Mitral Regurgitation Murmur

Mitral Regurgitation Murmur

Mitral regurgitation murmur is a common heart condition that affects millions of people worldwide. It occurs when the mitral valve, which controls blood flow between the left atrium and left ventricle of the heart, does not close properly. This results in blood leaking backward into the left atrium, leading to various symptoms and complications. Understanding mitral regurgitation murmur, its causes, symptoms, diagnosis, and treatment options is crucial for managing this condition effectively.

Understanding Mitral Regurgitation Murmur

Mitral regurgitation murmur is a heart condition characterized by the backflow of blood from the left ventricle into the left atrium due to an improperly functioning mitral valve. The mitral valve consists of two leaflets that open and close to regulate blood flow. When these leaflets do not close tightly, blood leaks backward, causing a murmur—a distinctive sound heard during a heart examination.

The severity of mitral regurgitation murmur can vary widely, ranging from mild to severe. In mild cases, individuals may not experience any symptoms and the condition may go undetected for years. However, severe mitral regurgitation can lead to significant symptoms and complications, including heart failure, atrial fibrillation, and pulmonary hypertension.

Causes of Mitral Regurgitation Murmur

Mitral regurgitation murmur can be caused by various factors, including:

  • Degenerative Changes: Age-related wear and tear on the mitral valve can lead to degeneration and improper functioning.
  • Rheumatic Fever: This inflammatory disease can damage the mitral valve, leading to regurgitation.
  • Infective Endocarditis: Infections of the heart valves can cause damage and regurgitation.
  • Mitral Valve Prolapse: A condition where the mitral valve leaflets bulge (prolapse) into the left atrium during the heart's contraction.
  • Ischemic Heart Disease: Coronary artery disease can weaken the heart muscle, affecting the mitral valve's function.
  • Cardiomyopathy: Diseases of the heart muscle can lead to mitral regurgitation.
  • Trauma: Injury to the chest or heart can damage the mitral valve.

Symptoms of Mitral Regurgitation Murmur

The symptoms of mitral regurgitation murmur can vary depending on the severity of the condition. In mild cases, individuals may not experience any symptoms. However, as the condition progresses, the following symptoms may develop:

  • Shortness of Breath: Especially during physical activity or when lying flat.
  • Fatigue: Feeling tired or weak, even with minimal exertion.
  • Swelling: In the legs, ankles, or feet due to fluid retention.
  • Rapid or Irregular Heartbeat: Palpitations or arrhythmias.
  • Cough: Often productive, especially at night.
  • Chest Pain: Discomfort or pressure in the chest.

If you experience any of these symptoms, it is important to consult a healthcare provider for a thorough evaluation.

Diagnosing Mitral Regurgitation Murmur

Diagnosing mitral regurgitation murmur involves a combination of medical history, physical examination, and diagnostic tests. The diagnostic process typically includes the following steps:

  • Medical History: Your healthcare provider will ask about your symptoms, medical history, and any family history of heart disease.
  • Physical Examination: During the exam, your doctor will listen to your heart using a stethoscope to detect the characteristic murmur.
  • Electrocardiogram (ECG): This test records the electrical activity of your heart and can detect abnormalities in heart rhythm.
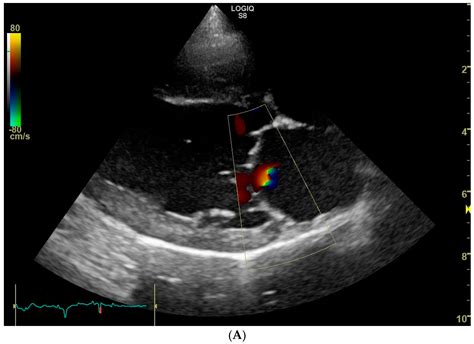
  • Echocardiogram: This is the primary diagnostic tool for mitral regurgitation. It uses ultrasound waves to create images of the heart and assess the structure and function of the mitral valve.
  • Chest X-ray: This can show the size of the heart and the presence of fluid in the lungs.
  • Cardiac Catheterization: In some cases, a catheter may be inserted into the heart to measure pressures and assess the severity of regurgitation.

These diagnostic tests help healthcare providers determine the severity of mitral regurgitation murmur and develop an appropriate treatment plan.

Treatment Options for Mitral Regurgitation Murmur

The treatment of mitral regurgitation murmur depends on the severity of the condition, the underlying cause, and the presence of symptoms. Treatment options range from lifestyle modifications to surgical interventions. Here are the main treatment approaches:

Lifestyle Modifications

For mild cases of mitral regurgitation murmur, lifestyle modifications may be sufficient to manage symptoms and prevent progression. These modifications include:

  • Healthy Diet: Eating a balanced diet low in sodium and saturated fats.
  • Regular Exercise: Engaging in regular physical activity to maintain cardiovascular health.
  • Weight Management: Maintaining a healthy weight to reduce strain on the heart.
  • Avoiding Alcohol and Tobacco: Limiting or avoiding alcohol and tobacco use to improve overall heart health.

Medications

Medications may be prescribed to manage symptoms and prevent complications. Common medications include:

  • Diuretics: To reduce fluid retention and swelling.
  • ACE Inhibitors or ARBs: To lower blood pressure and reduce the workload on the heart.
  • Beta-Blockers: To slow the heart rate and improve heart function.
  • Anticoagulants: To prevent blood clots, especially in patients with atrial fibrillation.

Surgical Interventions

In severe cases of mitral regurgitation murmur, surgical intervention may be necessary. The most common surgical procedures include:

  • Mitral Valve Repair: This procedure involves repairing the damaged mitral valve to restore its function. It is often preferred over replacement because it preserves the native valve.
  • Mitral Valve Replacement: In cases where repair is not possible, the damaged valve is replaced with an artificial valve. This can be done using open-heart surgery or minimally invasive techniques.

Your healthcare provider will discuss the best treatment option based on your individual needs and the severity of your condition.

📝 Note: The choice of treatment depends on various factors, including the underlying cause of mitral regurgitation, the severity of symptoms, and the patient's overall health. Regular follow-ups with a healthcare provider are essential to monitor the condition and adjust treatment as needed.

Living with Mitral Regurgitation Murmur

Living with mitral regurgitation murmur requires ongoing management and regular monitoring. Here are some tips to help you manage the condition effectively:

  • Regular Check-ups: Schedule regular appointments with your healthcare provider to monitor your heart function and adjust treatment as needed.
  • Medication Adherence: Take your medications as prescribed to manage symptoms and prevent complications.
  • Healthy Lifestyle: Maintain a healthy diet, engage in regular exercise, and avoid alcohol and tobacco.
  • Educate Yourself: Learn about mitral regurgitation murmur and its management to better understand your condition and make informed decisions.
  • Support Network: Connect with support groups or online communities to share experiences and gain insights from others living with the condition.

By following these tips and working closely with your healthcare provider, you can effectively manage mitral regurgitation murmur and improve your quality of life.

Mitral regurgitation murmur is a complex condition that requires careful management and regular monitoring. Understanding the causes, symptoms, diagnosis, and treatment options is essential for effectively managing this condition. By working closely with healthcare providers and adopting a healthy lifestyle, individuals with mitral regurgitation murmur can lead fulfilling lives and minimize the risk of complications.

Related Terms:

  • mitral regurgitation treatment
  • aortic regurgitation murmur
  • mitral stenosis
  • mitral stenosis murmur
  • mitral regurgitation murmur holosystolic
  • aortic stenosis murmur