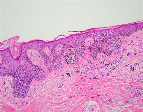
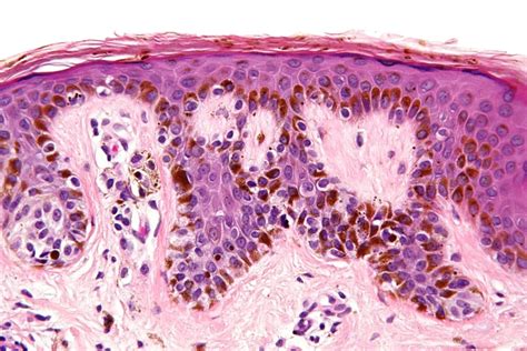
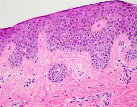
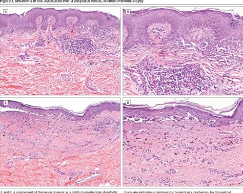
Moderate Dysplasia Nevus

Moderate Dysplasia Nevus

Understanding skin health is crucial for maintaining overall well-being. One condition that often raises concerns is Moderate Dysplasia Nevus. This term refers to a specific type of mole that exhibits moderate levels of dysplasia, a condition where the cells in the mole appear abnormal under microscopic examination. While not all dysplastic nevi are cancerous, they can sometimes develop into melanoma, a serious form of skin cancer. This blog post will delve into the details of Moderate Dysplasia Nevus, its causes, symptoms, diagnosis, and treatment options.

What is Moderate Dysplasia Nevus?

Moderate Dysplasia Nevus is a type of mole that shows moderate levels of cellular abnormality. These moles are often larger than common moles and have irregular borders and varied colors. The term “dysplasia” refers to the abnormal growth of cells, which can be a precursor to cancer. While not all dysplastic nevi progress to melanoma, it is essential to monitor them closely.

Causes of Moderate Dysplasia Nevus

The exact causes of Moderate Dysplasia Nevus are not fully understood, but several factors are believed to contribute to their development:

  • Genetic predisposition: Individuals with a family history of dysplastic nevi or melanoma are at a higher risk.
  • Sun exposure: Prolonged and unprotected exposure to the sun’s UV rays can damage skin cells and lead to the development of dysplastic nevi.
  • Immune system function: A compromised immune system may increase the risk of developing abnormal moles.
  • Age: Dysplastic nevi can appear at any age but are more common in adults.

Symptoms of Moderate Dysplasia Nevus

Identifying the symptoms of Moderate Dysplasia Nevus is crucial for early detection and treatment. Key symptoms include:

  • Size: Dysplastic nevi are often larger than common moles, typically greater than 6 millimeters in diameter.
  • Shape: They have irregular borders that may be notched or scalloped.
  • Color: The color can vary within the same mole, ranging from pink to dark brown.
  • Texture: The surface may be smooth or rough, and the mole may be raised above the skin.

Diagnosis of Moderate Dysplasia Nevus

Diagnosing Moderate Dysplasia Nevus involves a combination of visual examination and biopsy. Here are the steps typically involved:

  • Visual Examination: A dermatologist will examine the mole using a dermatoscope, a magnifying tool that allows for a detailed view of the skin.
  • Biopsy: If the mole appears suspicious, a biopsy may be performed. This involves removing a small sample of the mole for microscopic examination.
  • Histopathology: The biopsy sample is analyzed by a pathologist to determine the level of dysplasia and rule out melanoma.

🔍 Note: Regular skin examinations by a dermatologist are recommended for individuals with a history of dysplastic nevi or a family history of melanoma.

Treatment Options for Moderate Dysplasia Nevus

Treatment for Moderate Dysplasia Nevus depends on the severity of the dysplasia and the risk of progression to melanoma. Common treatment options include:

  • Monitoring: For mild to moderate cases, regular monitoring by a dermatologist may be sufficient. This involves periodic examinations to check for any changes in the mole.
  • Excision: If the mole shows signs of progression or is highly suspicious, surgical excision may be recommended. This involves removing the entire mole and a small margin of surrounding skin.
  • Topical Treatments: In some cases, topical medications may be prescribed to reduce the risk of progression. These treatments are typically used in conjunction with monitoring and excision.

Prevention of Moderate Dysplasia Nevus

While it is not always possible to prevent the development of Moderate Dysplasia Nevus, several measures can reduce the risk:

  • Sun Protection: Use sunscreen with a high SPF, wear protective clothing, and avoid prolonged sun exposure, especially during peak hours.
  • Regular Skin Checks: Conduct regular self-examinations of your skin and schedule annual check-ups with a dermatologist.
  • Avoid Tanning Beds: Artificial tanning methods can increase the risk of skin damage and the development of dysplastic nevi.
  • Healthy Lifestyle: Maintain a balanced diet and exercise regularly to support overall skin health.

Living with Moderate Dysplasia Nevus

Living with Moderate Dysplasia Nevus requires vigilance and regular monitoring. Here are some tips for managing this condition:

  • Regular Check-ups: Schedule regular appointments with your dermatologist to monitor any changes in your moles.
  • Self-Examinations: Perform monthly self-examinations to check for any new or changing moles.
  • Sun Protection: Continue to protect your skin from the sun by using sunscreen, wearing protective clothing, and avoiding peak sun hours.
  • Educate Yourself: Learn about the signs of melanoma and other skin cancers so you can recognize any changes early.

📅 Note: Keep a record of your skin examinations and any changes in your moles to discuss with your dermatologist during your appointments.

Understanding the Risks

It is essential to understand the risks associated with Moderate Dysplasia Nevus. While not all dysplastic nevi progress to melanoma, the risk is higher compared to common moles. Factors that increase the risk include:

  • Family History: A family history of dysplastic nevi or melanoma increases the risk.
  • Multiple Dysplastic Nevi: Individuals with multiple dysplastic nevi are at a higher risk of developing melanoma.
  • Sun Exposure: Prolonged and unprotected sun exposure can increase the risk of progression.

When to Seek Medical Attention

If you notice any changes in your moles, it is crucial to seek medical attention promptly. Signs to look out for include:

  • Changes in Size or Shape: Any sudden growth or change in the shape of a mole.
  • Color Changes: Variations in color within the mole or the appearance of new colors.
  • Itching or Bleeding: Moles that itch, bleed, or become painful.
  • New Moles: The appearance of new moles, especially in adulthood.

🚨 Note: Do not ignore any changes in your moles. Early detection and treatment can significantly improve outcomes.

Support and Resources

Living with Moderate Dysplasia Nevus can be challenging, but there are resources and support available. Consider joining support groups or online communities where you can share experiences and gain insights from others who are going through similar situations. Additionally, educational resources and articles can provide valuable information and guidance.

Support groups and online communities can offer emotional support and practical advice. Engaging with others who have similar experiences can help you feel less alone and provide a sense of community. Educational resources can help you stay informed about the latest research and treatment options, empowering you to make informed decisions about your health.

Frequently Asked Questions

Here are some frequently asked questions about Moderate Dysplasia Nevus:

Question Answer
What is the difference between a common mole and a dysplastic nevus? A common mole is typically small, round, and uniform in color, while a dysplastic nevus is larger, has irregular borders, and varied colors.
Can Moderate Dysplasia Nevus be cured? While Moderate Dysplasia Nevus cannot be “cured,” it can be managed through regular monitoring and, if necessary, excision.
How often should I get a skin check? It is recommended to get a skin check at least once a year, or more frequently if you have a history of dysplastic nevi or melanoma.
What should I do if I notice changes in my moles? If you notice any changes in your moles, schedule an appointment with your dermatologist as soon as possible.

Understanding Moderate Dysplasia Nevus is the first step in managing this condition effectively. By staying informed, maintaining regular check-ups, and taking proactive measures to protect your skin, you can reduce the risks associated with dysplastic nevi and ensure early detection of any potential issues.

In summary, Moderate Dysplasia Nevus is a condition that requires vigilance and regular monitoring. By understanding the causes, symptoms, and treatment options, you can take proactive steps to manage this condition and reduce the risk of progression to melanoma. Regular skin checks, sun protection, and a healthy lifestyle are essential components of managing Moderate Dysplasia Nevus. Stay informed, seek medical attention promptly if you notice any changes, and consider joining support groups for additional guidance and emotional support.

Related Terms:

  • nevus vs neoplasm
  • moderate dysplastic nevus treatment
  • nevus vs melanoma
  • dysplastic nevus vs melanoma
  • clark nevus
  • dysplastic nevus cancer treatment