Icd 10 Pneumothorax

Icd 10 Pneumothorax

Pneumothorax is a medical condition characterized by the presence of air or gas in the pleural cavity, the space between the lungs and the chest wall. This condition can be life-threatening if not properly managed, making it crucial for healthcare professionals to understand its diagnosis, classification, and treatment options. One of the key tools used in diagnosing pneumothorax is the ICD-10 coding system, which provides a standardized way to classify and document this condition. This blog post will delve into the intricacies of ICD-10 pneumothorax, its various types, diagnostic methods, and treatment approaches.

Understanding ICD-10 Pneumothorax

The ICD-10 (International Classification of Diseases, 10th Revision) is a globally used diagnostic tool for epidemiology, health management, and clinical purposes. It provides a standardized way to code and classify diseases, including pneumothorax. The ICD-10 code for pneumothorax is essential for accurate documentation and billing in healthcare settings.

Pneumothorax can be classified into several types based on its cause and severity. The primary types include:

  • Spontaneous Pneumothorax: This occurs without any apparent cause and can be further divided into primary and secondary types. Primary spontaneous pneumothorax occurs in individuals without underlying lung disease, while secondary spontaneous pneumothorax is associated with pre-existing lung conditions such as COPD or cystic fibrosis.
  • Traumatic Pneumothorax: This type results from chest injuries, such as those sustained in accidents or during medical procedures.
  • Iatrogenic Pneumothorax: This occurs as a complication of medical procedures, such as lung biopsies or mechanical ventilation.
  • Tension Pneumothorax: A medical emergency where air accumulates in the pleural space, leading to increased pressure and potential collapse of the affected lung.

Diagnostic Methods for ICD-10 Pneumothorax

Accurate diagnosis of pneumothorax is crucial for effective treatment. The diagnostic process typically involves a combination of clinical evaluation and imaging studies. The most common diagnostic methods include:

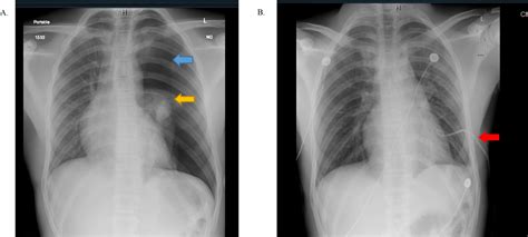
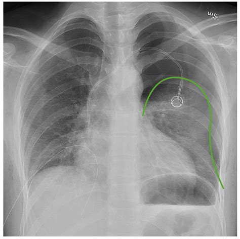
  • Chest X-ray: This is often the first-line imaging study used to diagnose pneumothorax. It can detect the presence of air in the pleural space and assess the size of the pneumothorax.
  • Computed Tomography (CT) Scan: CT scans provide more detailed images of the lungs and pleural space, making them useful for detecting small pneumothoraces or those not visible on a chest X-ray.
  • Ultrasound: In some cases, ultrasound can be used to diagnose pneumothorax, especially in emergency settings where a chest X-ray or CT scan may not be immediately available.

In addition to imaging studies, clinical symptoms and physical examination findings play a crucial role in diagnosing pneumothorax. Common symptoms include:

  • Sudden onset of chest pain
  • Shortness of breath
  • Rapid heart rate
  • Cyanosis (bluish discoloration of the skin)

Physical examination may reveal decreased breath sounds on the affected side, hyperresonance to percussion, and tracheal deviation in cases of tension pneumothorax.

Treatment Options for ICD-10 Pneumothorax

The treatment of pneumothorax depends on its type, size, and the patient's clinical status. Treatment options range from observation to surgical intervention. The primary goals of treatment are to remove the air from the pleural space, allow the lung to re-expand, and prevent recurrence.

For small, asymptomatic pneumothoraces, observation and supportive care may be sufficient. Patients are typically advised to avoid activities that could exacerbate the condition, such as air travel or scuba diving. Regular follow-up with imaging studies is essential to monitor the resolution of the pneumothorax.

For larger or symptomatic pneumothoraces, more aggressive treatment may be necessary. Common treatment options include:

  • Needle Aspiration: This involves inserting a needle into the pleural space to remove the air. It is a quick and minimally invasive procedure that can be performed at the bedside.
  • Chest Tube Insertion: A chest tube is inserted into the pleural space to continuously drain the air and allow the lung to re-expand. This procedure is typically performed under local anesthesia and may require hospitalization.
  • Surgical Intervention: In cases of recurrent pneumothorax or tension pneumothorax, surgical procedures such as video-assisted thoracoscopic surgery (VATS) or thoracotomy may be necessary. These procedures involve repairing the lung tissue and preventing future recurrences.

In cases of tension pneumothorax, immediate decompression is crucial. This can be achieved through needle decompression, where a large-bore needle is inserted into the pleural space to release the trapped air. This procedure is a life-saving measure and should be performed without delay.

Prevention and Management of ICD-10 Pneumothorax

Preventing pneumothorax involves addressing underlying risk factors and taking precautions during medical procedures. For individuals with a history of spontaneous pneumothorax, avoiding activities that increase the risk of recurrence, such as smoking and high-altitude activities, is essential. Regular follow-up with healthcare providers can help monitor lung health and detect early signs of recurrence.

For healthcare professionals, adhering to best practices during medical procedures can minimize the risk of iatrogenic pneumothorax. This includes using appropriate techniques for lung biopsies, mechanical ventilation, and other invasive procedures. Proper training and experience are crucial for reducing the incidence of procedure-related pneumothorax.

In cases of traumatic pneumothorax, prompt medical attention and appropriate management are essential. This may involve stabilizing the patient, providing oxygen therapy, and performing necessary interventions to manage the pneumothorax and any associated injuries.

Management of pneumothorax also involves educating patients about the condition, its symptoms, and the importance of seeking medical attention promptly. Patients should be aware of the signs of recurrence and know when to seek emergency care.

In addition to medical management, lifestyle modifications can play a role in preventing pneumothorax. For individuals with underlying lung conditions, such as COPD or cystic fibrosis, managing these conditions effectively can reduce the risk of pneumothorax. This may involve smoking cessation, pulmonary rehabilitation, and adherence to prescribed medications.

For patients who have experienced pneumothorax, follow-up care is essential to monitor for recurrence and ensure proper healing. Regular imaging studies and clinical evaluations can help detect early signs of recurrence and allow for timely intervention.

In some cases, patients may require long-term management strategies to prevent recurrence. This may include surgical procedures to repair lung tissue or the use of pleurodesis, a procedure that involves creating adhesions between the lung and the chest wall to prevent air from accumulating in the pleural space.

For patients with recurrent pneumothorax, a multidisciplinary approach involving pulmonologists, thoracic surgeons, and other healthcare providers may be necessary. This team-based approach can ensure comprehensive care and improve outcomes for patients with this condition.

In summary, pneumothorax is a serious medical condition that requires prompt diagnosis and appropriate management. The ICD-10 coding system provides a standardized way to classify and document pneumothorax, ensuring accurate diagnosis and treatment. Understanding the various types of pneumothorax, diagnostic methods, and treatment options is crucial for healthcare professionals in managing this condition effectively.

By adhering to best practices, educating patients, and providing comprehensive care, healthcare providers can improve outcomes for patients with pneumothorax and reduce the risk of recurrence.

Pneumothorax is a condition that can significantly impact a patient's quality of life and overall health. Early detection, appropriate management, and preventive measures are essential for ensuring the best possible outcomes. Healthcare providers play a crucial role in diagnosing and treating pneumothorax, and their expertise is vital in managing this condition effectively.

For patients, understanding the signs and symptoms of pneumothorax, seeking prompt medical attention, and adhering to recommended treatments and lifestyle modifications can help prevent recurrence and improve overall health. By working together, healthcare providers and patients can effectively manage pneumothorax and enhance the quality of life for those affected by this condition.

In conclusion, pneumothorax is a complex condition that requires a multidisciplinary approach for effective management. The ICD-10 coding system provides a valuable tool for classifying and documenting pneumothorax, ensuring accurate diagnosis and treatment. By understanding the various types of pneumothorax, diagnostic methods, and treatment options, healthcare providers can improve outcomes for patients and reduce the risk of recurrence. Through education, preventive measures, and comprehensive care, patients can effectively manage pneumothorax and enhance their overall health and well-being.

Related Terms:

  • icd 10 tension pneumothorax
  • icd 10 code pneumothorax unspecified
  • icd 10 recurrent pneumothorax
  • icd 10 code pneumothorax right
  • post op pneumothorax icd 10
  • icd 10 for right pneumothorax