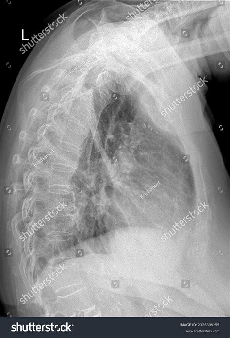
Lateral Chest X Ray

Lateral Chest X Ray

In the realm of medical diagnostics, the Lateral Chest X Ray stands as a crucial tool for evaluating various respiratory and cardiovascular conditions. This imaging technique provides a side view of the chest, offering insights that are not always apparent in standard frontal views. Understanding the significance, procedure, and interpretation of a lateral chest X-ray is essential for healthcare professionals and patients alike.

Understanding the Lateral Chest X Ray

A Lateral Chest X Ray is a radiographic image taken from the side of the body, providing a different perspective compared to the standard anteroposterior (AP) or posteroanterior (PA) views. This lateral view is particularly useful for assessing the depth and position of structures within the chest, such as the heart, lungs, and diaphragm.

Indications for a Lateral Chest X Ray

The Lateral Chest X Ray is often ordered in conjunction with a frontal chest X-ray to provide a more comprehensive evaluation. Some common indications include:

  • Suspected pneumonia or other lung infections
  • Evaluation of lung masses or nodules
  • Assessment of heart size and shape
  • Diagnosis of pleural effusions or pneumothorax
  • Monitoring of chronic lung diseases

Procedure for a Lateral Chest X Ray

The procedure for obtaining a Lateral Chest X Ray is straightforward and typically involves the following steps:

  1. The patient is positioned standing or sitting next to the X-ray machine.
  2. The patient is instructed to take a deep breath and hold it while the X-ray is taken.
  3. The X-ray technician positions the machine to capture a side view of the chest.
  4. The X-ray is taken, and the image is reviewed for clarity and diagnostic quality.

📝 Note: Patients may be asked to remove any jewelry or clothing that could interfere with the X-ray image. Lead aprons are often used to protect sensitive areas from radiation exposure.

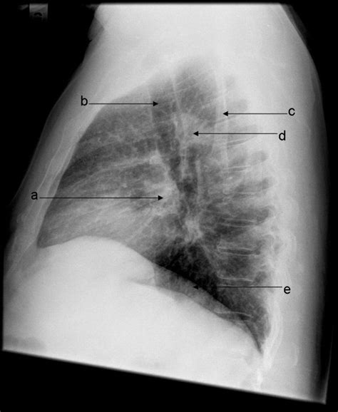
Interpreting a Lateral Chest X Ray

Interpreting a Lateral Chest X Ray requires a trained eye and knowledge of normal anatomy. Key structures to assess include:

  • The heart and its borders
  • The lungs and any visible abnormalities
  • The diaphragm and its position
  • The ribs and spine

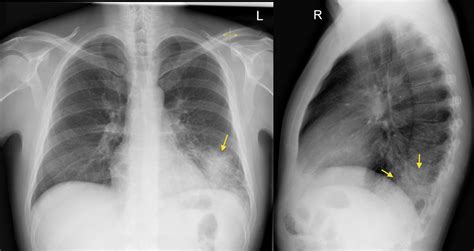
Abnormalities that may be detected on a lateral chest X-ray include:

  • Pneumonia, which may appear as areas of increased opacity in the lungs
  • Pleural effusions, which show up as fluid collections around the lungs
  • Pneumothorax, characterized by the presence of air in the pleural space
  • Lung masses or nodules, which can indicate tumors or other growths

Common Findings on a Lateral Chest X Ray

Some of the most common findings on a Lateral Chest X Ray include:

Finding Description
Pneumonia Increased opacity in the lung tissue, often with air bronchograms
Pleural Effusion Fluid collection in the pleural space, appearing as a white area at the lung base
Pneumothorax Air in the pleural space, causing the lung to collapse partially or completely
Lung Mass A well-defined or ill-defined opacity in the lung parenchyma
Cardiomegaly Enlargement of the heart, which may indicate heart failure or other cardiac conditions

Comparing Lateral and Frontal Chest X Rays

While both Lateral Chest X Ray and frontal chest X-rays provide valuable information, they offer different perspectives. The frontal view is useful for assessing the overall structure and symmetry of the chest, while the lateral view provides depth and positional information. Together, these views offer a more complete picture of the chest's internal structures.

Limitations of a Lateral Chest X Ray

Although the Lateral Chest X Ray is a valuable diagnostic tool, it does have limitations. Some of these include:

  • Limited sensitivity for detecting small or early-stage abnormalities
  • Difficulty in visualizing certain structures due to overlapping tissues
  • Potential for false positives or negatives due to technical factors or patient movement

In some cases, additional imaging studies such as CT scans or MRI may be necessary to provide a more detailed evaluation.

📝 Note: Always consult with a healthcare professional for a thorough interpretation of X-ray results.

Preparing for a Lateral Chest X Ray

Preparation for a Lateral Chest X Ray is minimal. Patients should:

  • Wear comfortable clothing that can be easily removed if necessary
  • Avoid wearing jewelry or metal objects that could interfere with the X-ray
  • Inform the technician of any recent surgeries, implants, or allergies

No special dietary or medication restrictions are typically required for a lateral chest X-ray.

Radiation Exposure and Safety

The radiation exposure from a Lateral Chest X Ray is generally low, but it is still important to minimize unnecessary exposure. The use of lead aprons and proper positioning techniques help to protect sensitive areas from radiation. Pregnant women should inform their healthcare provider before undergoing any X-ray procedure.

While the benefits of a lateral chest X-ray often outweigh the risks, it is essential to follow safety guidelines to ensure the procedure is performed as safely as possible.

In summary, the Lateral Chest X Ray is a vital diagnostic tool that provides a side view of the chest, offering insights that are not always apparent in standard frontal views. Understanding the indications, procedure, and interpretation of a lateral chest X-ray is crucial for healthcare professionals and patients alike. By following proper preparation and safety guidelines, patients can ensure a smooth and informative diagnostic experience.

Related Terms:

  • lateral chest x ray positioning
  • right lateral chest x ray
  • normal lateral chest x ray
  • lateral chest position
  • lateral chest x ray labeled
  • lateral chest x ray diaphragm