In the realm of eye health, the concept of a Limbus In Eye is both fascinating and crucial. The limbus, often referred to as the limbal region, is the border between the cornea and the sclera, the white part of the eye. This area plays a pivotal role in maintaining the health and clarity of the eye. Understanding the limbus and its functions can provide valuable insights into overall eye health and the prevention of various ocular conditions.
Understanding the Limbus
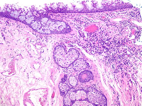
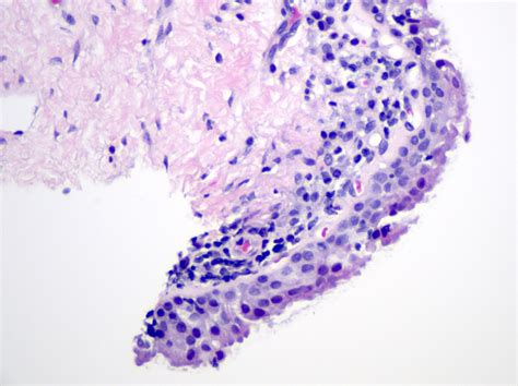
The limbus is a critical structure in the eye, serving as a junction between the transparent cornea and the opaque sclera. It is rich in blood vessels and nerves, which supply the cornea with essential nutrients and oxygen. The limbus is also home to the limbal stem cells, which are responsible for the continuous regeneration of the corneal epithelium. These stem cells are crucial for maintaining the transparency and health of the cornea.
The Role of Limbal Stem Cells
Limbal stem cells are located in the basal layer of the limbal epithelium. These cells have the unique ability to differentiate into various types of corneal epithelial cells, ensuring that the cornea remains clear and free from opacities. The limbus acts as a reservoir for these stem cells, providing a constant supply of new cells to replace those that are lost or damaged. This regenerative capacity is essential for maintaining the integrity of the cornea and preventing conditions such as corneal blindness.
Common Conditions Affecting the Limbus
Several conditions can affect the limbus and compromise its function. Some of the most common include:
- Limbal Stem Cell Deficiency (LSCD): This condition occurs when the limbal stem cells are depleted or damaged, leading to a loss of corneal transparency and vision impairment. LSCD can be caused by various factors, including chemical burns, infections, and genetic disorders.
- Pterygium: A pterygium is a growth of pink, fleshy tissue on the cornea. It often originates from the limbus and can extend onto the cornea, causing irritation, redness, and vision problems.
- Conjunctival Neoplasia: This refers to the abnormal growth of cells in the conjunctiva, which can sometimes involve the limbus. Conjunctival neoplasia can be benign or malignant and may require surgical intervention.
Diagnosing Limbus-Related Conditions
Diagnosing conditions that affect the limbus typically involves a comprehensive eye examination. This may include:
- Slit-Lamp Examination: This procedure uses a specialized microscope to examine the structures of the eye, including the limbus. It allows the ophthalmologist to detect any abnormalities or signs of disease.
- Corneal Staining: Fluorescein or rose bengal stains can be used to highlight areas of corneal damage or inflammation, providing a clearer view of the limbus and surrounding tissues.
- Imaging Techniques: Advanced imaging techniques, such as confocal microscopy and optical coherence tomography (OCT), can provide detailed images of the limbus and help in the diagnosis of various conditions.
Treatment Options for Limbus-Related Conditions
Treatment for conditions affecting the limbus depends on the underlying cause and severity of the condition. Some common treatment options include:
- Medical Therapy: Topical medications, such as lubricating eye drops, anti-inflammatory drugs, and antibiotics, can be used to manage symptoms and prevent infections.
- Surgical Intervention: In cases of severe limbal stem cell deficiency or pterygium, surgical procedures may be necessary. These can include limbal stem cell transplantation, pterygium excision, and conjunctival autografting.
- Amniotic Membrane Transplantation: This procedure involves placing a thin layer of amniotic membrane over the affected area to promote healing and regeneration of the limbal stem cells.
📝 Note: Early detection and treatment of limbus-related conditions are crucial for preventing vision loss and maintaining eye health. Regular eye examinations and prompt medical attention can significantly improve outcomes.
Preventive Measures for Limbus Health
Maintaining the health of the limbus involves several preventive measures. These include:
- Protective Eyewear: Wearing protective eyewear, such as sunglasses with UV protection and safety goggles, can help prevent injuries and exposure to harmful UV rays.
- Avoiding Irritants: Minimizing exposure to irritants, such as chemicals, dust, and smoke, can reduce the risk of limbal inflammation and damage.
- Regular Eye Exams: Regular eye examinations can help detect early signs of limbus-related conditions and allow for timely intervention.
Research and Future Directions
Ongoing research is focused on understanding the mechanisms of limbal stem cell function and regeneration. Advances in stem cell therapy and tissue engineering hold promise for developing new treatments for limbus-related conditions. For example, researchers are exploring the use of induced pluripotent stem cells (iPSCs) to generate limbal stem cells for transplantation. Additionally, the development of bioengineered corneal substitutes and scaffolds may provide alternative treatment options for patients with severe limbal stem cell deficiency.
Clinical trials and studies are also investigating the efficacy of various therapeutic agents, such as growth factors and cytokines, in promoting limbal stem cell proliferation and differentiation. These efforts aim to enhance the regenerative capacity of the limbus and improve outcomes for patients with ocular surface diseases.
Moreover, the integration of advanced imaging techniques and artificial intelligence (AI) in ophthalmology is revolutionizing the diagnosis and management of limbus-related conditions. AI algorithms can analyze complex data from imaging studies to detect subtle changes in the limbus and predict the progression of diseases. This technology has the potential to enhance diagnostic accuracy and guide personalized treatment strategies.
Case Studies and Real-World Applications
To illustrate the impact of limbus-related conditions and their treatment, consider the following case studies:
| Case Study | Condition | Treatment | Outcome |
|---|---|---|---|
| Patient A | Limbal Stem Cell Deficiency due to Chemical Burn | Limbal Stem Cell Transplantation | Significant improvement in corneal clarity and vision |
| Patient B | Pterygium | Pterygium Excision with Conjunctival Autograft | Complete resolution of symptoms and no recurrence |
| Patient C | Conjunctival Neoplasia | Surgical Excision and Adjuvant Therapy | Successful removal of the tumor with no signs of recurrence |
These case studies highlight the importance of early diagnosis and appropriate treatment in managing limbus-related conditions. They also demonstrate the effectiveness of various therapeutic approaches in restoring eye health and improving visual outcomes.
In conclusion, the limbus plays a vital role in maintaining the health and clarity of the eye. Understanding its functions and the conditions that affect it is essential for preventing vision loss and promoting overall eye health. Regular eye examinations, protective measures, and timely intervention can significantly improve outcomes for patients with limbus-related conditions. Ongoing research and advancements in technology continue to enhance our understanding and treatment of these conditions, offering hope for better management and prevention in the future.
Related Terms:
- limbus eye meaning
- limbus of the eye diagram
- superior limbus of eye
- limbus sign eye
- surgical limbus anatomy
- where is the limbus located