Midline Shifting Brain

Midline Shifting Brain

Understanding the complexities of the human brain is a fascinating journey that often leads to intriguing discoveries. One such phenomenon that has garnered significant attention in the medical and scientific communities is the concept of a Midline Shifting Brain. This condition, while not as widely known as some other neurological disorders, has profound implications for those who experience it. This blog post delves into the intricacies of a Midline Shifting Brain, exploring its causes, symptoms, diagnostic methods, and treatment options.

What is a Midline Shifting Brain?

A Midline Shifting Brain refers to a condition where the brain shifts from its normal position within the skull. This shift can occur due to various factors, including trauma, tumors, or other underlying medical conditions. The midline of the brain is a critical area that includes structures like the corpus callosum, which connects the left and right hemispheres. When this midline shifts, it can disrupt the normal functioning of the brain, leading to a range of symptoms.

Causes of Midline Shifting Brain

The causes of a Midline Shifting Brain can be diverse and complex. Some of the most common causes include:

  • Traumatic Brain Injury (TBI): A severe blow to the head can cause the brain to shift within the skull, leading to midline displacement.
  • Brain Tumors: Tumors can exert pressure on the brain, causing it to shift from its normal position.
  • Hydrocephalus: This condition involves the buildup of cerebrospinal fluid (CSF) in the brain, which can cause the brain to shift.
  • Stroke: A stroke can lead to swelling and pressure within the brain, resulting in midline displacement.
  • Infections: Certain infections, such as meningitis or encephalitis, can cause inflammation and swelling, leading to a Midline Shifting Brain.

Symptoms of Midline Shifting Brain

The symptoms of a Midline Shifting Brain can vary widely depending on the severity and location of the shift. Some common symptoms include:

  • Headache: Persistent and severe headaches are often the first sign of a midline shift.
  • Nausea and Vomiting: These symptoms can accompany the headache and may be persistent.
  • Confusion and Disorientation: Patients may experience difficulty thinking clearly or remembering things.
  • Seizures: In some cases, seizures can occur due to the disruption in brain function.
  • Vision Problems: Blurred vision, double vision, or loss of vision can be symptoms of a midline shift.
  • Weakness or Paralysis: Depending on the area of the brain affected, patients may experience weakness or paralysis on one side of the body.
  • Changes in Behavior: Mood swings, irritability, and other behavioral changes can occur.

Diagnostic Methods for Midline Shifting Brain

Diagnosing a Midline Shifting Brain involves a combination of clinical evaluation and imaging studies. The diagnostic process typically includes:

  • Medical History and Physical Examination: A thorough medical history and physical examination can provide initial clues about the cause of the symptoms.
  • Neurological Examination: This involves assessing the patient’s neurological function, including reflexes, coordination, and sensory perception.
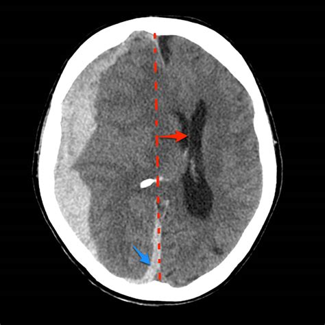
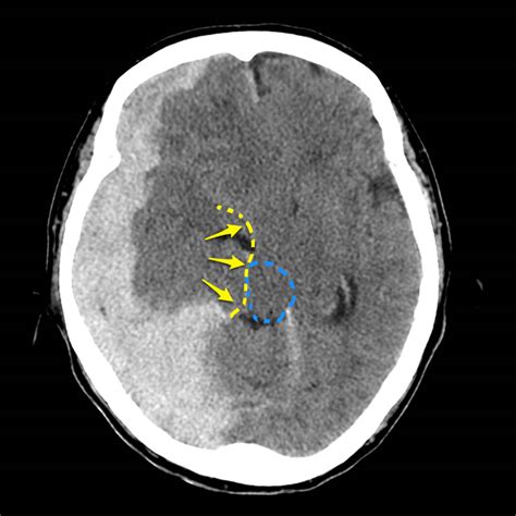
  • Imaging Studies: Imaging techniques such as CT scans and MRI are crucial for visualizing the brain and detecting any shifts or abnormalities. These tests can provide detailed images of the brain’s structure and help identify the cause of the midline shift.

Treatment Options for Midline Shifting Brain

The treatment for a Midline Shifting Brain depends on the underlying cause and the severity of the symptoms. Treatment options may include:

  • Medications: Medications such as anti-inflammatory drugs, anticonvulsants, and pain relievers may be prescribed to manage symptoms.
  • Surgery: In cases where the midline shift is caused by a tumor or hydrocephalus, surgery may be necessary to remove the tumor or drain the excess fluid.
  • Physical Therapy: Physical therapy can help patients regain strength and mobility, especially if they have experienced weakness or paralysis.
  • Rehabilitation: Cognitive and behavioral rehabilitation programs can help patients recover from the cognitive and emotional effects of a midline shift.

Prognosis and Long-Term Management

The prognosis for a Midline Shifting Brain varies depending on the underlying cause and the extent of the damage. Early diagnosis and treatment are crucial for improving outcomes. Long-term management may involve ongoing medical care, rehabilitation, and lifestyle modifications to help patients cope with any residual symptoms.

In some cases, patients may experience a full recovery, while others may have long-term disabilities. Regular follow-up appointments with healthcare providers are essential to monitor progress and adjust treatment plans as needed.

📝 Note: It is important for patients and their families to stay informed about the condition and work closely with healthcare providers to ensure the best possible outcomes.

Prevention Strategies

While not all cases of a Midline Shifting Brain can be prevented, there are steps that can be taken to reduce the risk of certain causes. These include:

  • Wearing Seatbelts and Helmets: Using seatbelts in vehicles and wearing helmets during activities like cycling or skiing can help prevent traumatic brain injuries.
  • Regular Health Check-ups: Regular medical check-ups can help detect conditions like tumors or infections early, allowing for prompt treatment.
  • Healthy Lifestyle: Maintaining a healthy lifestyle, including a balanced diet and regular exercise, can help reduce the risk of conditions like stroke and hydrocephalus.

Support and Resources

Living with a Midline Shifting Brain can be challenging, but there are resources and support systems available to help patients and their families. These include:

  • Support Groups: Joining support groups can provide emotional support and practical advice from others who have experienced similar conditions.
  • Educational Resources: There are numerous educational resources available online and in print that can help patients and their families understand the condition and its treatment options.
  • Professional Counseling: Professional counseling can help patients and their families cope with the emotional and psychological effects of the condition.

In addition to these resources, healthcare providers can offer guidance and support tailored to the individual needs of each patient.

In conclusion, a Midline Shifting Brain is a complex condition that requires careful diagnosis and treatment. Understanding the causes, symptoms, and treatment options can help patients and their families navigate this challenging condition. Early intervention and ongoing support are key to improving outcomes and enhancing the quality of life for those affected by a midline shifting brain.

Related Terms:

  • can a midline shift survive
  • midline brain shift prognosis
  • midline shift symptoms
  • midline shift brain treatment
  • midline shift after head trauma
  • brain midline shift symptoms