Malaria Blood Smear

Malaria Blood Smear

Malaria is a life-threatening disease caused by parasites that are transmitted to people through the bites of infected female Anopheles mosquitoes. Early and accurate diagnosis is crucial for effective treatment and control of malaria. One of the most reliable methods for diagnosing malaria is through a Malaria Blood Smear. This diagnostic technique involves examining a drop of blood under a microscope to detect the presence of malaria parasites.

Understanding Malaria Blood Smear

A Malaria Blood Smear is a microscopic examination of a blood sample to identify malaria parasites. This method is considered the gold standard for malaria diagnosis due to its high sensitivity and specificity. The process involves preparing a thin and thick blood smear on a glass slide, staining the smear with specific dyes, and examining it under a microscope.

Preparing a Malaria Blood Smear

Preparing a Malaria Blood Smear involves several steps, each of which is crucial for accurate diagnosis. Here is a detailed guide on how to prepare a malaria blood smear:

Materials Needed

  • Glass slides
  • Cover slips
  • Microscope
  • Staining reagents (e.g., Giemsa stain)
  • Lancet or needle for blood collection
  • Alcohol or disinfectant
  • Distilled water
  • Pipette

Steps to Prepare a Malaria Blood Smear

1. Collect Blood Sample: Use a lancet or needle to collect a drop of blood from the patient's finger or earlobe. Ensure the area is clean and disinfected to prevent contamination.

2. Prepare Thin Smear: Place a drop of blood on one end of a clean glass slide. Use another slide to spread the blood drop evenly across the slide, creating a thin layer. The smear should be about the size of a postage stamp and thin enough to see the slide's surface through the blood.

3. Prepare Thick Smear: For the thick smear, place a larger drop of blood on another slide and spread it over a larger area. This smear should be thicker and more concentrated than the thin smear.

4. Air Dry the Smears: Allow both the thin and thick smears to air dry completely. This step is crucial to prevent the smears from washing off during staining.

5. Fix the Thin Smear: Dip the thin smear slide in methanol or a methanol-based fixative for about 30 seconds to fix the blood cells. This step helps to preserve the morphology of the blood cells and parasites.

6. Stain the Smears: Stain both the thin and thick smears with Giemsa stain. Dip the slides in the stain for about 30 minutes. Rinse the slides with distilled water to remove excess stain.

7. Examine Under Microscope: Place the stained slides under a microscope and examine them for the presence of malaria parasites. The thin smear is used to identify the species of malaria parasite, while the thick smear is used to detect the presence of parasites.

🔍 Note: Proper staining and drying are essential for accurate diagnosis. Ensure that the smears are completely dry before staining and that the staining process is followed precisely.

Interpreting Malaria Blood Smear Results

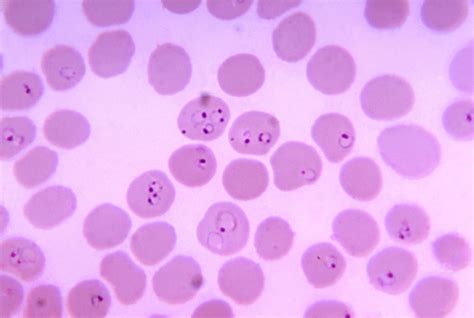
Interpreting the results of a Malaria Blood Smear requires a trained eye and knowledge of the different species of malaria parasites. The most common species are Plasmodium falciparum, Plasmodium vivax, Plasmodium ovale, Plasmodium malariae, and Plasmodium knowlesi. Each species has distinct morphological characteristics that can be identified under the microscope.

Here is a brief overview of the key features of each species:

Species Key Features
Plasmodium falciparum Ring forms with fine cytoplasm, often seen in pairs or groups. No schizonts in peripheral blood.
Plasmodium vivax Large amoeboid trophozoites, often with fine stippling. Schizonts with 12-24 merozoites.
Plasmodium ovale Oval-shaped trophozoites and schizonts. Schizonts with 8-12 merozoites.
Plasmodium malariae Small ring forms with thick cytoplasm. Band forms and schizonts with 6-12 merozoites.
Plasmodium knowlesi Similar to Plasmodium malariae but with larger ring forms and more merozoites in schizonts.

In addition to identifying the species, the Malaria Blood Smear can also provide information on the parasite density, which is the number of parasites per microliter of blood. This information is crucial for monitoring the effectiveness of treatment and for epidemiological studies.

Challenges and Limitations of Malaria Blood Smear

While the Malaria Blood Smear is a highly reliable method for diagnosing malaria, it also has several challenges and limitations:

  • Time-Consuming: Preparing and examining a blood smear can be time-consuming, especially in areas with limited resources.
  • Requires Expertise: Accurate interpretation of the results requires trained personnel, which may not be available in all settings.
  • Low Sensitivity in Low Parasitemia: The sensitivity of the Malaria Blood Smear decreases in cases of low parasitemia, where the number of parasites in the blood is very low.
  • False Negatives: There is a risk of false negatives, especially if the smear is not prepared or stained correctly.

Despite these challenges, the Malaria Blood Smear remains a valuable tool for malaria diagnosis, particularly in areas where other diagnostic methods may not be available.

🔍 Note: In areas with limited resources, rapid diagnostic tests (RDTs) can be used as an alternative to Malaria Blood Smear. However, RDTs may not be as accurate as blood smears and should be used in conjunction with clinical symptoms and other diagnostic methods.

Advancements in Malaria Diagnosis

Recent advancements in technology have led to the development of new diagnostic methods that complement or even replace the traditional Malaria Blood Smear. These methods include:

  • Rapid Diagnostic Tests (RDTs): RDTs are easy-to-use, cost-effective, and provide results within minutes. They detect malaria antigens in the blood and are particularly useful in areas with limited laboratory facilities.
  • Polymerase Chain Reaction (PCR): PCR is a highly sensitive and specific method for detecting malaria parasites. It amplifies the DNA of the parasites and can detect very low levels of parasitemia. However, it requires specialized equipment and trained personnel.
  • Loop-Mediated Isothermal Amplification (LAMP): LAMP is a rapid and sensitive method for detecting malaria parasites. It amplifies the DNA of the parasites at a constant temperature and can provide results within an hour. It is particularly useful in field settings where laboratory facilities are limited.

While these new methods offer several advantages, the Malaria Blood Smear remains an essential tool for malaria diagnosis, especially in areas where other diagnostic methods may not be available.

In conclusion, the Malaria Blood Smear is a crucial diagnostic tool for malaria, providing accurate and reliable results. Its preparation and interpretation require careful attention to detail and trained personnel. While it has some limitations, the Malaria Blood Smear remains a valuable method for diagnosing malaria, particularly in areas with limited resources. Recent advancements in diagnostic technology offer complementary methods that can enhance the accuracy and efficiency of malaria diagnosis. However, the Malaria Blood Smear will continue to play a vital role in the fight against malaria, ensuring early and accurate diagnosis for effective treatment and control.

Related Terms:

  • thick and thin smear malaria
  • blood smear for malaria parasite
  • malaria test kit positive
  • malaria blood smear findings
  • malaria test blood smear
  • microscopic identification of malaria parasites