Left Sided Cerebrovascular Accident

Left Sided Cerebrovascular Accident

Understanding the complexities of a Left Sided Cerebrovascular Accident (LSCVA) is crucial for healthcare professionals, caregivers, and individuals at risk. This condition, often referred to as a stroke, occurs when blood flow to a part of the brain is interrupted or reduced, preventing brain tissue from getting oxygen and nutrients. This can lead to brain cell death and permanent brain damage. The left side of the brain controls the right side of the body and is responsible for language, speech, and comprehension. Therefore, a LSCVA can have profound effects on a person's ability to communicate and perform daily activities.

Understanding Left Sided Cerebrovascular Accident

A Left Sided Cerebrovascular Accident is a medical emergency that requires immediate attention. It is essential to recognize the signs and symptoms to seek prompt medical intervention. The symptoms can vary depending on the severity and location of the stroke. Common symptoms include:

  • Sudden numbness or weakness of the face, arm, or leg, especially on one side of the body
  • Sudden confusion or trouble speaking or understanding speech
  • Sudden trouble seeing in one or both eyes
  • Sudden trouble walking, dizziness, or loss of balance or coordination
  • Sudden severe headache with no known cause

If you or someone else experiences these symptoms, it is crucial to call emergency services immediately. Early intervention can significantly improve the chances of recovery and reduce the risk of long-term disability.

Causes and Risk Factors

The primary cause of a Left Sided Cerebrovascular Accident is a blockage or rupture of blood vessels in the brain. This can be due to various factors, including:

  • Atherosclerosis: The buildup of plaque in the arteries, which can narrow or block blood flow.
  • Blood Clots: Clots that form in other parts of the body and travel to the brain.
  • High Blood Pressure: Chronic high blood pressure can weaken blood vessels and increase the risk of rupture.
  • Atrial Fibrillation: An irregular heartbeat that can cause blood clots to form and travel to the brain.
  • Diabetes: High blood sugar levels can damage blood vessels and increase the risk of stroke.
  • Smoking: Smoking damages blood vessels and increases the risk of blood clots.
  • High Cholesterol: High levels of cholesterol can lead to the buildup of plaque in the arteries.
  • Obesity: Excess weight can increase the risk of high blood pressure, diabetes, and other conditions that contribute to stroke.

While some risk factors, such as age and family history, cannot be changed, many others can be managed through lifestyle changes and medical interventions.

Diagnosis and Treatment

Diagnosing a Left Sided Cerebrovascular Accident involves a series of tests to determine the type and location of the stroke. Common diagnostic tools include:

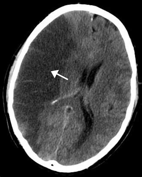
  • CT Scan: A computerized tomography scan to visualize the brain and detect any bleeding or blockages.
  • MRI: Magnetic resonance imaging to provide detailed images of the brain and detect any damage.
  • Angiography: A procedure to visualize the blood vessels in the brain and detect any blockages or narrowing.
  • Blood Tests: To check for underlying conditions such as high blood sugar, high cholesterol, or infection.

Treatment for a Left Sided Cerebrovascular Accident depends on the type and severity of the stroke. Immediate treatment aims to restore blood flow to the brain and prevent further damage. Common treatments include:

  • Thrombolytic Therapy: Medications such as tissue plasminogen activator (tPA) to dissolve blood clots.
  • Endovascular Procedures: Minimally invasive procedures to remove blood clots or repair damaged blood vessels.
  • Surgery: In some cases, surgery may be necessary to remove blood clots or repair damaged blood vessels.

After the initial treatment, rehabilitation focuses on helping the individual regain lost functions and improve quality of life. This may include:

  • Physical Therapy: To improve mobility, strength, and coordination.
  • Occupational Therapy: To help with daily activities and adapt to any physical limitations.
  • Speech Therapy: To improve communication skills and address any language or speech difficulties.
  • Cognitive Therapy: To improve memory, problem-solving, and other cognitive functions.

Rehabilitation is a crucial part of recovery and can significantly improve the individual's ability to perform daily activities and maintain independence.

Long-Term Effects and Management

A Left Sided Cerebrovascular Accident can have long-term effects on an individual's physical, emotional, and cognitive health. Common long-term effects include:

  • Paralysis or Weakness: On one side of the body, often the right side due to the left side of the brain being affected.
  • Speech and Language Difficulties: Aphasia, which affects the ability to speak, understand, read, and write.
  • Cognitive Impairment: Difficulties with memory, attention, and problem-solving.
  • Emotional Changes: Depression, anxiety, and mood swings.
  • Fatigue: Persistent tiredness and lack of energy.

Managing these long-term effects requires a multidisciplinary approach involving healthcare professionals, caregivers, and the individual. Strategies for managing long-term effects include:

  • Regular Medical Check-ups: To monitor health and manage any underlying conditions.
  • Medications: To control blood pressure, cholesterol, and other risk factors.
  • Lifestyle Changes: Adopting a healthy diet, regular exercise, and avoiding smoking and excessive alcohol consumption.
  • Support Groups: Joining support groups for emotional support and practical advice.
  • Assistive Devices: Using devices such as wheelchairs, walkers, or communication aids to improve mobility and communication.

It is essential to work closely with healthcare professionals to develop a personalized management plan that addresses the individual's specific needs and goals.

Prevention Strategies

Preventing a Left Sided Cerebrovascular Accident involves managing risk factors and adopting a healthy lifestyle. Key prevention strategies include:

  • Healthy Diet: Consuming a balanced diet rich in fruits, vegetables, whole grains, and lean proteins.
  • Regular Exercise: Engaging in regular physical activity to maintain a healthy weight and improve cardiovascular health.
  • Blood Pressure Control: Monitoring and managing blood pressure through medication and lifestyle changes.
  • Cholesterol Management: Keeping cholesterol levels within a healthy range through diet, exercise, and medication if necessary.
  • Diabetes Management: Controlling blood sugar levels through diet, exercise, and medication.
  • Smoking Cessation: Quitting smoking to reduce the risk of blood clots and other cardiovascular diseases.
  • Alcohol Moderation: Limiting alcohol consumption to reduce the risk of high blood pressure and other health problems.

Regular medical check-ups and screenings can help detect and manage risk factors early, reducing the likelihood of a Left Sided Cerebrovascular Accident.

Support and Resources

Living with the effects of a Left Sided Cerebrovascular Accident can be challenging, but there are numerous resources and support systems available to help individuals and their families. These include:

  • Healthcare Professionals: Doctors, nurses, therapists, and other healthcare providers who can offer medical care and guidance.
  • Support Groups: Groups for stroke survivors and their families to share experiences, provide emotional support, and offer practical advice.
  • Rehabilitation Centers: Facilities that offer comprehensive rehabilitation services to help individuals regain lost functions and improve quality of life.
  • Online Resources: Websites, forums, and social media groups that provide information, support, and community for stroke survivors and their families.

Accessing these resources can make a significant difference in the recovery process and help individuals and their families cope with the challenges of living with a Left Sided Cerebrovascular Accident.

📝 Note: It is important to consult with healthcare professionals for personalized advice and support tailored to individual needs.

In addition to the resources mentioned above, there are several organizations dedicated to supporting stroke survivors and their families. These organizations often provide educational materials, advocacy, and funding for research into stroke prevention and treatment.

Case Studies and Success Stories

Hearing about the experiences of others who have faced a Left Sided Cerebrovascular Accident can provide hope and inspiration. Here are a few case studies and success stories:

Case Study 1: John's Journey

John, a 55-year-old man, experienced a Left Sided Cerebrovascular Accident while at work. He was rushed to the hospital, where he received immediate treatment with thrombolytic therapy. John's quick response to treatment helped minimize the damage to his brain. After his initial hospitalization, John underwent intensive rehabilitation, including physical therapy, occupational therapy, and speech therapy. With the support of his family and healthcare team, John made significant progress in regaining his mobility and communication skills. Today, John is back at work part-time and continues to improve his abilities through ongoing therapy and lifestyle changes.

Case Study 2: Maria's Recovery

Maria, a 60-year-old woman, suffered a Left Sided Cerebrovascular Accident during a family gathering. She was taken to the hospital, where she underwent an endovascular procedure to remove a blood clot. Maria's recovery was challenging, as she experienced aphasia and right-sided weakness. She participated in a comprehensive rehabilitation program that included physical therapy, occupational therapy, and speech therapy. Maria's determination and the support of her family and friends played a crucial role in her recovery. Today, Maria is able to communicate effectively and has regained much of her mobility. She continues to participate in support groups and enjoys an active lifestyle.

Case Study 3: David's Story

David, a 45-year-old man, had a Left Sided Cerebrovascular Accident while exercising. He was immediately taken to the hospital, where he received thrombolytic therapy. David's quick intervention helped prevent severe damage to his brain. He underwent a rigorous rehabilitation program that included physical therapy, occupational therapy, and cognitive therapy. David's positive attitude and the support of his family and healthcare team were instrumental in his recovery. Today, David is back to his active lifestyle and continues to monitor his health closely to prevent future strokes.

These case studies highlight the importance of early intervention, comprehensive rehabilitation, and a strong support system in the recovery process from a Left Sided Cerebrovascular Accident.

Emergency Response and First Aid

Recognizing the signs of a Left Sided Cerebrovascular Accident and responding quickly can save lives and minimize long-term damage. The acronym FAST is a useful tool for remembering the key signs of a stroke:

  • Face: Ask the person to smile. Does one side of the face droop?
  • Arms: Ask the person to raise both arms. Does one arm drift downward?
  • Speech: Ask the person to repeat a simple phrase. Is their speech slurred or strange?
  • Time: If you observe any of these signs, call emergency services immediately.

While waiting for emergency services, it is essential to keep the person comfortable and monitor their condition. Do not give them anything to eat or drink, as this could complicate treatment. If the person is unconscious, check for breathing and pulse, and be prepared to perform CPR if necessary.

First aid for a Left Sided Cerebrovascular Accident focuses on ensuring the person's safety and comfort until medical help arrives. It is crucial to stay calm and act quickly to provide the best possible outcome.

Impact on Daily Life

A Left Sided Cerebrovascular Accident can significantly impact an individual's daily life, affecting their ability to perform routine tasks, communicate, and maintain independence. The extent of the impact depends on the severity of the stroke and the individual's overall health. Common challenges include:

  • Mobility Issues: Difficulty walking, standing, or performing physical activities.
  • Communication Difficulties: Problems with speaking, understanding, reading, and writing.
  • Cognitive Impairment: Difficulties with memory, attention, and problem-solving.
  • Emotional Changes: Mood swings, depression, and anxiety.
  • Fatigue: Persistent tiredness and lack of energy.

Adapting to these challenges requires a combination of medical interventions, rehabilitation, and lifestyle adjustments. It is essential to work closely with healthcare professionals to develop a personalized plan that addresses the individual's specific needs and goals.

Support from family and friends can also play a crucial role in helping the individual cope with the changes and maintain a positive outlook. Joining support groups and accessing community resources can provide additional emotional support and practical advice.

Future Research and Innovations

Research into Left Sided Cerebrovascular Accident is ongoing, with scientists and healthcare professionals working to improve prevention, treatment, and rehabilitation strategies. Some areas of current research include:

  • New Medications: Developing new drugs to dissolve blood clots and prevent further damage.
  • Advanced Imaging Techniques: Improving diagnostic tools to detect strokes more accurately and quickly.
  • Rehabilitation Technologies: Using technology such as virtual reality and robotics to enhance rehabilitation programs.
  • Genetic Factors: Investigating the role of genetics in stroke risk and developing personalized treatment plans.
  • Lifestyle Interventions: Exploring the impact of diet, exercise, and other lifestyle factors on stroke prevention and recovery.

These advancements hold promise for improving outcomes for individuals affected by a Left Sided Cerebrovascular Accident and enhancing their quality of life.

In addition to medical research, there is a growing focus on community education and awareness campaigns to promote stroke prevention and early intervention. These efforts aim to reduce the incidence of strokes and improve public understanding of the signs and symptoms.

Future research and innovations in the field of stroke care will continue to evolve, driven by the dedication of healthcare professionals, researchers, and advocates committed to improving the lives of those affected by a Left Sided Cerebrovascular Accident.

In conclusion, understanding the complexities of a Left Sided Cerebrovascular Accident is essential for healthcare professionals, caregivers, and individuals at risk. Early recognition, prompt intervention, and comprehensive rehabilitation can significantly improve outcomes and enhance the quality of life for those affected. By adopting a healthy lifestyle, managing risk factors, and accessing available resources, individuals can reduce their risk of stroke and support their recovery journey. The ongoing research and innovations in stroke care offer hope for even better prevention and treatment strategies in the future.

Related Terms:

  • signs of left hemisphere stroke
  • left sided stroke side effects
  • left sided stroke manifestations
  • signs of left sided stroke
  • symptoms of left sided stroke
  • cva with left sided weakness