Liver Abscess Disease

Liver Abscess Disease

Liver abscess disease is a serious medical condition that requires prompt diagnosis and treatment. It occurs when a pocket of pus forms in the liver, often as a result of an infection. This condition can be life-threatening if not addressed promptly, making it crucial for individuals to understand its causes, symptoms, and treatment options.

Understanding Liver Abscess Disease

Liver abscess disease, also known as pyogenic liver abscess, is a collection of pus in the liver tissue. This condition can be caused by various factors, including bacterial infections, parasitic infections, and complications from other medical conditions. Understanding the underlying causes and risk factors is essential for effective prevention and management.

Causes of Liver Abscess Disease

Several factors can contribute to the development of liver abscess disease. Some of the most common causes include:

  • Bacterial Infections: Bacteria such as Escherichia coli, Klebsiella pneumoniae, and Streptococcus species are frequently implicated in liver abscesses. These infections can spread to the liver from other parts of the body, such as the appendix, gallbladder, or intestines.
  • Parasitic Infections: Parasites like Entamoeba histolytica can cause amoebic liver abscesses, which are more common in tropical regions.
  • Complications from Medical Procedures: Certain medical procedures, such as liver biopsies or surgeries, can introduce bacteria into the liver, leading to an abscess.
  • Underlying Medical Conditions: Conditions like diverticulitis, inflammatory bowel disease, and malignancies can increase the risk of developing a liver abscess.

Symptoms of Liver Abscess Disease

The symptoms of liver abscess disease can vary depending on the severity and underlying cause of the infection. Common symptoms include:

  • Fever and Chills: Persistent fever and chills are often the first signs of a liver abscess.
  • Abdominal Pain: Pain in the upper right abdomen, where the liver is located, is a common symptom.
  • Nausea and Vomiting: Some individuals may experience nausea and vomiting.
  • Jaundice: Yellowing of the skin and eyes can occur due to the liver's impaired function.
  • Fatigue and Weakness: General feelings of fatigue and weakness are also common.

In severe cases, liver abscess disease can lead to complications such as sepsis, organ failure, and even death. Therefore, it is crucial to seek medical attention if any of these symptoms are present.

Diagnosing Liver Abscess Disease

Diagnosing liver abscess disease involves a combination of medical history, physical examination, and diagnostic tests. Early and accurate diagnosis is essential for effective treatment and management.

Medical History and Physical Examination

During the initial consultation, the healthcare provider will take a detailed medical history and perform a physical examination. This includes assessing the abdomen for tenderness, swelling, and other signs of infection. The provider may also inquire about recent medical procedures, travel history, and any underlying medical conditions.

Diagnostic Tests

Several diagnostic tests can help confirm the presence of a liver abscess. These tests include:

  • Blood Tests: Blood tests can detect elevated white blood cell counts, which indicate an infection. They can also identify specific bacteria or parasites causing the abscess.
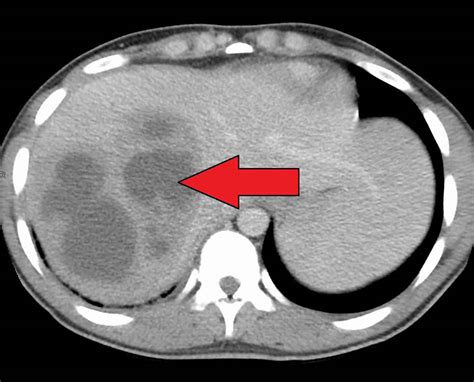
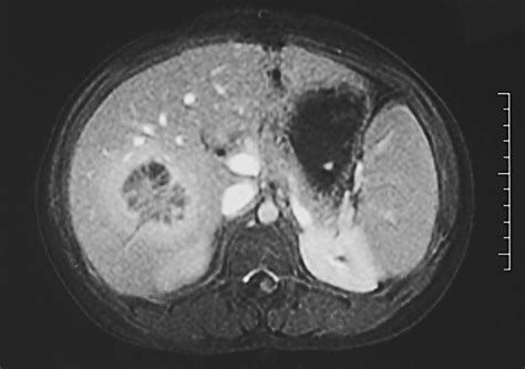
  • Imaging Studies: Imaging techniques such as ultrasound, computed tomography (CT) scan, and magnetic resonance imaging (MRI) can visualize the abscess and determine its size and location.
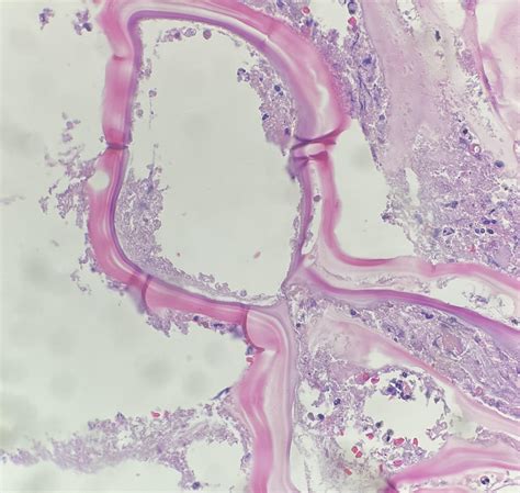
  • Liver Biopsy: In some cases, a liver biopsy may be performed to obtain a sample of the abscess for further analysis.

These diagnostic tests provide valuable information that guides the treatment plan and helps monitor the progress of the condition.

Treating Liver Abscess Disease

Treatment for liver abscess disease typically involves a combination of antibiotics, drainage procedures, and supportive care. The goal is to eliminate the infection, drain the abscess, and prevent complications.

Antibiotic Therapy

Antibiotic therapy is the cornerstone of treatment for liver abscess disease. The choice of antibiotics depends on the type of infection and the patient's overall health. Commonly used antibiotics include:

  • Penicillins: Such as amoxicillin-clavulanate.
  • Cephalosporins: Such as cefotaxime or ceftriaxone.
  • Metronidazole: Often used for amoebic liver abscesses.

Antibiotics are usually administered intravenously initially and then switched to oral medications as the patient improves. The duration of antibiotic therapy can range from several weeks to months, depending on the severity of the infection.

Drainage Procedures

Drainage of the abscess is often necessary to remove the pus and reduce the pressure on the liver. Common drainage procedures include:

  • Percutaneous Drainage: A needle or catheter is inserted through the skin into the abscess to drain the pus. This procedure is often guided by ultrasound or CT scan.
  • Surgical Drainage: In some cases, surgical intervention may be required to drain the abscess, especially if it is large or located in a difficult-to-reach area.

Drainage procedures are typically performed under local or general anesthesia and may require hospitalization.

Supportive Care

Supportive care is essential for managing the symptoms and complications of liver abscess disease. This may include:

  • Hydration: Intravenous fluids to maintain hydration and electrolyte balance.
  • Pain Management: Medications to relieve abdominal pain and discomfort.
  • Nutritional Support: Ensuring adequate nutrition to support the body's healing process.

Supportive care helps improve the patient's overall well-being and enhances the effectiveness of other treatments.

📝 Note: The treatment plan for liver abscess disease should be individualized based on the patient's specific needs and the severity of the infection. Regular follow-up with the healthcare provider is essential to monitor progress and adjust the treatment plan as needed.

Preventing Liver Abscess Disease

Preventing liver abscess disease involves addressing the underlying risk factors and maintaining good overall health. While not all cases can be prevented, certain measures can reduce the risk of developing this condition.

Maintaining Good Hygiene

Good hygiene practices can help prevent infections that may lead to liver abscess disease. This includes:

  • Hand Washing: Regular hand washing with soap and water, especially before eating and after using the restroom.
  • Food Safety: Proper cooking and storage of food to prevent bacterial contamination.
  • Avoiding Contaminated Water: Drinking clean, safe water and avoiding water from unknown sources.

Managing Underlying Medical Conditions

Effective management of underlying medical conditions can reduce the risk of liver abscess disease. This includes:

  • Regular Check-ups: Regular medical check-ups to monitor and manage conditions like diverticulitis and inflammatory bowel disease.
  • Medication Compliance: Taking prescribed medications as directed to control infections and other health issues.
  • Healthy Lifestyle: Maintaining a healthy lifestyle with a balanced diet, regular exercise, and adequate sleep.

Vaccinations

Certain vaccinations can help prevent infections that may lead to liver abscess disease. This includes:

  • Hepatitis Vaccines: Vaccinations for hepatitis A and B can protect against viral infections that affect the liver.
  • Typhoid Vaccine: For individuals traveling to areas with a high risk of typhoid fever, which can cause liver abscesses.

Vaccinations are an important preventive measure, especially for individuals at higher risk of infections.

Living with Liver Abscess Disease

Living with liver abscess disease can be challenging, but with proper management and support, individuals can improve their quality of life and reduce the risk of complications. Understanding the condition and following the treatment plan is crucial for effective management.

Follow-Up Care

Regular follow-up with the healthcare provider is essential for monitoring the progress of liver abscess disease and adjusting the treatment plan as needed. Follow-up care may include:

  • Regular Check-ups: Scheduled appointments to assess the patient's health and response to treatment.
  • Imaging Studies: Periodic imaging studies to monitor the size and location of the abscess.
  • Blood Tests: Regular blood tests to check for signs of infection and liver function.

Lifestyle Modifications

Making lifestyle modifications can help improve overall health and reduce the risk of complications. This includes:

  • Healthy Diet: Consuming a balanced diet rich in fruits, vegetables, and lean proteins.
  • Regular Exercise: Engaging in regular physical activity to maintain overall health and well-being.
  • Avoiding Alcohol: Limiting or avoiding alcohol consumption, as it can further damage the liver.

Lifestyle modifications, along with medical treatment, can significantly improve the outcomes for individuals with liver abscess disease.

Liver abscess disease is a serious medical condition that requires prompt diagnosis and treatment. Understanding the causes, symptoms, and treatment options is essential for effective management and prevention. By maintaining good hygiene, managing underlying medical conditions, and following the treatment plan, individuals can improve their quality of life and reduce the risk of complications. Regular follow-up care and lifestyle modifications are also crucial for long-term management and overall health.

Related Terms:

  • liver abscess in women
  • causes of liver abscess
  • liver abscess in adults
  • abscess of liver symptoms
  • liver abscess treatment prognosis
  • liver abscess prognosis