoloration:

  • Brush your teeth at least twice a day with a fluoride toothpaste.
  • Floss daily to remove plaque and food particles between teeth.
  • Avoid smoking and limit your intake of staining foods and beverages.
  • Visit your dentist regularly for check-ups and cleanings.
  • Stay hydrated to maintain saliva production and prevent dry mouth.

When to See a Dentist

If you notice a yellow mouth roof or any other changes in your oral health, it is important to see a dentist. Early detection and treatment can prevent more serious issues from developing. Some signs that you should see a dentist include:

  • Persistent bad breath
  • Pain or discomfort in the mouth
  • Sores or ulcers that do not heal
  • Changes in the color or texture of the mouth roof

📌 Note: Regular dental check-ups are essential for maintaining good oral health and preventing issues like a yellow mouth roof.

Natural Remedies for a Yellow Mouth Roof

In addition to professional treatments, there are several natural remedies that can help improve the appearance of a yellow mouth roof. Some popular natural remedies include:

  • Baking Soda: Mixing baking soda with water to form a paste can help remove stains and freshen breath.
  • Hydrogen Peroxide: Rinsing with a diluted hydrogen peroxide solution can help whiten teeth and reduce discoloration.
  • Coconut Oil Pulling: Swishing coconut oil in your mouth for a few minutes can help remove bacteria and improve oral health.
  • Lemon Juice: Applying lemon juice to the mouth roof can help lighten discoloration, but it should be used sparingly as it can be acidic.

The Role of Diet in Oral Health

Diet plays a crucial role in maintaining good oral health. Certain foods and beverages can contribute to a yellow mouth roof, while others can help prevent discoloration. Here is a table highlighting some foods and beverages that can affect oral health:

Food/Beverage Effect on Oral Health
Coffee Can stain teeth and contribute to a yellow mouth roof
Tea Can stain teeth and contribute to a yellow mouth roof
Red Wine Can stain teeth and contribute to a yellow mouth roof
Water Helps maintain saliva production and prevent dry mouth
Crunchy Fruits and Vegetables Help remove plaque and stimulate saliva production
Dairy Products Contain calcium and phosphorus, which help strengthen teeth

📌 Note: While natural remedies can be helpful, they should not replace professional dental care. Always consult a dentist for personalized advice.

The Impact of Smoking on Oral Health

Smoking is one of the leading causes of a yellow mouth roof and other oral health issues. The chemicals in tobacco can stain teeth and contribute to discoloration. Additionally, smoking can increase the risk of gum disease, oral cancer, and other serious health problems. Quitting smoking is essential for improving oral health and preventing a yellow mouth roof.

Oral Health and Overall Well-being

Oral health is closely linked to overall well-being. Poor oral health can contribute to a variety of health issues, including heart disease, diabetes, and respiratory infections. Maintaining good oral hygiene and addressing issues like a yellow mouth roof can help improve overall health and quality of life.

Regular dental check-ups, a balanced diet, and good oral hygiene habits are essential for preventing oral health issues and maintaining a healthy mouth roof. By taking proactive steps to care for your oral health, you can enjoy a brighter smile and better overall health.

In summary, a yellow mouth roof can be caused by various factors, including poor oral hygiene, smoking, certain medications, and genetic predispositions. Understanding the causes, symptoms, and treatments for this condition is essential for maintaining good oral health. Regular dental check-ups, a balanced diet, and good oral hygiene habits can help prevent a yellow mouth roof and improve overall well-being.