Ileum Vs Ilium

Ileum Vs Ilium

Understanding the differences between the ileum and the ilium is crucial for anyone studying anatomy or dealing with medical conditions related to these structures. While both terms sound similar, they refer to distinct parts of the human body with different functions and locations. This blog post will delve into the ileum vs ilium debate, exploring their definitions, functions, and clinical significance.

What is the Ileum?

The ileum is the final and longest segment of the small intestine. It plays a vital role in the digestive system by absorbing nutrients and water from the food we consume. The ileum is connected to the jejunum at one end and the cecum (the beginning of the large intestine) at the other. Its primary functions include:

  • Absorption of vitamins, particularly vitamin B12 and folic acid.
  • Absorption of bile salts, which are essential for fat digestion.
  • Absorption of any remaining nutrients that were not absorbed in the duodenum and jejunum.

The ileum is characterized by its thin walls and numerous folds, known as plicae circulares, which increase the surface area for absorption. It also contains Peyer's patches, which are aggregates of lymphoid tissue that play a role in the immune system by helping to protect the body from pathogens.

What is the Ilium?

The ilium is a large, flat bone that forms the upper and widest part of the pelvis. It is one of the three bones that make up the hip bone, along with the ischium and the pubis. The ilium provides attachment points for several important muscles and ligaments, contributing to the stability and movement of the pelvis and lower limbs. Key features of the ilium include:

  • The iliac crest, which is the superior border of the ilium and serves as an attachment site for various muscles.
  • The acetabulum, which is the socket part of the hip joint where the head of the femur (thighbone) fits.
  • The iliac fossa, which is the large, concave surface on the inner side of the ilium.

The ilium is crucial for weight-bearing and locomotion. It also protects the pelvic organs and provides a stable base for the spine.

Ileum vs Ilium: Key Differences

While the ileum and ilium share a similar name, they are fundamentally different in terms of their location, function, and structure. Here is a comparison to highlight the key differences:

Aspect Ileum Ilium
Location Small intestine Pelvis
Function Absorption of nutrients and water Structural support and muscle attachment
Structure Thin walls with plicae circulares and Peyer's patches Large, flat bone with iliac crest and acetabulum
Clinical Significance Conditions like Crohn's disease and celiac disease Hip fractures and pelvic injuries

Understanding these differences is essential for medical professionals and students alike, as misidentifying these structures can lead to diagnostic errors and inappropriate treatment.

Clinical Significance of the Ileum

The ileum is susceptible to various medical conditions that can affect its function and overall health. Some of the most common conditions include:

  • Crohn's Disease: An inflammatory bowel disease that can cause inflammation and ulcers in the ileum, leading to symptoms such as abdominal pain, diarrhea, and weight loss.
  • Celiac Disease: An autoimmune disorder triggered by gluten consumption, which can damage the ileum's lining and impair nutrient absorption.
  • Intussusception: A condition where one part of the intestine slides into another, often occurring in the ileum, and can cause intestinal obstruction.

Diagnosing and treating these conditions often involves endoscopic procedures, imaging studies, and medical or surgical interventions.

📌 Note: Early detection and management of ileum-related conditions are crucial for preventing complications and maintaining overall health.

Clinical Significance of the Ilium

The ilium, being a major component of the pelvis, is involved in various clinical conditions, particularly those related to trauma and orthopedic issues. Some of the key conditions include:

  • Hip Fractures: Common in elderly individuals, often resulting from falls, and can be particularly debilitating.
  • Pelvic Fractures: Often caused by high-impact trauma, such as car accidents, and can be life-threatening due to associated injuries.
  • Osteoarthritis of the Hip: A degenerative condition that affects the hip joint, causing pain and reduced mobility.

Treatment for ilium-related conditions may include surgical interventions, such as hip replacement or fracture fixation, as well as physical therapy and pain management.

📌 Note: Proper diagnosis and treatment of ilium-related conditions are essential for restoring mobility and quality of life.

Diagnostic and Imaging Techniques

Diagnosing conditions related to the ileum and ilium often involves a combination of clinical examination, laboratory tests, and imaging studies. Some of the commonly used diagnostic techniques include:

  • Endoscopy: For visualizing the ileum and obtaining tissue samples.
  • X-rays: For detecting fractures and other bony abnormalities in the ilium.
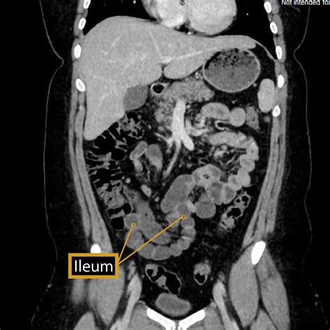
  • CT Scans: For detailed imaging of both the ileum and ilium, providing cross-sectional views.
  • MRI: For soft tissue imaging, particularly useful for evaluating the ileum and surrounding structures.

These techniques help healthcare providers accurately diagnose and manage conditions affecting the ileum and ilium.

Imaging techniques play a crucial role in the diagnosis and management of conditions affecting the ileum and ilium. For the ileum, endoscopic procedures such as colonoscopy and capsule endoscopy are commonly used to visualize the intestinal lining and detect any abnormalities. These procedures allow for the collection of tissue samples (biopsies) for further analysis, which is essential for diagnosing conditions like Crohn's disease and celiac disease.

For the ilium, imaging techniques such as X-rays, CT scans, and MRI are used to assess bone structure and detect fractures, dislocations, or other abnormalities. X-rays provide a quick and cost-effective way to visualize bone fractures, while CT scans offer detailed cross-sectional images that are useful for planning surgical interventions. MRI, on the other hand, provides excellent soft tissue contrast and is particularly useful for evaluating the hip joint and surrounding muscles and ligaments.

In some cases, a combination of these imaging techniques may be used to obtain a comprehensive assessment of the ileum and ilium. For example, a patient with suspected Crohn's disease may undergo both endoscopic and imaging studies to confirm the diagnosis and determine the extent of the disease. Similarly, a patient with a pelvic fracture may require both X-rays and CT scans to assess the severity of the injury and plan the appropriate treatment.

Advances in imaging technology have significantly improved the accuracy and efficiency of diagnostic procedures, enabling healthcare providers to deliver more effective and personalized care to their patients.

In summary, understanding the differences between the ileum and ilium is essential for accurate diagnosis and treatment of related conditions. The ileum, as part of the small intestine, plays a crucial role in nutrient absorption and is susceptible to conditions like Crohn's disease and celiac disease. The ilium, a key component of the pelvis, provides structural support and is involved in conditions such as hip fractures and pelvic injuries. Diagnostic techniques, including endoscopy, X-rays, CT scans, and MRI, are vital for evaluating and managing these conditions effectively.

By recognizing the unique characteristics and clinical significance of the ileum and ilium, healthcare providers can offer better care and improve patient outcomes.

Related Terms:

  • ileum vs iliac
  • ilium vs ileum pronunciation
  • ileum etymology
  • ileus vs ileum
  • ileum structure
  • is it ilium or ileum