Lesser Wing Of Sphenoid

Lesser Wing Of Sphenoid

The lesser wing of sphenoid is a critical anatomical structure that plays a pivotal role in the human skull. This bone, part of the sphenoid bone complex, is situated at the base of the skull and forms part of the orbital walls, contributing to the structure and function of the eye sockets. Understanding the lesser wing of sphenoid is essential for various medical fields, including neurosurgery, ophthalmology, and anatomy. This blog post delves into the anatomy, functions, clinical significance, and related pathologies of the lesser wing of sphenoid.

The Anatomy of the Lesser Wing of Sphenoid

The sphenoid bone is a complex, butterfly-shaped bone located at the base of the skull. It consists of several parts, including the body, greater wings, and lesser wings. The lesser wing of sphenoid is a thin, flat structure that extends laterally from the body of the sphenoid bone. It forms part of the anterior cranial fossa and contributes to the roof of the orbit.

The lesser wing of sphenoid has several important features:

  • Optic Canal: This is a foramen that transmits the optic nerve and ophthalmic artery from the orbit to the cranial cavity.
  • Superior Orbital Fissure: This is a gap between the lesser and greater wings of the sphenoid bone, through which several important structures pass, including the oculomotor, trochlear, abducens, and ophthalmic nerves, as well as the superior and inferior ophthalmic veins.

These structures are crucial for the function of the eye and the surrounding tissues, making the lesser wing of sphenoid a vital component of the skull.

Functions of the Lesser Wing of Sphenoid

The lesser wing of sphenoid serves several important functions:

  • Structural Support: It provides structural support to the orbital walls, helping to maintain the shape and integrity of the eye sockets.
  • Protection of Neural Structures: The optic canal and superior orbital fissure within the lesser wing of sphenoid protect and guide important neural and vascular structures.
  • Attachment Site: It serves as an attachment site for various muscles and ligaments, contributing to the stability and movement of the eye and surrounding structures.

These functions highlight the importance of the lesser wing of sphenoid in maintaining the overall health and function of the eye and surrounding tissues.

Clinical Significance of the Lesser Wing of Sphenoid

The lesser wing of sphenoid is clinically significant due to its proximity to critical neural and vascular structures. Any pathology or injury affecting this region can have serious consequences. Some of the clinical conditions related to the lesser wing of sphenoid include:

Traumatic Injuries

Traumatic injuries to the lesser wing of sphenoid can result from blunt or penetrating trauma to the head. These injuries can cause fractures, which may lead to:

  • Damage to the optic nerve, resulting in vision loss.
  • Injury to the ophthalmic artery, leading to ischemia of the eye.
  • Damage to the cranial nerves passing through the superior orbital fissure, causing various neurological deficits.

Tumors

Tumors in the region of the lesser wing of sphenoid can be benign or malignant. These tumors can compress or invade the optic nerve, cranial nerves, or blood vessels, leading to:

  • Vision loss or changes in vision.
  • Neurological symptoms, such as double vision or facial numbness.
  • Headaches or facial pain.

Inflammatory Conditions

Inflammatory conditions, such as sinusitis or orbital cellulitis, can spread to the lesser wing of sphenoid, causing:

  • Infection or inflammation of the optic nerve (optic neuritis).
  • Inflammation of the cranial nerves passing through the superior orbital fissure (orbital apex syndrome).
  • Severe headaches or facial pain.

Diagnostic Imaging of the Lesser Wing of Sphenoid

Diagnostic imaging plays a crucial role in evaluating the lesser wing of sphenoid and its associated structures. Various imaging modalities can be used, depending on the clinical scenario:

Computed Tomography (CT)

CT scans provide detailed images of the bony structures of the skull, making them ideal for evaluating fractures or bony tumors involving the lesser wing of sphenoid. CT scans can also help identify any displacement or narrowing of the optic canal or superior orbital fissure.

Magnetic Resonance Imaging (MRI)

MRI is particularly useful for evaluating soft tissue structures, such as the optic nerve, cranial nerves, and blood vessels. MRI can help identify tumors, inflammation, or other pathologies affecting the lesser wing of sphenoid and its associated structures.

Angiography

Angiography involves the use of contrast agents to visualize blood vessels. This technique can help identify vascular abnormalities, such as aneurysms or arteriovenous malformations, that may involve the lesser wing of sphenoid.

Treatment of Pathologies Involving the Lesser Wing of Sphenoid

The treatment of pathologies involving the lesser wing of sphenoid depends on the underlying cause and the severity of the symptoms. Some common treatment approaches include:

Surgical Intervention

Surgical intervention may be necessary for traumatic injuries, tumors, or other pathologies affecting the lesser wing of sphenoid. Surgical procedures may include:

  • Craniotomy: A surgical procedure to access the brain and surrounding structures, allowing for the repair of fractures or the removal of tumors.
  • Orbital Decompression: A procedure to relieve pressure on the optic nerve or other structures within the orbit.
  • Endoscopic Surgery: A minimally invasive approach to access and treat pathologies involving the lesser wing of sphenoid.

Medical Management

Medical management may be sufficient for inflammatory conditions or mild symptoms. Treatment options may include:

  • Antibiotics: To treat infections or inflammatory conditions.
  • Corticosteroids: To reduce inflammation and swelling.
  • Pain Management: To alleviate headaches or facial pain.

📌 Note: The choice of treatment depends on the specific pathology and the individual patient's needs. A multidisciplinary approach involving neurosurgeons, ophthalmologists, and other specialists may be necessary for optimal outcomes.

Pathologies Associated with the Lesser Wing of Sphenoid

Several pathologies can affect the lesser wing of sphenoid, each with its own set of symptoms and treatment options. Some of the most common pathologies include:

Optic Nerve Compression

Optic nerve compression can occur due to tumors, inflammation, or other pathologies affecting the optic canal. Symptoms may include:

  • Vision loss or changes in vision.
  • Pain around the eye.
  • Swelling or redness of the eye.

Superior Orbital Fissure Syndrome

Superior orbital fissure syndrome occurs when there is compression or inflammation of the structures passing through the superior orbital fissure. Symptoms may include:

  • Double vision (diplopia).
  • Ptosis (drooping of the eyelid).
  • Proptosis (bulging of the eye).
  • Facial numbness or pain.

Orbital Apex Syndrome

Orbital apex syndrome is a more severe condition that involves compression or inflammation of the structures at the orbital apex, including the optic nerve, oculomotor nerve, and other cranial nerves. Symptoms may include:

  • Vision loss or changes in vision.
  • Double vision.
  • Ptosis.
  • Proptosis.
  • Facial numbness or pain.

Anatomical Variations of the Lesser Wing of Sphenoid

The lesser wing of sphenoid can exhibit anatomical variations, which may have clinical implications. Some of the common variations include:

Optic Canal Dehiscence

Optic canal dehiscence refers to a defect in the bony wall of the optic canal, which can make the optic nerve more susceptible to injury or compression. This variation may be associated with:

  • Increased risk of optic nerve injury during surgery.
  • Higher susceptibility to optic nerve compression from tumors or inflammation.

Superior Orbital Fissure Enlargement

Enlargement of the superior orbital fissure can occur due to congenital or acquired factors. This variation may be associated with:

  • Increased risk of cranial nerve compression or injury.
  • Higher susceptibility to orbital apex syndrome.

Asymmetry of the Lesser Wings

Asymmetry of the lesser wings of sphenoid can occur due to developmental or acquired factors. This variation may be associated with:

  • Unequal distribution of forces within the orbit.
  • Increased risk of orbital fractures or other injuries.

Surgical Approaches to the Lesser Wing of Sphenoid

Surgical approaches to the lesser wing of sphenoid are often necessary for the treatment of various pathologies. The choice of surgical approach depends on the specific pathology and the individual patient's needs. Some of the common surgical approaches include:

Orbitozygomatic Approach

The orbitozygomatic approach involves the removal of the orbital rim and zygomatic bone to access the lesser wing of sphenoid and the surrounding structures. This approach provides excellent exposure and is often used for:

  • Tumors involving the lesser wing of sphenoid.
  • Complex orbital fractures.
  • Vascular abnormalities.

Pterional Approach

The pterional approach involves a frontal-temporal incision to access the lesser wing of sphenoid and the surrounding structures. This approach is often used for:

  • Aneurysms involving the internal carotid artery.
  • Tumors involving the cavernous sinus.
  • Complex skull base fractures.

Endoscopic Endonasal Approach

The endoscopic endonasal approach involves the use of an endoscope to access the lesser wing of sphenoid through the nasal cavity. This minimally invasive approach is often used for:

  • Tumors involving the sphenoid sinus.
  • Cerebrospinal fluid leaks.
  • Inflammatory conditions.

📌 Note: The choice of surgical approach depends on the specific pathology and the individual patient's needs. A multidisciplinary approach involving neurosurgeons, ophthalmologists, and other specialists may be necessary for optimal outcomes.

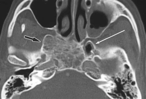
Radiological Anatomy of the Lesser Wing of Sphenoid

Understanding the radiological anatomy of the lesser wing of sphenoid is crucial for accurate diagnosis and treatment planning. The following table summarizes the key radiological features of the lesser wing of sphenoid:

Structure Radiological Features
Optic Canal Bony canal transmitting the optic nerve and ophthalmic artery. Visible on CT and MRI.
Superior Orbital Fissure Gap between the lesser and greater wings of the sphenoid bone. Visible on CT and MRI.
Lesser Wing of Sphenoid Thin, flat structure forming part of the anterior cranial fossa and the roof of the orbit. Visible on CT and MRI.

These radiological features are essential for evaluating the lesser wing of sphenoid and its associated structures in various clinical scenarios.

Case Studies Involving the Lesser Wing of Sphenoid

Case studies provide valuable insights into the clinical significance of the lesser wing of sphenoid. The following case studies illustrate some of the pathologies and treatment approaches related to this structure:

Case Study 1: Optic Nerve Compression

A 45-year-old patient presented with progressive vision loss and pain around the eye. Imaging studies revealed a tumor compressing the optic nerve within the optic canal. The patient underwent surgical resection of the tumor via an orbitozygomatic approach, resulting in improved vision and resolution of symptoms.

Case Study 2: Superior Orbital Fissure Syndrome

A 30-year-old patient presented with double vision, ptosis, and facial numbness. Imaging studies revealed inflammation and compression of the structures passing through the superior orbital fissure. The patient was treated with corticosteroids and antibiotics, resulting in resolution of symptoms.

Case Study 3: Orbital Apex Syndrome

A 55-year-old patient presented with vision loss, double vision, ptosis, and facial pain. Imaging studies revealed a tumor compressing the structures at the orbital apex. The patient underwent surgical resection of the tumor via a pterional approach, resulting in improved vision and resolution of symptoms.

These case studies highlight the importance of accurate diagnosis and timely intervention in managing pathologies involving the lesser wing of sphenoid.

In conclusion, the lesser wing of sphenoid is a critical anatomical structure with significant clinical implications. Understanding its anatomy, functions, and associated pathologies is essential for various medical fields, including neurosurgery, ophthalmology, and anatomy. Diagnostic imaging, surgical approaches, and medical management play crucial roles in evaluating and treating pathologies involving the lesser wing of sphenoid. By recognizing the importance of this structure, healthcare professionals can provide optimal care and improve patient outcomes.

Related Terms:

  • spine of sphenoid bone
  • lesser wing of sphenoid ct
  • sphenoid lesser and greater wing
  • lesser wing of sphenoid bone
  • where is the sphenoid located
  • pterygoid process of sphenoid