Mountain Dew Mouth

Mountain Dew Mouth

Dental health is a critical aspect of overall well-being, and one of the lesser-known but significant issues affecting it is what is commonly referred to as Mountain Dew Mouth. This condition, characterized by severe tooth decay and erosion, is often linked to the consumption of sugary and acidic beverages, particularly Mountain Dew. Understanding the causes, symptoms, and preventive measures for Mountain Dew Mouth can help individuals maintain better oral health.

What is Mountain Dew Mouth?

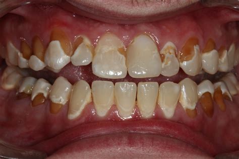
Mountain Dew Mouth is a term used to describe the severe dental erosion and decay that can result from the frequent consumption of sugary and acidic beverages, with Mountain Dew being a prime example. This condition is particularly prevalent among teenagers and young adults who consume large quantities of these drinks. The high sugar content and citric acid in Mountain Dew can erode tooth enamel, leading to cavities, sensitivity, and other dental issues.

Causes of Mountain Dew Mouth

The primary causes of Mountain Dew Mouth are the high sugar and acid content in beverages like Mountain Dew. Here are some key factors that contribute to this condition:

  • Sugar Content: Mountain Dew and similar beverages are loaded with sugar, which feeds the bacteria in the mouth. These bacteria produce acids that attack the tooth enamel, leading to cavities.
  • Acidic Nature: The citric acid in Mountain Dew lowers the pH in the mouth, creating an acidic environment that erodes tooth enamel over time.
  • Frequent Consumption: Regular and frequent consumption of these beverages increases the risk of dental erosion and decay. Sipping on these drinks throughout the day exposes the teeth to a constant bath of sugar and acid.
  • Poor Oral Hygiene: Inadequate brushing and flossing can exacerbate the effects of Mountain Dew Mouth, as plaque and bacteria are not effectively removed from the teeth.

Symptoms of Mountain Dew Mouth

Recognizing the symptoms of Mountain Dew Mouth is crucial for early intervention. Some common signs include:

  • Tooth Sensitivity: Increased sensitivity to hot, cold, or sweet foods and beverages.
  • Tooth Discoloration: Yellowing or browning of the teeth due to enamel erosion.
  • Cavities: Visible holes or pits in the teeth.
  • Tooth Pain: Persistent or intermittent pain in the teeth.
  • Bad Breath: Chronic bad breath due to bacterial buildup.

Preventive Measures

Preventing Mountain Dew Mouth involves a combination of dietary changes and good oral hygiene practices. Here are some effective strategies:

  • Limit Consumption: Reduce the intake of sugary and acidic beverages. Opt for water, milk, or unsweetened tea instead.
  • Use a Straw: When consuming acidic drinks, use a straw to minimize contact with the teeth.
  • Rinse with Water: After drinking acidic beverages, rinse your mouth with water to neutralize the acids.
  • Maintain Good Oral Hygiene: Brush your teeth at least twice a day and floss daily to remove plaque and bacteria.
  • Regular Dental Check-ups: Visit your dentist regularly for professional cleanings and check-ups.
  • Use Fluoride Toothpaste: Fluoride helps strengthen tooth enamel and protect against decay.

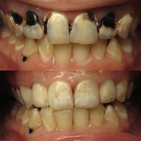
Treatment Options

If you already have symptoms of Mountain Dew Mouth, it's important to seek professional dental care. Treatment options may include:

  • Fluoride Treatments: Professional fluoride applications can help remineralize and strengthen tooth enamel.
  • Dental Fillings: Fillings can repair cavities and prevent further decay.
  • Crowns or Veneers: In severe cases, crowns or veneers may be necessary to restore the appearance and function of damaged teeth.
  • Root Canals: If the decay has reached the pulp of the tooth, a root canal may be required to save the tooth.

πŸ’‘ Note: Early detection and treatment of Mountain Dew Mouth can prevent more extensive and costly dental procedures.

The Impact of Diet on Dental Health

Diet plays a significant role in dental health. Consuming a balanced diet rich in vitamins and minerals can help maintain strong teeth and gums. Here are some dietary tips for better oral health:

  • Calcium and Vitamin D: Foods rich in calcium and vitamin D, such as dairy products, leafy greens, and fortified cereals, help strengthen teeth and bones.
  • Vitamin C: Foods high in vitamin C, like citrus fruits, strawberries, and bell peppers, promote gum health.
  • Fiber: Foods high in fiber, such as fruits, vegetables, and whole grains, stimulate saliva production, which helps neutralize acids in the mouth.
  • Water: Drinking plenty of water helps rinse away food particles and bacteria, keeping the mouth clean.

Educational Programs and Awareness

Educational programs and awareness campaigns can play a crucial role in preventing Mountain Dew Mouth. Schools, community centers, and dental clinics can organize workshops and seminars to educate the public about the dangers of sugary and acidic beverages. These programs can include:

  • Interactive Workshops: Hands-on activities and demonstrations to teach proper oral hygiene techniques.
  • Informative Presentations: Lectures and slideshows explaining the causes and effects of Mountain Dew Mouth.
  • Dental Screenings: Free or low-cost dental screenings to identify and treat early signs of dental erosion and decay.
  • Community Outreach: Partnering with local organizations to distribute educational materials and promote oral health awareness.

πŸ’‘ Note: Community involvement and education are key to reducing the prevalence of Mountain Dew Mouth and improving overall dental health.

Case Studies and Success Stories

Real-life examples can provide valuable insights into the prevention and treatment of Mountain Dew Mouth. Here are a few case studies and success stories:

John, a 25-year-old college student, was diagnosed with Mountain Dew Mouth after experiencing severe tooth sensitivity and discoloration. He had been drinking several cans of Mountain Dew daily for years. After consulting with his dentist, John made significant changes to his diet and oral hygiene routine. He switched to water and unsweetened tea, used a straw when drinking acidic beverages, and brushed his teeth twice a day with fluoride toothpaste. Within a few months, John noticed a significant improvement in his dental health, with reduced sensitivity and whiter teeth.

Sarah, a 30-year-old mother, struggled with chronic bad breath and tooth pain. She was surprised to learn that her daily habit of drinking Mountain Dew was the cause of her dental issues. Sarah's dentist recommended a combination of fluoride treatments, dental fillings, and regular check-ups. Sarah also made dietary changes, opting for healthier beverages and snacks. Over time, Sarah's dental health improved, and she was able to maintain a bright, healthy smile.

These case studies highlight the importance of early intervention and lifestyle changes in preventing and treating Mountain Dew Mouth.

Long-Term Effects of Mountain Dew Mouth

If left untreated, Mountain Dew Mouth can have serious long-term effects on dental health. Some of the potential consequences include:

  • Tooth Loss: Severe decay and erosion can lead to tooth loss, requiring dental implants or bridges.
  • Gum Disease: Chronic dental issues can increase the risk of gum disease, which can lead to further tooth loss and other health problems.
  • Increased Dental Costs: More extensive and costly dental procedures may be necessary to restore oral health.
  • Reduced Quality of Life: Dental pain, sensitivity, and discoloration can affect a person's ability to eat, speak, and smile confidently.

Preventing Mountain Dew Mouth through dietary changes and good oral hygiene can help avoid these long-term effects and maintain a healthy, beautiful smile.

Mountain Dew Mouth is a preventable condition that can have serious consequences if left untreated. By understanding the causes, symptoms, and preventive measures, individuals can take proactive steps to protect their dental health. Regular dental check-ups, a balanced diet, and good oral hygiene practices are essential for maintaining strong, healthy teeth and gums. Educating the public about the dangers of sugary and acidic beverages can also help reduce the prevalence of Mountain Dew Mouth and improve overall dental health.

Related Terms:

  • mountain dew mouth dental
  • mountain dew mouth meaning
  • mountain dew mouth teeth
  • mountain dew teeth pictures
  • mountain dew toothpaste
  • mountain dew teeth causes