Knee Replacement Images

Knee Replacement Images

Knee replacement surgery is a common procedure that can significantly improve the quality of life for individuals suffering from severe knee pain and mobility issues. Understanding the process, benefits, and recovery involved in knee replacement surgery is crucial for anyone considering this procedure. This blog post will delve into the details of knee replacement surgery, including the types of procedures, the importance of knee replacement images, and the recovery process.

Understanding Knee Replacement Surgery

Knee replacement surgery, also known as knee arthroplasty, involves replacing the damaged parts of the knee joint with artificial components. This procedure is typically recommended for individuals with severe arthritis, injury, or other conditions that cause chronic knee pain and limit mobility. The primary goal of knee replacement surgery is to relieve pain, improve function, and enhance the overall quality of life.

Types of Knee Replacement Procedures

There are several types of knee replacement procedures, each designed to address specific conditions and patient needs. The most common types include:

  • Total Knee Replacement (TKR): This procedure involves replacing all three compartments of the knee joint—the medial, lateral, and patellofemoral compartments. It is the most common type of knee replacement surgery.
  • Partial Knee Replacement (PKR): Also known as unicompartmental knee replacement, this procedure replaces only the damaged compartment of the knee joint, preserving the healthy parts. It is suitable for patients with arthritis in only one compartment.
  • Revision Knee Replacement: This procedure is performed to replace a previously implanted knee prosthesis that has failed or worn out. It is more complex than primary knee replacement surgery.

The Role of Knee Replacement Images

Knee replacement images play a crucial role in the diagnosis, planning, and execution of knee replacement surgery. These images provide valuable insights into the condition of the knee joint, helping surgeons to make informed decisions. Here are some key points about the importance of knee replacement images:

  • Diagnostic Tool: Knee replacement images, such as X-rays, MRIs, and CT scans, help diagnose the extent of damage to the knee joint. These images can reveal bone spurs, cartilage loss, and other abnormalities that indicate the need for surgery.
  • Preoperative Planning: Surgeons use knee replacement images to plan the surgical procedure. By studying the images, they can determine the size and type of implants needed, as well as the best approach for the surgery.
  • Educational Resource: Knee replacement images are also valuable educational tools for patients. They help patients understand the condition of their knee joint and the steps involved in the surgical procedure.

Here is an example of how knee replacement images can be used in preoperative planning:

Type of Image Purpose Benefits
X-ray Assess bone structure and alignment Quick and cost-effective
MRI Evaluate soft tissues, such as ligaments and cartilage Provides detailed images of internal structures
CT Scan Create 3D models of the knee joint Enhances surgical precision

📸 Note: Always consult with a healthcare provider to interpret knee replacement images accurately.

Preoperative Preparation

Preoperative preparation is essential for a successful knee replacement surgery. Patients should follow these steps to ensure they are well-prepared:

  • Medical Evaluation: Undergo a comprehensive medical evaluation to assess overall health and identify any potential risks.
  • Medication Management: Discuss current medications with the healthcare provider and follow instructions for stopping or adjusting medications before surgery.
  • Physical Therapy: Engage in preoperative physical therapy to strengthen the muscles around the knee and improve flexibility.
  • Nutritional Guidance: Follow a balanced diet to support healing and recovery.

The Surgical Procedure

Knee replacement surgery typically involves the following steps:

  • Anesthesia: The patient is administered anesthesia to ensure comfort during the procedure.
  • Incision: The surgeon makes an incision in the knee to access the joint.
  • Bone Preparation: The damaged bone and cartilage are removed, and the bone surfaces are prepared to receive the implants.
  • Implant Placement: The artificial components are placed and secured with cement or other fixation methods.
  • Closure: The incision is closed with sutures or staples, and a dressing is applied.

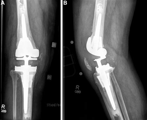
Here is an example of knee replacement images that illustrate the surgical procedure:

Knee Replacement Procedure

📸 Note: The images above are for illustrative purposes only. Always consult with a healthcare provider for personalized information.

Postoperative Care and Recovery

Postoperative care and recovery are crucial for a successful outcome after knee replacement surgery. Patients should follow these guidelines to ensure a smooth recovery:

  • Pain Management: Use prescribed pain medications and follow instructions for managing pain and discomfort.
  • Physical Therapy: Engage in postoperative physical therapy to regain strength, flexibility, and range of motion in the knee.
  • Activity Modification: Avoid high-impact activities and follow guidelines for gradually increasing activity levels.
  • Follow-Up Appointments: Attend all scheduled follow-up appointments to monitor progress and address any concerns.

Here is a table outlining the typical recovery timeline for knee replacement surgery:

Week Activities Goals
1-2 Walking with assistance, physical therapy Reduce pain and swelling, improve mobility
3-4 Gradually increasing walking distance, strengthening exercises Enhance strength and flexibility
5-6 Low-impact activities, such as swimming or cycling Improve endurance and function
6+ Gradual return to normal activities Achieve full recovery and independence

📅 Note: Recovery timelines may vary depending on individual factors and the complexity of the surgery.

Benefits of Knee Replacement Surgery

Knee replacement surgery offers numerous benefits for individuals suffering from severe knee pain and mobility issues. Some of the key benefits include:

  • Pain Relief: Significant reduction in knee pain, allowing for improved comfort and quality of life.
  • Improved Mobility: Enhanced ability to perform daily activities, such as walking, climbing stairs, and standing for extended periods.
  • Increased Function: Better range of motion and flexibility, enabling participation in recreational activities and hobbies.
  • Long-Term Durability: Artificial knee components are designed to last for many years, providing long-term relief and functionality.

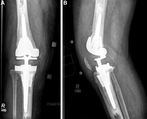
Here is an example of knee replacement images that highlight the benefits of the procedure:

Knee Replacement Benefits

📸 Note: The images above are for illustrative purposes only. Always consult with a healthcare provider for personalized information.

Potential Risks and Complications

While knee replacement surgery is generally safe and effective, it is important to be aware of potential risks and complications. Some of the possible issues include:

  • Infection: Risk of infection at the surgical site, which may require additional treatment or surgery.
  • Blood Clots: Formation of blood clots in the legs or lungs, which can be life-threatening if not treated promptly.
  • Implant Failure: Wear and tear or loosening of the artificial components, which may require revision surgery.
  • Nerve or Blood Vessel Damage: Injury to nerves or blood vessels during the procedure, which can affect sensation or circulation.

Here is a table outlining the potential risks and complications of knee replacement surgery:

Risk/Complication Symptoms Treatment
Infection Redness, swelling, warmth, pain, fever Antibiotics, possible revision surgery
Blood Clots Swelling, pain, redness in the leg, shortness of breath Blood thinners, compression stockings
Implant Failure Pain, instability, decreased function Revision surgery
Nerve or Blood Vessel Damage Numbness, tingling, weakness, changes in circulation Physical therapy, possible surgical repair

🚨 Note: If you experience any of these symptoms after knee replacement surgery, contact your healthcare provider immediately.

Knee replacement surgery is a transformative procedure that can significantly improve the quality of life for individuals with severe knee pain and mobility issues. By understanding the types of procedures, the importance of knee replacement images, and the recovery process, patients can make informed decisions and achieve successful outcomes. The benefits of knee replacement surgery, including pain relief, improved mobility, and increased function, far outweigh the potential risks and complications. With proper preoperative preparation, surgical expertise, and postoperative care, patients can look forward to a brighter, more active future.

Related Terms:

  • knee replacement images funny
  • partial knee replacement images
  • picture of full knee replacement
  • post op knee replacement pictures
  • knee replacement anatomy pictures
  • pictures of complete knee replacement