Left Ventricular Aneurysm

Left Ventricular Aneurysm

Understanding the complexities of cardiovascular health is crucial for maintaining overall well-being. One condition that often goes unnoticed until it becomes severe is a Left Ventricular Aneurysm. This condition affects the heart's left ventricle, which is responsible for pumping oxygen-rich blood to the rest of the body. A Left Ventricular Aneurysm occurs when a portion of the left ventricle's wall weakens and bulges outward, often as a result of a previous heart attack or other cardiac issues. This bulge can impair the heart's ability to pump blood efficiently, leading to various complications.

What is a Left Ventricular Aneurysm?

A Left Ventricular Aneurysm is a localized dilation of the left ventricle, typically caused by damage to the heart muscle. This damage is often the result of a myocardial infarction, commonly known as a heart attack. During a heart attack, blood flow to a part of the heart is blocked, leading to the death of heart muscle cells. Over time, the weakened area can bulge outward, forming an aneurysm.

Causes of Left Ventricular Aneurysm

The primary cause of a Left Ventricular Aneurysm is a heart attack. Other factors that can contribute to the development of this condition include:

  • Coronary Artery Disease: This condition occurs when the arteries that supply blood to the heart become narrowed or blocked due to the buildup of plaque.
  • Hypertension: High blood pressure can put excessive strain on the heart, leading to muscle damage and the formation of an aneurysm.
  • Cardiomyopathy: This is a disease of the heart muscle that can weaken the ventricle and lead to aneurysm formation.
  • Infections: Certain infections, such as endocarditis, can damage the heart muscle and contribute to aneurysm development.

Symptoms of Left Ventricular Aneurysm

In many cases, a Left Ventricular Aneurysm may not cause any symptoms, especially in its early stages. However, as the condition progresses, individuals may experience a range of symptoms, including:

  • Chest Pain: This can be similar to the pain experienced during a heart attack.
  • Shortness of Breath: Difficulty breathing, especially during physical activity.
  • Fatigue: Persistent tiredness and lack of energy.
  • Palpitations: A sensation of rapid or irregular heartbeat.
  • Swelling: Edema in the legs, ankles, or feet.

Diagnosis of Left Ventricular Aneurysm

Diagnosing a Left Ventricular Aneurysm involves a combination of medical history, physical examination, and various diagnostic tests. Some of the key diagnostic methods include:

  • Electrocardiogram (ECG): This test records the electrical activity of the heart and can detect abnormalities in heart rhythm.
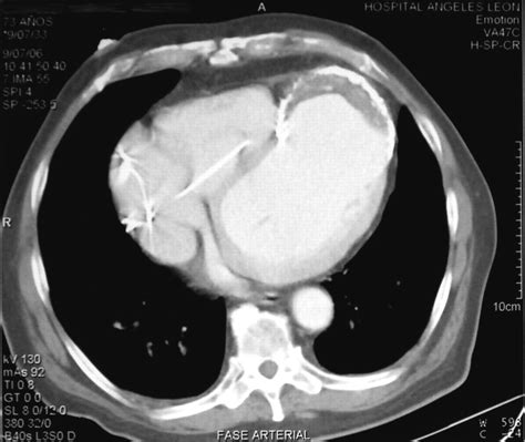
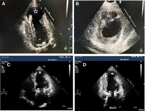
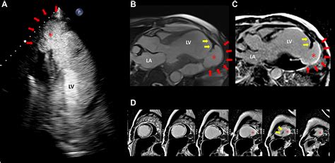
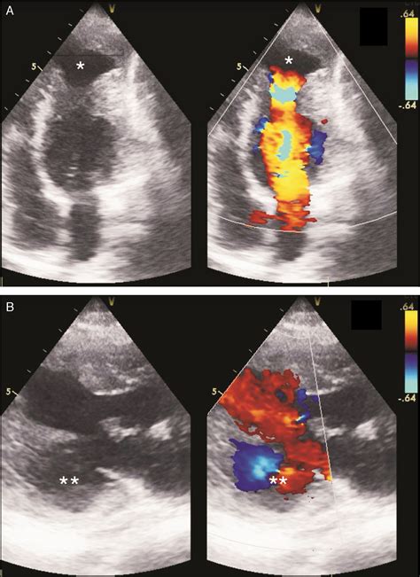
  • Echocardiogram: This uses sound waves to create images of the heart, allowing doctors to visualize the aneurysm and assess its size and location.
  • Cardiac Magnetic Resonance Imaging (MRI): This provides detailed images of the heart and can help in diagnosing and assessing the severity of the aneurysm.
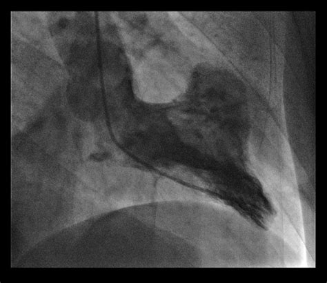
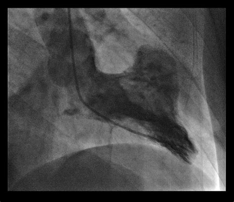
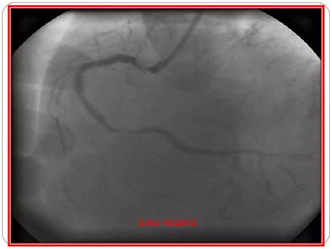
  • Cardiac Catheterization: This invasive procedure involves inserting a catheter into the heart to measure pressure and blood flow, and to visualize the coronary arteries.

Treatment Options for Left Ventricular Aneurysm

The treatment for a Left Ventricular Aneurysm depends on the size, location, and severity of the aneurysm, as well as the patient’s overall health. Treatment options may include:

  • Medications: Drugs such as beta-blockers, ACE inhibitors, and diuretics can help manage symptoms and reduce the risk of complications.
  • Lifestyle Changes: Adopting a heart-healthy diet, regular exercise, and quitting smoking can improve overall cardiovascular health.
  • Surgical Intervention: In severe cases, surgery may be necessary to repair or remove the aneurysm. This can involve:

Ventricular Aneurysmectomy: This procedure involves surgically removing the aneurysm and reconstructing the ventricle.

Coronary Artery Bypass Grafting (CABG): This surgery reroutes blood flow around blocked arteries to improve blood supply to the heart.

Left Ventricular Assist Device (LVAD): In some cases, an LVAD may be used to support heart function while waiting for a heart transplant.

Complications of Left Ventricular Aneurysm

A Left Ventricular Aneurysm can lead to several complications if left untreated. Some of the potential complications include:

  • Heart Failure: The weakened ventricle may not be able to pump blood efficiently, leading to heart failure.
  • Arrhythmias: Abnormal heart rhythms can occur, which can be life-threatening if not treated.
  • Thromboembolism: Blood clots can form in the aneurysm and travel to other parts of the body, causing blockages in blood vessels.
  • Rupture: In severe cases, the aneurysm can rupture, leading to sudden death.

Prevention of Left Ventricular Aneurysm

While not all cases of Left Ventricular Aneurysm can be prevented, there are several steps individuals can take to reduce their risk:

  • Maintain a Healthy Lifestyle: Regular exercise, a balanced diet, and avoiding tobacco can improve overall heart health.
  • Manage Chronic Conditions: Properly managing conditions such as hypertension, diabetes, and high cholesterol can reduce the risk of heart disease.
  • Regular Check-ups: Regular medical check-ups can help detect early signs of heart disease and allow for timely intervention.

Living with Left Ventricular Aneurysm

Living with a Left Ventricular Aneurysm requires ongoing management and monitoring. Patients should work closely with their healthcare providers to develop a treatment plan that includes:

  • Regular Follow-ups: Regular check-ups to monitor the condition and adjust treatment as needed.
  • Medication Management: Taking prescribed medications as directed to manage symptoms and prevent complications.
  • Lifestyle Modifications: Adopting a heart-healthy lifestyle to improve overall cardiovascular health.

📝 Note: It is essential to follow the advice of healthcare professionals and attend all scheduled appointments to ensure the best possible outcomes.

Research and Future Directions

Research into Left Ventricular Aneurysm is ongoing, with scientists and medical professionals working to develop new treatments and improve existing ones. Some areas of focus include:

  • Advanced Imaging Techniques: Developing more accurate and non-invasive imaging methods to detect and monitor aneurysms.
  • Minimally Invasive Procedures: Exploring less invasive surgical options to repair aneurysms and reduce recovery time.
  • Gene Therapy: Investigating the potential of gene therapy to repair damaged heart muscle and prevent aneurysm formation.

In addition to these advancements, ongoing clinical trials and studies are aimed at improving our understanding of the condition and developing more effective treatments. Patients are encouraged to participate in clinical trials when appropriate, as this can contribute to the advancement of medical knowledge and potentially improve outcomes for future patients.

In conclusion, a Left Ventricular Aneurysm is a serious condition that requires careful management and monitoring. Early detection, appropriate treatment, and lifestyle modifications can significantly improve outcomes and quality of life for individuals with this condition. By staying informed and working closely with healthcare providers, patients can effectively manage their condition and reduce the risk of complications. Ongoing research and advancements in medical technology offer hope for even better treatments and outcomes in the future.

Related Terms:

  • left ventricular aneurysm ct
  • left ventricular aneurysm icd 10
  • left ventricular free wall rupture
  • left ventricular aneurysm radiopaedia
  • left ventricular aneurysm vs pseudoaneurysm
  • left ventricular aneurysm repair