Infective Endocarditis Gn

Infective Endocarditis Gn

Infective Endocarditis (IE) is a serious and potentially life-threatening condition that occurs when bacteria, fungi, or other microorganisms infect the inner lining of the heart, known as the endocardium. This infection can affect the heart valves, leading to significant complications if not treated promptly. Understanding the causes, symptoms, diagnosis, and treatment of Infective Endocarditis is crucial for early intervention and better patient outcomes.

Understanding Infective Endocarditis

Infective Endocarditis is a complex condition that primarily affects individuals with pre-existing heart conditions, such as congenital heart defects, artificial heart valves, or a history of rheumatic fever. The infection typically begins when bacteria enter the bloodstream and attach to the damaged or abnormal heart tissue. Over time, these microorganisms form a biofilm, which can lead to the formation of vegetations—clumps of bacteria, platelets, and fibrin—on the heart valves.

Causes of Infective Endocarditis

Infective Endocarditis is most commonly caused by bacteria, but it can also be caused by fungi or other microorganisms. The most common bacterial causes include:

  • Staphylococcus aureus: Often found on the skin and in the nasal passages, this bacterium can enter the bloodstream through cuts, wounds, or medical procedures.
  • Streptococcus viridans: Found in the mouth and upper respiratory tract, this bacterium can enter the bloodstream during dental procedures or poor oral hygiene.
  • Enterococci: Commonly found in the gastrointestinal tract, these bacteria can cause infections, particularly in individuals with urinary tract infections or gastrointestinal procedures.

Fungal Infective Endocarditis is less common but can occur in individuals with weakened immune systems or those who have had prolonged use of intravenous catheters.

Symptoms of Infective Endocarditis

The symptoms of Infective Endocarditis can vary widely and may develop gradually over weeks or even months. Common symptoms include:

  • Fever and chills
  • Fatigue and weakness
  • Shortness of breath
  • Chest pain
  • Swelling in the legs, feet, or abdomen
  • Night sweats
  • Joint and muscle pain
  • Weight loss
  • Cough

In some cases, Infective Endocarditis can cause more specific symptoms, such as:

  • Small, painless red spots on the skin (petechiae)
  • Small, tender red or purple spots on the palms or soles (Osler's nodes)
  • Small, painless red spots on the retina (Roth's spots)
  • Splinter hemorrhages under the fingernails or toenails

These symptoms can be indicative of complications such as embolism, where fragments of the vegetations break off and travel to other parts of the body, causing blockages in blood vessels.

Diagnosis of Infective Endocarditis

Diagnosing Infective Endocarditis involves a combination of clinical evaluation, laboratory tests, and imaging studies. The diagnostic process typically includes:

  • Blood Cultures: Blood samples are taken to identify the presence of bacteria or fungi in the bloodstream. Multiple samples are usually required to confirm the diagnosis.
  • Echocardiogram: This imaging test uses sound waves to create detailed images of the heart. It can detect vegetations on the heart valves, valve damage, and other abnormalities.
  • Transesophageal Echocardiogram (TEE): This more invasive procedure involves inserting a probe down the throat to get a clearer view of the heart, particularly useful for detecting smaller vegetations or complications.
  • Electrocardiogram (ECG): This test records the electrical activity of the heart and can help identify any abnormalities in heart rhythm or conduction.
  • Chest X-ray: This imaging test can reveal signs of heart enlargement, fluid in the lungs, or other complications.

In some cases, additional tests such as a computed tomography (CT) scan or magnetic resonance imaging (MRI) may be used to assess the extent of the infection and any associated complications.

Treatment of Infective Endocarditis

The treatment of Infective Endocarditis typically involves a combination of antibiotics and, in some cases, surgery. The goal is to eradicate the infection, prevent complications, and restore heart function.

Antibiotic Therapy

Antibiotic therapy is the cornerstone of treatment for Infective Endocarditis. The choice of antibiotics depends on the type of microorganism causing the infection and the patient's overall health. Commonly used antibiotics include:

  • Penicillin: Effective against streptococcal infections.
  • Vancomycin: Used for staphylococcal infections, particularly methicillin-resistant Staphylococcus aureus (MRSA).
  • Gentamicin: Often used in combination with other antibiotics for synergistic effects.
  • Cephalosporins: Effective against a wide range of bacteria.

Antibiotic therapy is usually administered intravenously for several weeks, often requiring hospitalization. The duration and type of antibiotic treatment are determined by the specific microorganism and the patient's response to therapy.

Surgical Intervention

In some cases, surgical intervention may be necessary to treat Infective Endocarditis, particularly when:

  • The infection does not respond to antibiotic therapy.
  • There is significant damage to the heart valves or other structures.
  • Embolic complications occur, such as stroke or organ damage.
  • There is a high risk of further complications, such as heart failure or sepsis.

Surgical options include:

  • Valve Repair or Replacement: Damaged or infected heart valves may need to be repaired or replaced with artificial valves.
  • Debridement: Removal of infected tissue or vegetations.
  • Cardiac Surgery: In severe cases, more extensive surgery may be required to address complications such as abscesses or fistulas.

Surgical intervention is often followed by continued antibiotic therapy to ensure complete eradication of the infection.

Complications of Infective Endocarditis

Infective Endocarditis can lead to several serious complications, including:

  • Heart Failure: Damage to the heart valves can lead to heart failure, where the heart is unable to pump blood effectively.
  • Embolism: Fragments of vegetations can break off and travel to other parts of the body, causing blockages in blood vessels and leading to stroke, organ damage, or other complications.
  • Sepsis: The infection can spread to the bloodstream, leading to a systemic inflammatory response and potentially life-threatening sepsis.
  • Abscesses: Infections can form abscesses in the heart tissue, requiring surgical intervention.
  • Fistulas: Abnormal connections between heart chambers or blood vessels can form, leading to further complications.

Early diagnosis and prompt treatment are crucial to prevent these complications and improve patient outcomes.

Prevention of Infective Endocarditis

Preventing Infective Endocarditis involves several strategies, particularly for individuals at high risk. Key preventive measures include:

  • Good Oral Hygiene: Regular dental check-ups and maintaining good oral hygiene can reduce the risk of bacterial infections entering the bloodstream.
  • Antibiotic Prophylaxis: In some cases, antibiotics may be prescribed before certain dental or medical procedures to prevent bacterial infections from entering the bloodstream.
  • Prompt Treatment of Infections: Treating infections promptly can prevent them from spreading to the heart.
  • Avoiding Intravenous Drug Use: Sharing needles or using contaminated equipment can introduce bacteria into the bloodstream.

Individuals with pre-existing heart conditions, such as congenital heart defects or artificial heart valves, should consult with their healthcare providers to discuss specific preventive measures.

Infective Endocarditis Gn

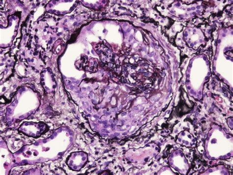
Infective Endocarditis Gn, or Infective Endocarditis of the native heart valves, is a specific form of the condition that affects the heart's natural valves. This type of Infective Endocarditis is more common than Infective Endocarditis affecting prosthetic valves and can occur in individuals with no prior history of heart disease. The diagnosis and treatment of Infective Endocarditis Gn follow similar principles to those of Infective Endocarditis in general, with a focus on early detection and appropriate antibiotic therapy.

Infective Endocarditis Gn can be particularly challenging to diagnose because the symptoms may be non-specific and develop gradually. It is essential for healthcare providers to consider Infective Endocarditis Gn in the differential diagnosis of patients presenting with fever, fatigue, and other non-specific symptoms, especially those with a history of heart murmurs or other risk factors.

Early diagnosis and treatment of Infective Endocarditis Gn are crucial to prevent complications such as heart failure, embolism, and sepsis. Prompt initiation of antibiotic therapy and, in some cases, surgical intervention can significantly improve patient outcomes and reduce the risk of long-term complications.

Infective Endocarditis Gn highlights the importance of regular medical check-ups and prompt treatment of infections. Individuals with risk factors for Infective Endocarditis Gn should be aware of the symptoms and seek medical attention if they experience any concerning signs.

Infective Endocarditis Gn can be particularly challenging to diagnose because the symptoms may be non-specific and develop gradually. It is essential for healthcare providers to consider Infective Endocarditis Gn in the differential diagnosis of patients presenting with fever, fatigue, and other non-specific symptoms, especially those with a history of heart murmurs or other risk factors.

Early diagnosis and treatment of Infective Endocarditis Gn are crucial to prevent complications such as heart failure, embolism, and sepsis. Prompt initiation of antibiotic therapy and, in some cases, surgical intervention can significantly improve patient outcomes and reduce the risk of long-term complications.

Infective Endocarditis Gn highlights the importance of regular medical check-ups and prompt treatment of infections. Individuals with risk factors for Infective Endocarditis Gn should be aware of the symptoms and seek medical attention if they experience any concerning signs.

Infective Endocarditis Gn can be particularly challenging to diagnose because the symptoms may be non-specific and develop gradually. It is essential for healthcare providers to consider Infective Endocarditis Gn in the differential diagnosis of patients presenting with fever, fatigue, and other non-specific symptoms, especially those with a history of heart murmurs or other risk factors.

Early diagnosis and treatment of Infective Endocarditis Gn are crucial to prevent complications such as heart failure, embolism, and sepsis. Prompt initiation of antibiotic therapy and, in some cases, surgical intervention can significantly improve patient outcomes and reduce the risk of long-term complications.

Infective Endocarditis Gn highlights the importance of regular medical check-ups and prompt treatment of infections. Individuals with risk factors for Infective Endocarditis Gn should be aware of the symptoms and seek medical attention if they experience any concerning signs.

Infective Endocarditis Gn can be particularly challenging to diagnose because the symptoms may be non-specific and develop gradually. It is essential for healthcare providers to consider Infective Endocarditis Gn in the differential diagnosis of patients presenting with fever, fatigue, and other non-specific symptoms, especially those with a history of heart murmurs or other risk factors.

Early diagnosis and treatment of Infective Endocarditis Gn are crucial to prevent complications such as heart failure, embolism, and sepsis. Prompt initiation of antibiotic therapy and, in some cases, surgical intervention can significantly improve patient outcomes and reduce the risk of long-term complications.

Infective Endocarditis Gn highlights the importance of regular medical check-ups and prompt treatment of infections. Individuals with risk factors for Infective Endocarditis Gn should be aware of the symptoms and seek medical attention if they experience any concerning signs.

Infective Endocarditis Gn can be particularly challenging to diagnose because the symptoms may be non-specific and develop gradually. It is essential for healthcare providers to consider Infective Endocarditis Gn in the differential diagnosis of patients presenting with fever, fatigue, and other non-specific symptoms, especially those with a history of heart murmurs or other risk factors.

Early diagnosis and treatment of Infective Endocarditis Gn are crucial to prevent complications such as heart failure, embolism, and sepsis. Prompt initiation of antibiotic therapy and, in some cases, surgical intervention can significantly improve patient outcomes and reduce the risk of long-term complications.

Infective Endocarditis Gn highlights the importance of regular medical check-ups and prompt treatment of infections. Individuals with risk factors for Infective Endocarditis Gn should be aware of the symptoms and seek medical attention if they experience any concerning signs.

Infective Endocarditis Gn can be particularly challenging to diagnose because the symptoms may be non-specific and develop gradually. It is essential for healthcare providers to consider Infective Endocarditis Gn in the differential diagnosis of patients presenting with fever, fatigue, and other non-specific symptoms, especially those with a history of heart murmurs or other risk factors.

Early diagnosis and treatment of Infective Endocarditis Gn are crucial to prevent complications such as heart failure, embolism, and sepsis. Prompt initiation of antibiotic therapy and, in some cases, surgical intervention can significantly improve patient outcomes and reduce the risk of long-term complications.

Infective Endocarditis Gn highlights the importance of regular medical check-ups and prompt treatment of infections. Individuals with risk factors for Infective Endocarditis Gn should be aware of the symptoms and seek medical attention if they experience any concerning signs.

Infective Endocarditis Gn can be particularly challenging to diagnose because the symptoms may be non-specific and develop gradually. It is essential for healthcare providers to consider Infective Endocarditis Gn in the differential diagnosis of patients presenting with fever, fatigue, and other non-specific symptoms, especially those with a history of heart murmurs or other risk factors.

Early diagnosis and treatment of Infective Endocarditis Gn are crucial to prevent complications such as heart failure, embolism, and sepsis. Prompt initiation of antibiotic therapy and, in some cases, surgical intervention can significantly improve patient outcomes and reduce the risk of long-term complications.

Infective Endocarditis Gn highlights the importance of regular medical check-ups and prompt treatment of infections. Individuals with risk factors for Infective Endocarditis Gn should be aware of the symptoms and seek medical attention if they experience any concerning signs.

Infective Endocarditis Gn can be particularly challenging to diagnose because the symptoms may be non-specific and develop gradually. It is essential for healthcare providers to consider Infective Endocarditis Gn in the differential diagnosis of patients presenting with fever, fatigue, and other non-specific symptoms, especially those with a history of heart murmurs or other risk factors.

Early diagnosis and treatment of Infective Endocarditis Gn are crucial to prevent complications such as heart failure, embolism, and sepsis. Prompt initiation of antibiotic therapy and, in some cases, surgical intervention can significantly improve patient outcomes and reduce the risk of long-term complications.

Infective Endocarditis Gn highlights the importance of regular medical check-ups and prompt treatment of infections. Individuals with risk factors for Infective Endocarditis Gn should be aware of the symptoms and seek medical attention if they experience any concerning signs.

Infective Endocarditis Gn can be particularly challenging to diagnose because the symptoms may be non-specific and develop gradually. It is essential for healthcare providers to consider Infective Endocarditis Gn in the differential diagnosis of patients presenting with fever, fatigue, and other non-specific symptoms, especially those with a history of heart murmurs or other risk factors.

Early diagnosis and treatment of Infective Endocarditis Gn are crucial to prevent complications such as heart failure, embolism, and sepsis. Prompt initiation of antibiotic therapy and, in some cases, surgical intervention can significantly improve patient outcomes and reduce the risk of long-term complications.

Infective Endocarditis Gn highlights the importance of regular medical check-ups and prompt treatment of infections. Individuals with risk factors for Infective Endocarditis Gn should be aware of the symptoms and seek medical attention if they experience any concerning signs.

Infective Endocarditis Gn can be particularly challenging to diagnose because the symptoms may be non-specific and develop gradually. It is essential for healthcare providers to consider Infective Endocarditis Gn in the differential diagnosis of patients presenting with fever, fatigue, and other non-specific symptoms, especially those with a history of heart murmurs or other risk factors.

Early diagnosis and treatment of Infective Endocarditis Gn are crucial to prevent complications such as heart failure, embolism, and sepsis. Prompt initiation of antibiotic therapy and, in some cases, surgical intervention can significantly improve patient outcomes and reduce the risk of long-term complications.

Infective Endocarditis Gn highlights the importance of regular medical check-ups and prompt treatment of infections. Individuals with risk factors for Infective Endocarditis Gn should be aware of the symptoms and seek medical attention if they experience any concerning signs.

Infective Endocarditis Gn can be particularly challenging to diagnose because the symptoms may be non-specific and develop gradually. It is essential for healthcare providers to consider Infective Endocarditis Gn in the differential diagnosis of patients presenting with fever, fatigue, and other non-specific symptoms, especially those with a history of heart murmurs or other risk factors.

Early diagnosis and treatment of Infective Endocarditis Gn are crucial to prevent complications such as heart failure, embolism, and sepsis. Prompt initiation of antibiotic therapy and, in some cases, surgical intervention can significantly improve patient outcomes and reduce the risk of long-term complications.

Infective Endocarditis Gn highlights the importance of regular medical check-ups and prompt treatment of infections. Individuals with risk factors for Infective Endocarditis Gn should be aware of the symptoms and seek medical attention if they experience any concerning signs.

Infective Endocarditis Gn can be particularly challenging to diagnose because the symptoms may be non-specific and develop gradually. It is essential for healthcare providers to consider Infective Endocarditis Gn in the differential diagnosis of patients presenting with fever, fatigue, and other non-specific symptoms, especially those with a history of heart murmurs or other risk factors.

Early diagnosis and treatment of Infective Endocarditis Gn are crucial to prevent complications such as heart failure, embolism, and sepsis. Prompt initiation of antibiotic therapy and, in some cases, surgical intervention can significantly improve patient outcomes and reduce the risk of long-term complications.

Infective Endocarditis Gn highlights the importance of regular medical check-ups and prompt treatment of infections. Individuals with risk factors for Infective Endocarditis Gn should be aware of the symptoms and seek medical attention if they experience any concerning signs.

Infective Endocarditis Gn can be particularly challenging to diagnose

Related Terms:

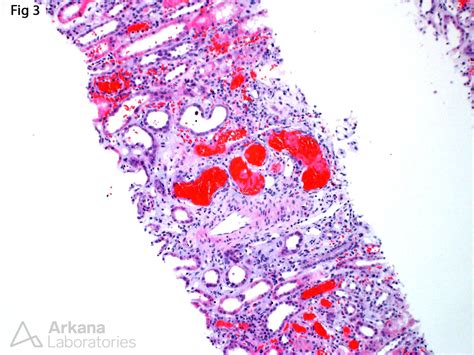
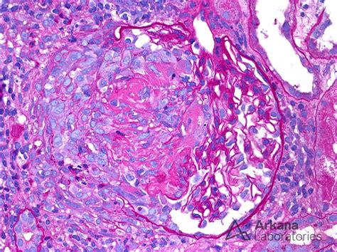
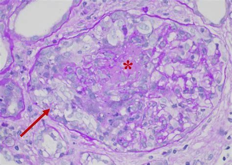
  • embolic nephritis
  • endocapillary proliferative glomerulonephritis
  • purpura endocarditis
  • endocarditis and hematuria