Left Gastric Artery

Left Gastric Artery

The Left Gastric Artery (LGA) is a crucial blood vessel in the human body, playing a significant role in the vascular supply of the stomach. Understanding its anatomy, function, and clinical significance is essential for medical professionals, particularly those involved in gastrointestinal surgery and interventional radiology. This blog post delves into the intricacies of the Left Gastric Artery, its role in gastric blood supply, and its relevance in various medical procedures.

The Anatomy of the Left Gastric Artery

The Left Gastric Artery originates from the celiac trunk, one of the major branches of the abdominal aorta. It typically arises from the celiac trunk along with the common hepatic artery and the splenic artery. The LGA courses upward and to the left, passing behind the lesser omentum and the peritoneum to reach the lesser curvature of the stomach. It then branches into smaller arteries that supply the lesser curvature of the stomach.

The LGA is a vital component of the gastric blood supply, contributing to the arterial network that ensures the stomach receives adequate oxygen and nutrients. Its branches anastomose with those of the right gastric artery, forming a rich collateral network that helps maintain blood flow even if one of the arteries is compromised.

The Role of the Left Gastric Artery in Gastric Blood Supply

The Left Gastric Artery is one of the primary arteries supplying blood to the stomach. Its branches, along with those of the right gastric artery, left gastroepiploic artery, and right gastroepiploic artery, form a comprehensive vascular network that ensures the stomach's viability. The LGA specifically supplies the lesser curvature of the stomach, which is crucial for the stomach's function and integrity.

The gastric blood supply is essential for the stomach's digestive functions, including the secretion of gastric juices and the breakdown of food. The LGA's role in this process cannot be overstated, as it ensures that the stomach receives the necessary blood flow to perform its functions efficiently.

Clinical Significance of the Left Gastric Artery

The Left Gastric Artery's clinical significance lies in its involvement in various medical procedures and conditions. Understanding its anatomy and function is crucial for surgeons and interventional radiologists who perform procedures on the stomach and surrounding structures.

One of the most common procedures involving the LGA is gastric bypass surgery, a weight loss procedure that involves rerouting the digestive system to bypass a portion of the stomach. During this procedure, the LGA may be ligated or divided to facilitate the creation of the gastric pouch. Proper identification and management of the LGA are essential to prevent complications such as bleeding or ischemia.

Another important clinical scenario involving the LGA is gastric cancer. The LGA and its branches may be involved in the blood supply to gastric tumors, making it a target for interventional radiology procedures such as embolization. Embolization involves blocking the blood supply to a tumor to reduce its size and facilitate surgical resection or other treatments.

Imaging and Diagnostic Techniques

Imaging techniques play a crucial role in visualizing the Left Gastric Artery and assessing its involvement in various conditions. Several imaging modalities can be used to evaluate the LGA, including:

  • Computed Tomography Angiography (CTA): CTA is a non-invasive imaging technique that provides detailed images of the blood vessels, including the LGA. It is often used to assess the vascular anatomy before surgical procedures or to evaluate the blood supply to gastric tumors.
  • Magnetic Resonance Angiography (MRA): MRA is another non-invasive technique that uses magnetic resonance imaging to visualize the blood vessels. It is particularly useful for patients who cannot undergo CTA due to allergies to contrast agents or other contraindications.
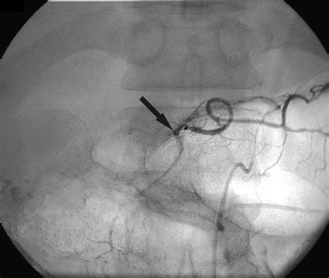
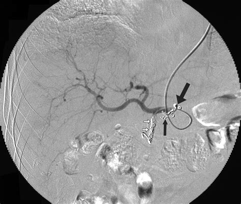
  • Digital Subtraction Angiography (DSA): DSA is an invasive procedure that involves injecting a contrast agent into the blood vessels and using X-ray imaging to visualize the vascular anatomy. It is often used in interventional radiology procedures to guide embolization or other treatments.

These imaging techniques provide valuable information about the LGA's anatomy and function, helping medical professionals plan and execute procedures involving the stomach and surrounding structures.

Surgical Considerations

During surgical procedures involving the stomach, such as gastric bypass or resection for gastric cancer, the Left Gastric Artery is a critical structure that must be carefully managed. Surgeons must be familiar with the LGA's anatomy and its variations to avoid complications such as bleeding or ischemia.

Preoperative imaging, such as CTA or MRA, can help surgeons plan the procedure and identify any anatomical variations of the LGA. During the surgery, careful dissection and ligation of the LGA are essential to prevent complications. Surgeons must also be prepared to manage any unexpected bleeding or other complications that may arise during the procedure.

Postoperative care is also crucial for patients undergoing procedures involving the LGA. Close monitoring for signs of bleeding, ischemia, or other complications is essential to ensure a successful outcome. Patients may require additional imaging or interventions if complications arise.

Interventional Radiology Procedures

Interventional radiology procedures involving the Left Gastric Artery are often used to treat conditions such as gastric cancer or gastrointestinal bleeding. These procedures can be minimally invasive and offer several advantages over traditional surgical approaches.

One of the most common interventional radiology procedures involving the LGA is embolization. Embolization involves blocking the blood supply to a tumor or bleeding site to reduce its size or stop the bleeding. This procedure can be performed using various embolic agents, such as coils, particles, or liquid embolic agents.

Embolization of the LGA is often used in the treatment of gastric cancer to reduce the tumor's blood supply and facilitate surgical resection or other treatments. It can also be used to manage gastrointestinal bleeding, particularly in cases where the bleeding site is difficult to access surgically.

Another interventional radiology procedure involving the LGA is stent placement. Stents are small, mesh-like tubes that can be placed in blood vessels to keep them open and maintain blood flow. Stent placement in the LGA can be used to treat stenosis or occlusion of the artery, which can occur due to various conditions such as atherosclerosis or tumor compression.

These interventional radiology procedures offer several advantages, including minimal invasiveness, shorter recovery times, and reduced risk of complications compared to traditional surgical approaches. However, they also require specialized training and equipment, and not all patients may be suitable candidates for these procedures.

📝 Note: Interventional radiology procedures involving the Left Gastric Artery should be performed by experienced professionals in a well-equipped facility to ensure the best possible outcomes.

Complications and Management

Complications involving the Left Gastric Artery can occur in various clinical scenarios, including surgical procedures, interventional radiology, and underlying medical conditions. Understanding these complications and their management is essential for medical professionals.

One of the most common complications involving the LGA is bleeding. Bleeding can occur during surgical procedures, interventional radiology, or as a result of underlying conditions such as peptic ulcers or gastric cancer. Management of bleeding involving the LGA may include:

  • Surgical ligation: During surgical procedures, the LGA may be ligated to control bleeding. This involves tying off the artery to stop the blood flow.
  • Embolization: Interventional radiology procedures such as embolization can be used to block the blood supply to a bleeding site and control the bleeding.
  • Medical management: In some cases, medical management with medications such as proton pump inhibitors or antacids may be sufficient to control bleeding and promote healing.

Another potential complication involving the LGA is ischemia. Ischemia occurs when the blood supply to an organ or tissue is compromised, leading to tissue damage or death. Ischemia involving the LGA can occur due to various conditions, including atherosclerosis, tumor compression, or surgical ligation. Management of ischemia may include:

  • Revascularization: Procedures such as stent placement or bypass surgery can be used to restore blood flow to the affected area and prevent tissue damage.
  • Medical management: Medications such as vasodilators or antiplatelet agents may be used to improve blood flow and prevent further ischemia.

Proper management of these complications is essential to ensure the best possible outcomes for patients. Medical professionals must be familiar with the various management strategies and be prepared to implement them as needed.

📝 Note: Early recognition and management of complications involving the Left Gastric Artery are crucial for preventing adverse outcomes and ensuring patient safety.

Future Directions in Left Gastric Artery Research

Research on the Left Gastric Artery continues to evolve, with new techniques and technologies emerging to improve our understanding and management of this crucial blood vessel. Some of the future directions in LGA research include:

  • Advanced imaging techniques: New imaging modalities and techniques are being developed to provide more detailed and accurate visualization of the LGA and its branches. These advancements can help improve preoperative planning and intraoperative decision-making.
  • Minimally invasive procedures: The development of new minimally invasive procedures and technologies can help reduce the invasiveness of treatments involving the LGA, leading to shorter recovery times and improved patient outcomes.
  • Personalized medicine: Advances in genomics and other fields are paving the way for personalized medicine approaches to the management of conditions involving the LGA. This can help tailor treatments to individual patients' needs and improve outcomes.

These advancements hold promise for improving the management of conditions involving the Left Gastric Artery and enhancing patient care. Continued research and innovation in this field are essential to achieve these goals.

In conclusion, the Left Gastric Artery plays a crucial role in the vascular supply of the stomach and is involved in various medical procedures and conditions. Understanding its anatomy, function, and clinical significance is essential for medical professionals involved in gastrointestinal surgery and interventional radiology. Advances in imaging techniques, surgical procedures, and interventional radiology offer new opportunities for improving the management of conditions involving the LGA and enhancing patient outcomes. Continued research and innovation in this field are essential to achieve these goals and improve patient care.

Related Terms:

  • left hepatic artery
  • right gastric artery
  • left gastric artery function
  • left gastric vein
  • branches of left gastric artery
  • left gastric artery ultrasound