Infants And Pneumonia

Infants And Pneumonia

Pneumonia is a serious respiratory infection that affects the lungs, causing inflammation and fluid buildup in the alveoli, the tiny air sacs responsible for oxygen exchange. While pneumonia can affect individuals of all ages, it is particularly concerning when it comes to infants and pneumonia. Infants, due to their immature immune systems and underdeveloped lungs, are at a higher risk of contracting pneumonia and experiencing severe complications. This blog post delves into the causes, symptoms, diagnosis, treatment, and prevention of pneumonia in infants, providing essential information for parents and caregivers.

Understanding Pneumonia in Infants

Pneumonia in infants can be caused by various pathogens, including bacteria, viruses, and fungi. The most common causes are:

  • Bacteria: *Streptococcus pneumoniae*, *Haemophilus influenzae*, and *Staphylococcus aureus* are common bacterial culprits.
  • Viruses: Respiratory syncytial virus (RSV), influenza, and parainfluenza viruses are frequent viral causes.
  • Fungi: Although rare, fungi like *Pneumocystis jirovecii* can also cause pneumonia, particularly in immunocompromised infants.

Infants can contract pneumonia through various means, including:

  • Inhaling infected droplets from the air, often from coughs or sneezes of infected individuals.
  • Direct contact with contaminated surfaces or objects.
  • Aspiration of stomach contents or foreign objects into the lungs.

Symptoms of Pneumonia in Infants

Recognizing the symptoms of pneumonia in infants is crucial for early intervention. Symptoms can vary depending on the cause and severity of the infection. Common symptoms include:

  • Fever or low body temperature.
  • Coughing, which may be productive or non-productive.
  • Rapid or difficult breathing, often accompanied by grunting or wheezing.
  • Lethargy or decreased activity.
  • Poor feeding or decreased appetite.
  • Vomiting or diarrhea.
  • Bluish discoloration of the skin, lips, or fingernails due to lack of oxygen.

In severe cases, infants may experience:

  • Sepsis, a life-threatening infection that spreads through the bloodstream.
  • Respiratory failure, requiring mechanical ventilation.
  • Pleural effusion, the accumulation of fluid in the pleural space surrounding the lungs.

Diagnosing Pneumonia in Infants

Diagnosing pneumonia in infants involves a combination of physical examination, medical history, and diagnostic tests. Healthcare providers may perform the following:

  • Physical Examination: Checking the infant's breathing, heart rate, and oxygen saturation levels.
  • Medical History: Reviewing the infant's symptoms, recent illnesses, and exposure to infectious agents.
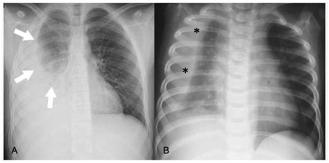
  • Chest X-ray: Imaging the lungs to detect inflammation, fluid buildup, or consolidation.
  • Blood Tests: Analyzing blood samples to identify the causative pathogen and assess the severity of the infection.
  • Sputum or Nasopharyngeal Swab: Collecting samples for culture and sensitivity testing to determine the appropriate antibiotic treatment.
  • Pulse Oximetry: Measuring the oxygen saturation levels in the blood to assess respiratory function.

In some cases, additional tests such as a complete blood count (CBC), arterial blood gas (ABG) analysis, or computed tomography (CT) scan may be necessary to confirm the diagnosis and guide treatment.

Treating Pneumonia in Infants

The treatment of pneumonia in infants depends on the underlying cause, severity of the infection, and the infant's overall health. Common treatment approaches include:

  • Antibiotics: Prescribed for bacterial pneumonia to eliminate the infection. Commonly used antibiotics include amoxicillin, cefuroxime, and ceftriaxone.
  • Antiviral Medications: Administered for viral pneumonia caused by influenza or RSV. Oseltamivir and ribavirin are examples of antiviral drugs.
  • Supportive Care: Ensuring adequate hydration, nutrition, and rest to support the infant's recovery.
  • Oxygen Therapy: Providing supplemental oxygen to maintain adequate oxygen saturation levels.
  • Mechanical Ventilation: In severe cases, mechanical ventilation may be necessary to support breathing.
  • Intravenous Fluids: Administered to prevent dehydration and maintain electrolyte balance.

It is essential to follow the healthcare provider's instructions regarding medication dosage, frequency, and duration. Completing the full course of antibiotics is crucial to prevent antibiotic resistance and ensure complete eradication of the infection.

📝 Note: Never administer antibiotics or other medications to infants without consulting a healthcare provider.

Preventing Pneumonia in Infants

Preventing pneumonia in infants involves a combination of vaccination, hygiene practices, and environmental measures. Key prevention strategies include:

  • Vaccination: Ensuring infants receive recommended vaccinations, including pneumococcal conjugate vaccine (PCV13), Haemophilus influenzae type b (Hib) vaccine, and influenza vaccine.
  • Breastfeeding: Promoting exclusive breastfeeding for the first six months of life to strengthen the infant's immune system.
  • Hand Hygiene: Practicing good hand hygiene by washing hands frequently with soap and water or using an alcohol-based hand sanitizer.
  • Avoiding Crowded Places: Limiting exposure to crowded places and individuals with respiratory infections during the first few months of life.
  • Avoiding Smoking: Keeping the infant away from secondhand smoke, as it increases the risk of respiratory infections.
  • Regular Check-ups: Scheduling regular medical check-ups to monitor the infant's health and detect any potential issues early.

Additionally, ensuring a clean and safe environment, proper nutrition, and adequate rest can help boost the infant's immune system and reduce the risk of pneumonia.

Risk Factors for Pneumonia in Infants

Certain factors increase the risk of pneumonia in infants. Understanding these risk factors can help parents and caregivers take proactive measures to protect their infants. Common risk factors include:

  • Prematurity: Infants born prematurely have underdeveloped lungs and immune systems, making them more susceptible to infections.
  • Chronic Lung Disease: Infants with chronic lung conditions, such as bronchopulmonary dysplasia, are at a higher risk of developing pneumonia.
  • Immunocompromised State: Infants with weakened immune systems due to conditions like HIV/AIDS or cancer are more vulnerable to infections.
  • Congenital Heart Disease: Infants with heart defects may have impaired lung function, increasing the risk of pneumonia.
  • Malnutrition: Infants with poor nutrition are more likely to develop infections due to a weakened immune system.
  • Exposure to Environmental Pollutants: Infants living in areas with high levels of air pollution or secondhand smoke are at a higher risk of respiratory infections.

Parents and caregivers should be aware of these risk factors and take appropriate measures to minimize exposure and enhance the infant's overall health.

Complications of Pneumonia in Infants

Pneumonia in infants can lead to various complications, especially if left untreated or if the infection is severe. Common complications include:

  • Respiratory Failure: Severe pneumonia can lead to respiratory failure, requiring mechanical ventilation.
  • Sepsis: The infection can spread to the bloodstream, causing sepsis, a life-threatening condition.
  • Pleural Effusion: Fluid accumulation in the pleural space surrounding the lungs can impair breathing.
  • Lung Abscess: A collection of pus in the lung tissue, which may require surgical drainage.
  • Chronic Lung Disease: Repeated episodes of pneumonia can lead to chronic lung conditions, such as bronchiectasis.
  • Developmental Delays: Severe pneumonia can affect the infant's growth and development, leading to delays in motor skills, cognitive function, and overall development.

Early diagnosis and prompt treatment are crucial to prevent these complications and ensure the infant's recovery.

When to Seek Medical Attention

Parents and caregivers should seek immediate medical attention if an infant exhibits any of the following symptoms:

  • Difficulty breathing or rapid breathing.
  • Bluish discoloration of the skin, lips, or fingernails.
  • High fever or low body temperature.
  • Lethargy or decreased activity.
  • Poor feeding or decreased appetite.
  • Vomiting or diarrhea.
  • Severe coughing or wheezing.

Prompt medical intervention can prevent complications and ensure the infant's recovery.

📞 Note: Trust your instincts. If you feel something is wrong, do not hesitate to contact a healthcare provider.

Supporting an Infant with Pneumonia

Caring for an infant with pneumonia can be challenging, but there are several ways to support their recovery:

  • Follow Medical Advice: Adhere to the healthcare provider's instructions regarding medication, rest, and follow-up appointments.
  • Ensure Adequate Hydration: Offer frequent, small feedings to prevent dehydration.
  • Maintain a Comfortable Environment: Keep the infant's room clean, well-ventilated, and at a comfortable temperature.
  • Monitor Symptoms: Keep track of the infant's symptoms and report any changes to the healthcare provider.
  • Provide Emotional Support: Offer comfort and reassurance to the infant, as they may be distressed due to the illness.
  • Practice Good Hygiene: Wash hands frequently and avoid exposing the infant to additional infections.

Supporting an infant with pneumonia requires patience, vigilance, and a commitment to following medical advice.

Long-Term Effects of Pneumonia in Infants

While most infants recover from pneumonia without long-term effects, severe or recurrent infections can lead to lasting health issues. Potential long-term effects include:

  • Chronic Lung Disease: Repeated episodes of pneumonia can result in chronic lung conditions, such as bronchiectasis.
  • Developmental Delays: Severe pneumonia can affect the infant's growth and development, leading to delays in motor skills, cognitive function, and overall development.
  • Recurrent Infections: Infants who have had pneumonia are at a higher risk of developing recurrent respiratory infections.
  • Asthma: Some studies suggest a link between pneumonia in infancy and the development of asthma later in life.

Regular follow-up appointments with a healthcare provider can help monitor the infant's progress and address any potential long-term effects.

Educating Caregivers About Infants And Pneumonia

Educating caregivers about the risks, symptoms, and prevention of pneumonia in infants is essential for ensuring the health and well-being of young children. Key points to emphasize include:

  • Recognizing Symptoms: Teaching caregivers to recognize the signs of pneumonia, such as rapid breathing, fever, and lethargy.
  • Preventive Measures: Emphasizing the importance of vaccination, hand hygiene, and avoiding crowded places.
  • Seeking Medical Attention: Encouraging caregivers to seek prompt medical attention if an infant exhibits symptoms of pneumonia.
  • Supporting Recovery: Providing guidance on how to support an infant's recovery, including ensuring adequate hydration and following medical advice.

Educational resources, such as brochures, online articles, and community workshops, can help caregivers stay informed and prepared.

Global Impact of Pneumonia in Infants

Pneumonia is a significant global health concern, particularly in low- and middle-income countries. According to the World Health Organization (WHO), pneumonia is the leading cause of death in children under five years old, accounting for approximately 15% of all deaths in this age group. In many regions, limited access to healthcare, poor sanitation, and malnutrition contribute to the high prevalence of pneumonia in infants.

Efforts to reduce the global burden of pneumonia in infants focus on:

  • Vaccination Campaigns: Expanding access to pneumococcal and Hib vaccines.
  • Improved Healthcare Access: Enhancing healthcare infrastructure and training healthcare providers.
  • Public Health Initiatives: Promoting hand hygiene, breastfeeding, and environmental improvements.
  • Research and Development: Investing in research to develop new vaccines, diagnostics, and treatments.

Global collaboration and sustained efforts are crucial to reducing the impact of pneumonia on infants worldwide.

Case Studies: Real-Life Examples of Infants And Pneumonia

Understanding the real-life experiences of infants and pneumonia can provide valuable insights into the challenges and outcomes of this condition. Here are a few case studies:

Case Study 1: Premature Infant with Pneumonia

A premature infant born at 28 weeks gestation developed pneumonia at three weeks of age. The infant was admitted to the neonatal intensive care unit (NICU) with symptoms of rapid breathing, fever, and lethargy. A chest X-ray confirmed the diagnosis of pneumonia, and the infant was treated with antibiotics and supportive care. After a two-week hospital stay, the infant recovered and was discharged home with close follow-up.

Case Study 2: Infant with Viral Pneumonia

A six-month-old infant presented with a high fever, cough, and wheezing. The infant was diagnosed with viral pneumonia caused by RSV. The infant was hospitalized for monitoring and supportive care, including oxygen therapy and hydration. The infant recovered within a week and was discharged with instructions for home care and follow-up appointments.

Case Study 3: Infant with Bacterial Pneumonia

A nine-month-old infant developed pneumonia following a bout of influenza. The infant was diagnosed with bacterial pneumonia caused by *Streptococcus pneumoniae*. The infant was treated with intravenous antibiotics and supportive care, including hydration and oxygen therapy. After a five-day hospital stay, the infant recovered and was discharged with oral antibiotics and follow-up instructions.

These case studies illustrate the diverse presentations and outcomes of pneumonia in infants, highlighting the importance of early diagnosis and prompt treatment.

Pneumonia in infants is a serious condition that requires prompt medical attention and appropriate treatment. By understanding the causes, symptoms, diagnosis, and prevention of pneumonia, parents and caregivers can take proactive measures to protect their infants and ensure their health and well-being. Early intervention and supportive care are crucial for preventing complications and promoting recovery. Through education, vaccination, and global efforts, the impact of pneumonia on infants can be significantly reduced, saving countless lives and improving the quality of life for young children worldwide.

Related Terms:

  • pneumonia 4 months old
  • pneumonia in 7 month old
  • signs of pneumonia in babies
  • pneumonia in infants treatment
  • kids pneumonia symptoms
  • is pneumonia dangerous in babies