Lung Embolism X Ray

Lung Embolism X Ray

Lung embolism is a serious medical condition that occurs when a blood clot, fat, air, or other substances block the pulmonary arteries, which carry blood from the heart to the lungs. This blockage can lead to severe complications, including shortness of breath, chest pain, and even death if not treated promptly. One of the critical diagnostic tools used to identify a lung embolism is the Lung Embolism X Ray. This imaging technique plays a pivotal role in the early detection and management of this life-threatening condition.

Understanding Lung Embolism

Lung embolism, also known as pulmonary embolism, is a condition where a blockage in the pulmonary arteries prevents blood from reaching the lungs. The most common cause of a lung embolism is a blood clot that travels from another part of the body, typically the legs, to the lungs. This condition can be life-threatening if not diagnosed and treated quickly.

Symptoms of a lung embolism can vary widely and may include:

  • Shortness of breath
  • Chest pain
  • Rapid heartbeat
  • Coughing up blood
  • Lightheadedness or fainting
  • Excessive sweating

Given the severity of these symptoms, prompt diagnosis is crucial. The Lung Embolism X Ray is one of the primary diagnostic tools used to identify this condition.

The Role of X-Ray in Diagnosing Lung Embolism

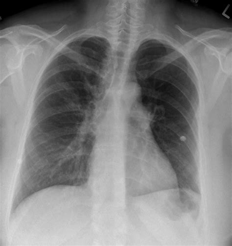
An X-ray is a common imaging technique used to visualize the internal structures of the body. In the context of a lung embolism, a Lung Embolism X Ray can provide valuable information about the condition of the lungs and the presence of any blockages. However, it is important to note that while an X-ray can help rule out other conditions, it is not always sufficient to confirm a lung embolism on its own.

When a lung embolism is suspected, a Lung Embolism X Ray may reveal:

  • Enlarged pulmonary arteries
  • Pleural effusion (fluid around the lungs)
  • Atelectasis (collapse of lung tissue)
  • Pneumonia or other lung infections

However, these findings are not specific to a lung embolism and can be seen in other conditions as well. Therefore, additional diagnostic tests, such as a CT scan or a ventilation/perfusion (V/Q) scan, are often required to confirm the diagnosis.

Diagnostic Process for Lung Embolism

The diagnostic process for a lung embolism typically involves several steps, starting with a thorough medical history and physical examination. If a lung embolism is suspected, the following diagnostic tests may be ordered:

Chest X-Ray

A Lung Embolism X Ray is often the first imaging test performed. It can help rule out other conditions that may cause similar symptoms, such as pneumonia or a collapsed lung. However, as mentioned earlier, a chest X-ray alone is not sufficient to confirm a lung embolism.

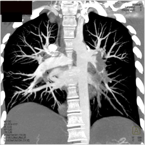
Computed Tomography (CT) Scan

A CT scan provides more detailed images of the lungs and can detect the presence of a blood clot in the pulmonary arteries. This test is often used to confirm a diagnosis of lung embolism. During a CT scan, a contrast dye is injected into a vein, which helps to highlight the blood vessels and make any blockages more visible.

Ventilation/Perfusion (V/Q) Scan

A V/Q scan involves two parts: a ventilation scan, which shows how air moves in and out of the lungs, and a perfusion scan, which shows how blood flows through the lungs. This test can help identify areas of the lung that are not receiving blood flow, which may indicate a lung embolism.

D-Dimer Blood Test

A D-dimer blood test measures the level of a substance called D-dimer in the blood. D-dimer is a protein fragment that is released when a blood clot breaks down. A high level of D-dimer may indicate the presence of a blood clot, but this test is not specific to lung embolism and can be elevated in other conditions as well.

Electrocardiogram (ECG)

An ECG records the electrical activity of the heart and can help detect any abnormalities that may be associated with a lung embolism, such as right ventricular strain.

Treatment Options for Lung Embolism

Once a lung embolism is diagnosed, prompt treatment is essential to prevent complications and improve outcomes. Treatment options may include:

Anticoagulants

Anticoagulants, also known as blood thinners, are medications that prevent blood clots from forming or growing larger. Commonly prescribed anticoagulants include heparin, warfarin, and newer oral anticoagulants such as rivaroxaban and apixaban.

Thrombolytics

Thrombolytics are medications that dissolve blood clots. They are typically used in severe cases of lung embolism where the clot is large and causing significant symptoms. Examples of thrombolytics include alteplase and tenecteplase.

Inferior Vena Cava (IVC) Filter

An IVC filter is a small device that is placed in the inferior vena cava, the large vein that carries blood from the lower body to the heart. The filter traps blood clots and prevents them from traveling to the lungs. This procedure is typically reserved for patients who cannot take anticoagulants or who have recurrent blood clots despite anticoagulant therapy.

Surgery

In rare cases, surgery may be required to remove a large blood clot from the pulmonary arteries. This procedure, known as pulmonary embolectomy, is typically performed in patients with massive pulmonary embolism who are not responding to other treatments.

Prevention of Lung Embolism

Preventing lung embolism involves addressing the underlying risk factors and taking appropriate measures to reduce the likelihood of blood clots forming. Some key preventive strategies include:

  • Mobility: Regular movement and avoiding prolonged periods of immobility can help prevent blood clots from forming in the legs.
  • Hydration: Staying hydrated can help maintain proper blood flow and reduce the risk of blood clots.
  • Compression Stockings: Wearing compression stockings can help improve blood flow in the legs and reduce the risk of blood clots.
  • Medications: In some cases, medications such as anticoagulants may be prescribed to prevent blood clots, especially in patients at high risk, such as those undergoing surgery or with a history of blood clots.

It is also important to be aware of the symptoms of a lung embolism and seek medical attention promptly if any symptoms develop.

Risk Factors for Lung Embolism

Several factors can increase the risk of developing a lung embolism. Understanding these risk factors can help in early identification and prevention. Some of the common risk factors include:

  • Prolonged Immobility: Being bedridden or sitting for long periods, such as during a long flight or after surgery, can increase the risk of blood clots forming in the legs.
  • Surgery: Certain types of surgery, particularly those involving the hips, knees, or pelvis, can increase the risk of blood clots.
  • Cancer: Some types of cancer and certain cancer treatments can increase the risk of blood clots.
  • Pregnancy: Pregnancy and the postpartum period can increase the risk of blood clots due to changes in hormone levels and blood flow.
  • Oral Contraceptives: The use of birth control pills that contain estrogen can increase the risk of blood clots.
  • Family History: A family history of blood clots or clotting disorders can increase the risk of developing a lung embolism.
  • Obesity: Being overweight or obese can increase the risk of blood clots.
  • Smoking: Smoking can damage the blood vessels and increase the risk of blood clots.

If you have any of these risk factors, it is important to discuss them with your healthcare provider and take appropriate preventive measures.

When to Seek Medical Attention

Lung embolism is a medical emergency that requires immediate attention. If you or someone else experiences any of the following symptoms, seek medical help right away:

  • Sudden shortness of breath
  • Chest pain that worsens with deep breathing or coughing
  • Rapid heartbeat
  • Coughing up blood
  • Lightheadedness or fainting
  • Excessive sweating

Prompt diagnosis and treatment can significantly improve outcomes and reduce the risk of complications.

📌 Note: If you suspect a lung embolism, do not wait for symptoms to worsen. Seek immediate medical attention to ensure prompt diagnosis and treatment.

Living with Lung Embolism

After a diagnosis of lung embolism, ongoing management and follow-up care are essential to prevent recurrence and manage any long-term effects. This may include:

  • Medication Management: Continuing anticoagulant therapy as prescribed by your healthcare provider to prevent future blood clots.
  • Lifestyle Changes: Making lifestyle changes such as maintaining a healthy weight, staying active, and avoiding smoking to reduce the risk of future blood clots.
  • Regular Follow-Up: Attending regular follow-up appointments with your healthcare provider to monitor your condition and adjust treatment as needed.
  • Education: Learning about lung embolism and its risk factors to better manage your health and prevent recurrence.

Living with lung embolism requires ongoing vigilance and a commitment to preventive measures. By working closely with your healthcare provider and making necessary lifestyle changes, you can reduce the risk of recurrence and improve your overall health.

Lung embolism is a serious condition that requires prompt diagnosis and treatment. The Lung Embolism X Ray plays a crucial role in the diagnostic process, helping to identify the condition and rule out other potential causes of symptoms. Understanding the symptoms, risk factors, and preventive measures can help in early identification and management of this life-threatening condition. By seeking immediate medical attention and following appropriate treatment and preventive strategies, individuals can improve their outcomes and reduce the risk of complications.