Mega Cisterna Magna

Mega Cisterna Magna

Embarking on a journey to understand the intricacies of the human body often leads us to fascinating structures that play crucial roles in our physiology. One such structure is the Mega Cisterna Magna, a term that might not be familiar to many but holds significant importance in medical and anatomical studies. This blog post delves into the details of the Mega Cisterna Magna, its functions, and its relevance in various medical contexts.

Understanding the Mega Cisterna Magna

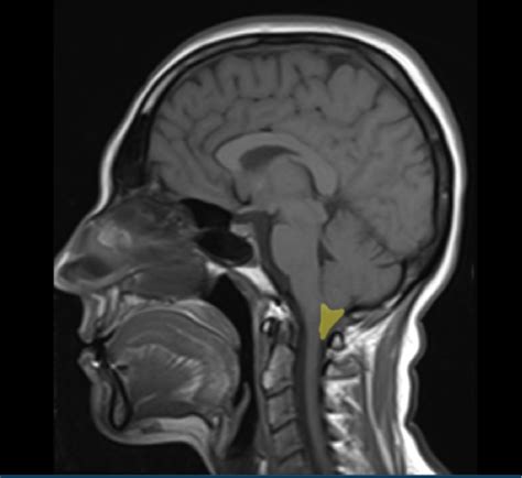
The Mega Cisterna Magna is a term used to describe an enlarged or dilated cisterna magna, a natural cavity in the brain filled with cerebrospinal fluid (CSF). The cisterna magna is a part of the subarachnoid space and is located at the base of the brain, between the cerebellum and the medulla oblongata. In normal conditions, it serves as a reservoir for CSF, which cushions the brain and spinal cord, providing mechanical protection and facilitating the exchange of nutrients and waste products.

Anatomical Location and Structure

The cisterna magna is situated in the posterior cranial fossa, a depression at the base of the skull. It is bounded by several important structures, including:

  • The cerebellum, which is the part of the brain responsible for coordination and balance.
  • The medulla oblongata, which controls vital functions such as breathing and heart rate.
  • The tentorium cerebelli, a fold of dura mater that separates the cerebellum from the occipital lobes of the brain.

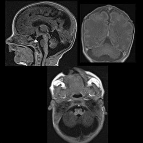
In the case of a Mega Cisterna Magna, this space is enlarged, which can be due to various reasons, including congenital anomalies, hydrocephalus, or other neurological conditions. The enlargement can be detected through imaging techniques such as magnetic resonance imaging (MRI) or computed tomography (CT) scans.

Causes of Mega Cisterna Magna

The enlargement of the cisterna magna can be attributed to several factors. Some of the common causes include:

  • Congenital Anomalies: These are conditions present at birth that affect the development of the brain and spinal cord. Examples include Chiari malformations, where the cerebellum and brainstem protrude into the spinal canal.
  • Hydrocephalus: This is a condition characterized by the accumulation of excess CSF in the brain, leading to increased intracranial pressure. Hydrocephalus can be congenital or acquired and can cause the cisterna magna to enlarge.
  • Neurological Conditions: Certain neurological disorders, such as brain tumors or infections, can lead to the enlargement of the cisterna magna. These conditions can disrupt the normal flow of CSF, causing it to accumulate in the cisterna magna.

Diagnosis and Imaging Techniques

Diagnosing a Mega Cisterna Magna involves a combination of clinical evaluation and imaging studies. The most commonly used imaging techniques include:

  • Magnetic Resonance Imaging (MRI): MRI provides detailed images of the brain and spinal cord, allowing for the visualization of the cisterna magna and any associated abnormalities. It is particularly useful in detecting congenital anomalies and neurological conditions.
  • Computed Tomography (CT) Scans: CT scans use X-rays to create cross-sectional images of the brain. While not as detailed as MRI, CT scans can still provide valuable information about the size and shape of the cisterna magna.
  • Ultrasound: In infants, ultrasound can be used to visualize the brain and detect abnormalities in the cisterna magna. This non-invasive technique is particularly useful in neonates and young children.

Clinical Significance and Management

The clinical significance of a Mega Cisterna Magna depends on the underlying cause and the extent of the enlargement. In some cases, it may be an incidental finding with no clinical significance. However, in other cases, it can be associated with neurological symptoms and require medical intervention. Management strategies may include:

  • Observation: If the enlargement is not causing any symptoms, a watchful waiting approach may be adopted. Regular follow-up imaging studies can monitor any changes in the size of the cisterna magna.
  • Medical Treatment: For conditions such as hydrocephalus, medical treatment may involve the use of medications to reduce CSF production or improve its absorption. In some cases, surgical intervention may be necessary to place a shunt to drain excess CSF.
  • Surgical Intervention: In cases of congenital anomalies or neurological conditions, surgical intervention may be required to correct the underlying abnormality. This can involve procedures such as craniectomy or decompression surgery.

Case Studies and Examples

To better understand the clinical implications of a Mega Cisterna Magna, let's consider a few case studies:

Case Study 1: A 3-month-old infant presented with symptoms of increased intracranial pressure, including vomiting, irritability, and a bulging fontanelle. An MRI scan revealed an enlarged cisterna magna, and further investigation diagnosed hydrocephalus. The infant underwent surgical placement of a ventriculoperitoneal shunt, which successfully relieved the symptoms.

Case Study 2: A 45-year-old patient with a history of headaches and dizziness underwent an MRI scan, which revealed an enlarged cisterna magna. Further evaluation showed a Chiari malformation, where the cerebellum and brainstem were protruding into the spinal canal. The patient underwent decompression surgery, which improved the symptoms.

Case Study 3: A 60-year-old patient with a history of brain tumors presented with symptoms of increased intracranial pressure. An MRI scan revealed an enlarged cisterna magna, and further investigation showed a recurrence of the tumor. The patient underwent surgical resection of the tumor, followed by radiation therapy.

Future Directions in Research

The study of the Mega Cisterna Magna and its associated conditions is an active area of research. Future directions in this field may include:

  • Advanced Imaging Techniques: The development of more advanced imaging techniques, such as functional MRI and diffusion tensor imaging, can provide deeper insights into the structure and function of the cisterna magna.
  • Genetic Studies: Genetic studies can help identify the underlying genetic factors that contribute to the development of congenital anomalies and neurological conditions associated with an enlarged cisterna magna.
  • Novel Therapeutic Approaches: The development of novel therapeutic approaches, such as gene therapy and stem cell therapy, can offer new treatment options for patients with conditions associated with a Mega Cisterna Magna.

📝 Note: The information provided in this blog post is for educational purposes only and should not be used as a substitute for professional medical advice. Always consult a healthcare provider for any medical concerns.

In conclusion, the Mega Cisterna Magna is a fascinating and clinically significant structure in the human brain. Its enlargement can be associated with various congenital anomalies, neurological conditions, and hydrocephalus. Understanding the causes, diagnosis, and management of a Mega Cisterna Magna is crucial for healthcare providers and researchers alike. Through continued research and advancements in medical technology, we can hope to improve the diagnosis and treatment of conditions associated with an enlarged cisterna magna, ultimately enhancing the quality of life for affected individuals.