Malt Associated Lymphoid Tissue

Malt Associated Lymphoid Tissue

Malt Associated Lymphoid Tissue (MALT) lymphoma is a type of non-Hodgkin lymphoma that develops in the mucosal lining of various organs, particularly the stomach, lungs, and salivary glands. This rare form of cancer originates from marginal zone B cells, which are a type of immune cell found in the lymphoid tissue associated with mucosal surfaces. Understanding MALT lymphoma is crucial for early detection, effective treatment, and improved patient outcomes.

Understanding MALT Lymphoma

MALT lymphoma is characterized by the slow and indolent growth of cancer cells, making it different from more aggressive forms of lymphoma. The disease often presents with localized symptoms, depending on the affected organ. For instance, gastric MALT lymphoma may cause abdominal pain, bloating, and nausea, while pulmonary MALT lymphoma can lead to coughing, shortness of breath, and chest pain.

One of the key features of MALT lymphoma is its association with chronic inflammation and infection. In the case of gastric MALT lymphoma, the presence of Helicobacter pylori infection is a significant risk factor. This bacterium causes chronic gastritis, which can lead to the development of MALT lymphoma. Similarly, other infections and autoimmune conditions can contribute to the development of MALT lymphoma in different organs.

Diagnosis of MALT Lymphoma

Diagnosing MALT lymphoma involves a combination of clinical evaluation, imaging studies, and histopathological examination. The diagnostic process typically includes the following steps:

  • Clinical Evaluation: A thorough medical history and physical examination help identify symptoms and risk factors associated with MALT lymphoma.
  • Imaging Studies: Imaging techniques such as computed tomography (CT) scans, magnetic resonance imaging (MRI), and positron emission tomography (PET) scans are used to visualize the affected organs and detect any abnormalities.
  • Endoscopy and Biopsy: For gastric MALT lymphoma, an upper endoscopy is performed to examine the stomach lining and obtain tissue samples for biopsy. Similarly, bronchoscopy or other endoscopic procedures may be used to biopsy affected tissues in the lungs or other organs.
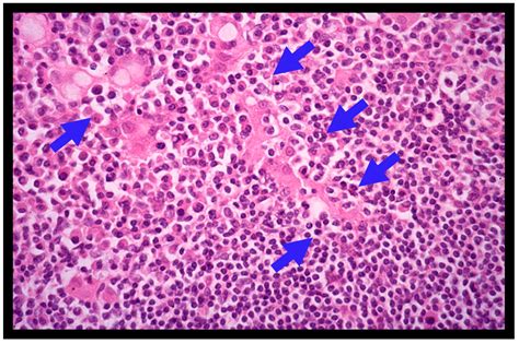
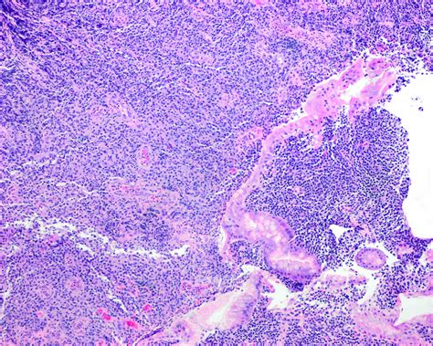
  • Histopathological Examination: The biopsy samples are examined under a microscope to confirm the presence of MALT lymphoma cells. Immunohistochemical staining and molecular tests may also be performed to further characterize the cancer cells.

🔍 Note: Early and accurate diagnosis is crucial for effective management of MALT lymphoma. Patients with suspected MALT lymphoma should consult with a hematologist or oncologist experienced in the diagnosis and treatment of this disease.

Treatment Options for MALT Lymphoma

The treatment of MALT lymphoma depends on various factors, including the stage of the disease, the affected organ, and the patient's overall health. The primary goal of treatment is to achieve remission and improve the quality of life. The following treatment options are commonly used:

  • Antibiotic Therapy: For gastric MALT lymphoma associated with Helicobacter pylori infection, antibiotic therapy is often the first line of treatment. Eradication of the infection can lead to the regression of lymphoma in many cases.
  • Radiation Therapy: Localized radiation therapy is effective for treating MALT lymphoma in the stomach, lungs, and other organs. It delivers high-energy radiation to the affected area, targeting cancer cells while minimizing damage to surrounding tissues.
  • Immunotherapy: Immunotherapy involves the use of monoclonal antibodies, such as rituximab, to target specific proteins on the surface of lymphoma cells. This treatment enhances the immune system's ability to recognize and destroy cancer cells.
  • Chemotherapy: Systemic chemotherapy may be used for more advanced or aggressive cases of MALT lymphoma. Chemotherapy drugs are administered to kill cancer cells throughout the body, but they can also affect healthy cells, leading to side effects.
  • Surgery: In some cases, surgical resection may be performed to remove the affected tissue, particularly in localized MALT lymphoma of the salivary glands or other accessible organs.

Treatment decisions are made on a case-by-case basis, considering the individual patient's needs and preferences. A multidisciplinary approach involving hematologists, oncologists, radiologists, and other specialists is essential for optimal management of MALT lymphoma.

Prognosis and Follow-Up

The prognosis for patients with MALT lymphoma is generally favorable, especially when the disease is diagnosed and treated at an early stage. The five-year survival rate for localized MALT lymphoma is high, often exceeding 90%. However, the prognosis can vary depending on the stage of the disease, the affected organ, and the patient's overall health.

Regular follow-up is crucial for monitoring the response to treatment and detecting any recurrence or progression of the disease. Follow-up visits typically include:

  • Clinical Evaluation: Regular check-ups to assess symptoms and overall health.
  • Imaging Studies: Periodic imaging tests to monitor the affected organs and detect any changes.
  • Blood Tests: Laboratory tests to evaluate blood cell counts and other markers of disease activity.
  • Endoscopy and Biopsy: Repeat endoscopic procedures and biopsies may be necessary to confirm remission or detect recurrence.

Patients should maintain open communication with their healthcare team and report any new symptoms or concerns promptly. Early intervention can significantly improve outcomes and quality of life.

Living with MALT Lymphoma

Living with MALT lymphoma can be challenging, but with the right support and management strategies, patients can maintain a good quality of life. Here are some tips for coping with the disease:

  • Educate Yourself: Learn about MALT lymphoma, its treatment options, and potential side effects. Knowledge empowers patients to make informed decisions and actively participate in their care.
  • Seek Support: Join support groups or connect with other patients who have experienced MALT lymphoma. Sharing experiences and gaining insights from others can provide emotional support and practical advice.
  • Maintain a Healthy Lifestyle: Adopt a balanced diet, engage in regular physical activity, and prioritize mental health. A healthy lifestyle can enhance overall well-being and improve the body's ability to cope with treatment.
  • Communicate with Your Healthcare Team: Regularly discuss your concerns and questions with your healthcare providers. Open communication ensures that you receive the best possible care and support.

Living with MALT lymphoma requires a proactive approach to managing the disease and its impact on daily life. By staying informed, seeking support, and maintaining a healthy lifestyle, patients can navigate the challenges of MALT lymphoma more effectively.

MALT lymphoma is a complex and multifaceted disease that requires a comprehensive understanding of its causes, diagnosis, treatment, and management. Early detection, accurate diagnosis, and appropriate treatment are essential for achieving favorable outcomes. Patients with MALT lymphoma should work closely with their healthcare team to develop a personalized treatment plan and maintain regular follow-up to monitor their health. By staying informed and proactive, patients can effectively manage MALT lymphoma and improve their quality of life.

Related Terms:

  • what organs make up malt
  • where is malt located
  • what is malt anatomy
  • malt tissue examples
  • malt meaning anatomy
  • malt anatomy and physiology