Ischemic Stroke Ct

Ischemic Stroke Ct

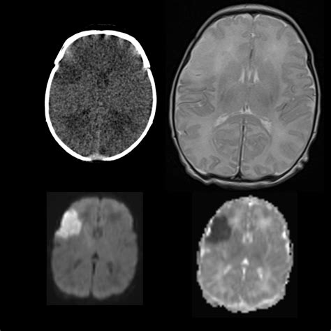
Ischemic stroke is a severe medical condition that occurs when blood flow to a part of the brain is interrupted, leading to brain cell death. Early and accurate diagnosis is crucial for effective treatment. One of the primary diagnostic tools used in this context is the Ischemic Stroke CT scan. This non-invasive imaging technique provides detailed images of the brain, helping healthcare professionals to identify the location and extent of the stroke.

Understanding Ischemic Stroke

An ischemic stroke happens when a blood vessel supplying blood to the brain is blocked, usually by a blood clot. This blockage can be caused by a variety of factors, including:

  • Atherosclerosis: The buildup of plaque in the arteries.
  • Atrial fibrillation: An irregular heartbeat that can lead to blood clots.
  • Other heart conditions: Such as heart valve disease or a recent heart attack.

Symptoms of an ischemic stroke can include sudden numbness or weakness in the face, arm, or leg, especially on one side of the body; confusion or trouble speaking; vision problems; difficulty walking; and severe headache with no known cause.

The Role of CT Scans in Diagnosing Ischemic Stroke

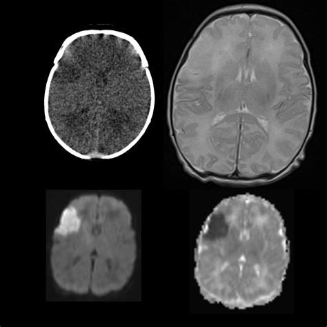
Computed Tomography (CT) scans are essential in the diagnosis of ischemic stroke. An Ischemic Stroke CT scan can quickly and accurately detect the presence of a stroke, differentiate it from other conditions, and guide treatment decisions. The scan uses X-rays to create detailed images of the brain, which can reveal:

  • Blood clots: The presence and location of blood clots in the brain.
  • Brain tissue damage: The extent of damage to brain tissue caused by the stroke.
  • Hemorrhage: Whether the stroke is ischemic or hemorrhagic, which is crucial for determining the appropriate treatment.

CT scans are particularly valuable in the acute phase of a stroke, where time is of the essence. They can be performed quickly and are widely available in most hospitals, making them a first-line diagnostic tool.

Types of CT Scans Used in Ischemic Stroke Diagnosis

Several types of CT scans can be used to diagnose ischemic stroke, each providing different levels of detail and information:

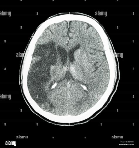
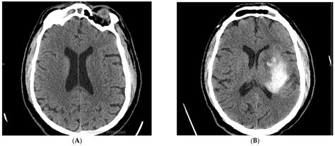
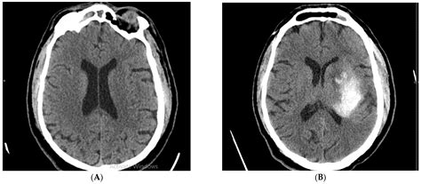
  • Non-contrast CT (NCCT): This is the most basic type of CT scan and is often the first test performed. It provides a clear view of the brain structures and can detect early signs of ischemia, such as the “dense artery sign,” which indicates a blood clot.
  • CT Angiography (CTA): This type of scan uses contrast dye to visualize the blood vessels in the brain. It can identify the location and extent of a blood clot and assess the condition of the blood vessels.
  • CT Perfusion (CTP): This scan measures blood flow to different areas of the brain. It can help determine the extent of brain tissue that is at risk of dying (the penumbra) and guide decisions about thrombolytic therapy.

In some cases, a combination of these scans may be used to provide a comprehensive assessment of the stroke.

Interpreting Ischemic Stroke CT Results

Interpreting the results of an Ischemic Stroke CT scan requires expertise and experience. Radiologists and neurologists work together to analyze the images and make a diagnosis. Key findings that may be observed include:

  • Early ischemic changes: These can appear as areas of low density (hypodensity) in the brain tissue, indicating reduced blood flow.
  • Hyperdense artery sign: This is a bright appearance of an artery on a non-contrast CT scan, suggesting the presence of a blood clot.
  • Mass effect: Swelling or compression of brain tissue due to the stroke, which can be seen as a shift in the midline structures of the brain.

These findings help healthcare professionals determine the type and severity of the stroke, as well as the appropriate treatment plan.

Treatment Options for Ischemic Stroke

Once an ischemic stroke is diagnosed using an Ischemic Stroke CT scan, treatment options depend on the severity and location of the stroke. Common treatments include:

  • Thrombolytic therapy: Administration of clot-busting drugs, such as tissue plasminogen activator (tPA), to dissolve the blood clot and restore blood flow.
  • Mechanical thrombectomy: A procedure to physically remove the blood clot using a catheter and specialized devices.
  • Antiplatelet and anticoagulant medications: Drugs to prevent further blood clots from forming.
  • Supportive care: Measures to manage symptoms and prevent complications, such as controlling blood pressure, managing blood sugar levels, and providing rehabilitation services.

Early intervention is critical for improving outcomes and reducing the risk of long-term disability.

Preventing Ischemic Stroke

While an Ischemic Stroke CT scan is essential for diagnosing and treating ischemic stroke, prevention is always the best approach. Lifestyle changes and medical interventions can significantly reduce the risk of stroke. Key preventive measures include:

  • Healthy diet: Consuming a balanced diet rich in fruits, vegetables, whole grains, and lean proteins.
  • Regular exercise: Engaging in physical activity to maintain a healthy weight and improve cardiovascular health.
  • Managing chronic conditions: Controlling conditions such as high blood pressure, high cholesterol, and diabetes.
  • Avoiding tobacco and excessive alcohol: Quitting smoking and limiting alcohol consumption.
  • Regular check-ups: Regular medical check-ups to monitor risk factors and detect any potential issues early.

By adopting these preventive measures, individuals can significantly reduce their risk of experiencing an ischemic stroke.

📝 Note: Always consult with a healthcare professional for personalized advice on stroke prevention and management.

Advances in Ischemic Stroke CT Technology

Technology in medical imaging continues to evolve, and advancements in Ischemic Stroke CT scans are improving diagnostic accuracy and treatment outcomes. Some of the latest developments include:

  • High-resolution CT scans: Providing more detailed images of the brain and blood vessels.
  • Artificial intelligence (AI) and machine learning: Enhancing the interpretation of CT scan results by identifying patterns and anomalies that may be missed by human eyes.
  • 3D imaging: Offering a more comprehensive view of the brain and blood vessels, aiding in surgical planning and treatment decisions.

These advancements are making Ischemic Stroke CT scans even more valuable in the diagnosis and management of ischemic stroke.

Case Studies: Real-Life Examples of Ischemic Stroke Diagnosis

To illustrate the importance of Ischemic Stroke CT scans, let’s consider a few real-life case studies:

  • Case 1: Early Detection: A 65-year-old patient presented with sudden weakness on the left side of the body and difficulty speaking. An Ischemic Stroke CT scan revealed a blood clot in the right middle cerebral artery. Thrombolytic therapy was administered within the critical time window, leading to a full recovery.
  • Case 2: Complex Diagnosis: A 50-year-old patient with a history of atrial fibrillation experienced a sudden onset of vision problems and dizziness. A CT scan showed early ischemic changes in the brainstem. Further imaging with CTA and CTP confirmed the presence of a blood clot and guided the decision for mechanical thrombectomy.
  • Case 3: Preventive Measures: A 45-year-old patient with high blood pressure and high cholesterol underwent a routine Ischemic Stroke CT scan as part of a preventive health check-up. The scan detected early signs of atherosclerosis in the carotid arteries, prompting lifestyle changes and medication to prevent a future stroke.

These cases highlight the critical role of Ischemic Stroke CT scans in early detection, accurate diagnosis, and effective treatment of ischemic stroke.

Future Directions in Ischemic Stroke Diagnosis

The future of ischemic stroke diagnosis holds promise with ongoing research and technological advancements. Some areas of focus include:

  • Enhanced imaging techniques: Developing new imaging modalities that provide even more detailed and accurate information about brain tissue and blood vessels.
  • Personalized medicine: Tailoring treatment plans based on individual patient characteristics and genetic information.
  • Telemedicine and remote monitoring: Using technology to provide remote diagnosis and monitoring, especially in areas with limited access to specialized care.

These advancements will continue to improve the diagnosis and treatment of ischemic stroke, ultimately leading to better patient outcomes.

In conclusion, the Ischemic Stroke CT scan is a vital tool in the diagnosis and management of ischemic stroke. It provides detailed images of the brain, helping healthcare professionals to identify the location and extent of the stroke, differentiate it from other conditions, and guide treatment decisions. Early and accurate diagnosis is crucial for effective treatment, and advancements in CT technology continue to enhance diagnostic accuracy and treatment outcomes. By understanding the role of Ischemic Stroke CT scans and adopting preventive measures, individuals can significantly reduce their risk of experiencing an ischemic stroke and improve their overall health and well-being.

Related Terms:

  • signs of stroke on ct
  • ischemic vs hemorrhagic stroke ct
  • does ct show ischemic stroke
  • hemorrhagic stroke ct
  • ischemic stroke on ct head
  • ischemic stroke ct scan