Keratinized Stratified Squamous

Keratinized Stratified Squamous

The human body is a marvel of complexity, with each part serving a unique and essential function. Among the many types of tissues that make up our bodies, the keratinized stratified squamous epithelium stands out due to its robust and protective nature. This type of epithelium is found in areas of the body that require a high degree of protection from external stressors, such as abrasion, dehydration, and pathogens. Understanding the structure and function of keratinized stratified squamous epithelium is crucial for appreciating its role in maintaining the integrity and health of our skin and mucous membranes.

Structure of Keratinized Stratified Squamous Epithelium

The keratinized stratified squamous epithelium is characterized by its multiple layers of cells, each with a specific role in providing protection and support. The structure can be broken down into several key layers:

  • Stratum Basale: This is the deepest layer, composed of a single row of cuboidal or columnar cells. These cells are actively dividing and produce new cells that migrate upward to replace those that are shed from the surface.
  • Stratum Spinosum: Located above the stratum basale, this layer consists of several rows of polyhedral cells connected by desmosomes, which give the layer a spiny appearance under a microscope.
  • Stratum Granulosum: This layer contains cells that produce keratin, a fibrous protein that provides strength and waterproofing to the skin. The cells in this layer also contain keratohyalin granules, which contribute to the keratinization process.
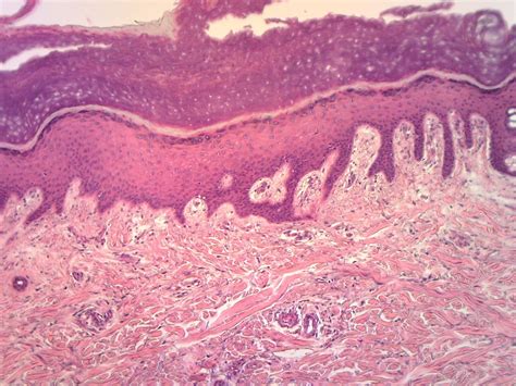
  • Stratum Lucidum: Found only in thick skin, such as the palms and soles, this layer is thin and transparent. It contains cells that are densely packed with keratin and lacks organelles, giving it a glassy appearance.
  • Stratum Corneum: The outermost layer, composed of dead, flattened cells filled with keratin. These cells are continuously shed and replaced by new cells from the underlying layers. The stratum corneum acts as a barrier, protecting the body from external threats.

Function of Keratinized Stratified Squamous Epithelium

The primary function of keratinized stratified squamous epithelium is to provide a protective barrier against mechanical stress, dehydration, and pathogens. This type of epithelium is found in areas of the body that are subject to frequent wear and tear, such as the skin, the hard palate, and the dorsal surface of the tongue. The keratinization process, which involves the production of keratin, enhances the strength and durability of the epithelium, making it well-suited for these demanding environments.

In addition to its protective role, keratinized stratified squamous epithelium also plays a crucial part in maintaining the body's hydration levels. The keratin in the stratum corneum helps to prevent water loss, ensuring that the underlying tissues remain hydrated. This is particularly important in areas of the body that are exposed to the environment, such as the skin.

Locations of Keratinized Stratified Squamous Epithelium

The keratinized stratified squamous epithelium is found in several key locations throughout the body, each with its own specific requirements for protection and support. Some of the most notable locations include:

  • Skin: The epidermis, the outermost layer of the skin, is composed of keratinized stratified squamous epithelium. This layer provides a barrier against external threats and helps to regulate body temperature and hydration.
  • Hard Palate: The hard palate, the roof of the mouth, is lined with keratinized stratified squamous epithelium. This provides protection against the abrasive forces of chewing and the entry of pathogens.
  • Dorsal Surface of the Tongue: The upper surface of the tongue is covered with keratinized stratified squamous epithelium, which helps to protect the tongue from mechanical stress and pathogens.
  • Gingiva: The gingiva, or gums, are lined with keratinized stratified squamous epithelium. This provides a protective barrier against the abrasive forces of chewing and the entry of pathogens.

Keratinization Process

The keratinization process is a critical aspect of the keratinized stratified squamous epithelium's function. This process involves the production of keratin, a fibrous protein that provides strength and waterproofing to the skin. The keratinization process can be broken down into several key steps:

  • Cell Differentiation: Cells in the stratum basale differentiate and migrate upward through the layers of the epithelium.
  • Keratin Production: As the cells move through the stratum spinosum and stratum granulosum, they begin to produce keratin. This process involves the synthesis of keratin filaments, which are bundled together to form intermediate filaments.
  • Cell Death: As the cells reach the stratum corneum, they undergo apoptosis, or programmed cell death. The cells become flattened and filled with keratin, forming a protective barrier.
  • Cell Shedding: The dead cells in the stratum corneum are continuously shed and replaced by new cells from the underlying layers. This process helps to maintain the integrity of the protective barrier.

📝 Note: The keratinization process is essential for the protective function of the keratinized stratified squamous epithelium. Disruptions in this process can lead to various skin conditions, such as ichthyosis and psoriasis.

Diseases and Disorders

Several diseases and disorders can affect the keratinized stratified squamous epithelium, leading to impaired function and potential health complications. Some of the most common conditions include:

  • Ichthyosis: A group of genetic skin disorders characterized by dry, scaly skin. Ichthyosis can affect the keratinization process, leading to impaired barrier function and increased susceptibility to infections.
  • Psoriasis: A chronic inflammatory skin condition characterized by red, scaly patches. Psoriasis can affect the keratinization process, leading to the rapid production of skin cells and the formation of thick, scaly plaques.
  • Eczema: A group of inflammatory skin conditions characterized by red, itchy, and inflamed skin. Eczema can affect the barrier function of the keratinized stratified squamous epithelium, leading to increased susceptibility to infections and allergens.

In addition to these conditions, various environmental factors, such as UV radiation, chemical exposure, and mechanical stress, can also impact the health and function of the keratinized stratified squamous epithelium. Protecting the skin from these factors is essential for maintaining its integrity and preventing potential health complications.

Maintaining Skin Health

Maintaining the health of the keratinized stratified squamous epithelium is crucial for overall skin health and well-being. Several strategies can help to support the protective function of this tissue:

  • Hydration: Keeping the skin hydrated is essential for maintaining its barrier function. Drinking plenty of water and using moisturizers can help to prevent dehydration and support the skin's natural protective mechanisms.
  • Sun Protection: Protecting the skin from UV radiation is crucial for preventing damage to the keratinized stratified squamous epithelium. Using sunscreen, wearing protective clothing, and avoiding prolonged sun exposure can help to minimize the risk of sun damage.
  • Gentle Cleansing: Using gentle cleansers and avoiding harsh soaps can help to maintain the skin's natural barrier function. Over-cleansing or using harsh products can strip the skin of its natural oils, leading to dryness and irritation.
  • Nutrition: A balanced diet rich in vitamins, minerals, and antioxidants can support the health of the keratinized stratified squamous epithelium. Foods rich in omega-3 fatty acids, vitamin E, and zinc can help to promote skin health and protect against damage.

By incorporating these strategies into daily routines, individuals can help to maintain the health and function of their keratinized stratified squamous epithelium, ensuring optimal protection and support for the skin.

In addition to these general strategies, individuals with specific skin conditions may benefit from targeted treatments and therapies. Consulting with a healthcare provider or dermatologist can help to develop a personalized plan for managing skin health and addressing any underlying issues.

Understanding the structure, function, and maintenance of the keratinized stratified squamous epithelium is essential for appreciating its role in protecting the body from external threats. By supporting the health of this tissue, individuals can enhance their overall well-being and reduce the risk of skin-related complications.

In conclusion, the keratinized stratified squamous epithelium plays a vital role in maintaining the integrity and health of the skin and mucous membranes. Its robust structure and protective function make it well-suited for areas of the body that require a high degree of protection from external stressors. By understanding the keratinization process and implementing strategies to support skin health, individuals can ensure optimal protection and well-being. Whether through hydration, sun protection, gentle cleansing, or targeted therapies, maintaining the health of the keratinized stratified squamous epithelium is crucial for overall skin health and well-being.

Related Terms:

  • simple cuboidal
  • nonkeratinized stratified squamous
  • pseudostratified ciliated columnar
  • stratified squamous epithelium
  • stratified squamous epithelium function