Hypoplastic Dental Enamel

Hypoplastic Dental Enamel

Dental health is a critical aspect of overall well-being, and one of the conditions that can significantly impact it is Hypoplastic Dental Enamel. This condition affects the development of tooth enamel, leading to various dental issues. Understanding Hypoplastic Dental Enamel, its causes, symptoms, and treatment options is essential for maintaining good oral health.

What is Hypoplastic Dental Enamel?

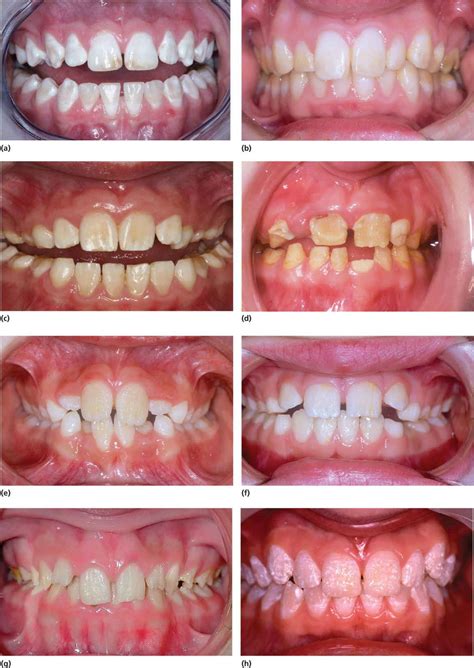
Hypoplastic Dental Enamel is a developmental defect that results in thin or missing enamel on the teeth. Enamel is the hard, outer layer of the tooth that protects it from decay and damage. When enamel is hypoplastic, it means that the enamel layer is not fully developed, leaving the teeth more susceptible to cavities, sensitivity, and other dental problems.

Causes of Hypoplastic Dental Enamel

Several factors can contribute to the development of Hypoplastic Dental Enamel. These include:

  • Genetic Factors: Some individuals may inherit a predisposition to enamel hypoplasia.
  • Nutritional Deficiencies: Inadequate intake of essential nutrients, such as vitamin D and calcium, during tooth development can affect enamel formation.
  • Systemic Diseases: Certain illnesses, such as celiac disease or rickets, can interfere with enamel development.
  • Environmental Factors: Exposure to toxins, such as fluoride in excessive amounts, can also lead to enamel hypoplasia.
  • Trauma: Injuries to the teeth or jaw during the developmental stages can disrupt enamel formation.

Symptoms of Hypoplastic Dental Enamel

The symptoms of Hypoplastic Dental Enamel can vary depending on the severity of the condition. Common symptoms include:

  • Discoloration of the teeth, often appearing yellow or brown.
  • Pitting or grooves on the surface of the teeth.
  • Increased sensitivity to hot, cold, or sweet foods and beverages.
  • Higher susceptibility to cavities and tooth decay.
  • Enamel that wears down more quickly than normal.

Diagnosis of Hypoplastic Dental Enamel

Diagnosing Hypoplastic Dental Enamel typically involves a thorough dental examination. The dentist will:

  • Examine the teeth for signs of enamel defects, such as pitting or discoloration.
  • Take X-rays to assess the extent of the enamel loss and the overall health of the teeth.
  • Review the patient’s medical history to identify any potential causes of the condition.

Treatment Options for Hypoplastic Dental Enamel

Treatment for Hypoplastic Dental Enamel aims to protect the teeth and prevent further damage. The specific treatment plan will depend on the severity of the condition and the individual’s needs. Common treatment options include:

  • Dental Sealants: These are thin, protective coatings applied to the teeth to prevent decay.
  • Fluoride Treatments: Regular fluoride applications can help strengthen the enamel and reduce sensitivity.
  • Dental Bonding: This involves applying a tooth-colored resin to the affected areas to improve the appearance and protect the teeth.
  • Crowns and Veneers: In more severe cases, crowns or veneers may be used to cover the damaged enamel and restore the tooth’s function and aesthetics.
  • Root Canal Treatment: If the enamel defect has led to significant decay or infection, a root canal may be necessary to save the tooth.

Preventive Measures for Hypoplastic Dental Enamel

While Hypoplastic Dental Enamel is often a result of genetic or developmental factors, there are preventive measures that can be taken to minimize the risk and manage the condition:

  • Maintain a balanced diet rich in essential nutrients, such as calcium and vitamin D.
  • Ensure proper oral hygiene, including regular brushing and flossing.
  • Schedule regular dental check-ups to monitor the condition and address any issues early.
  • Avoid excessive fluoride intake, especially in children.
  • Seek early treatment for any systemic diseases that could affect enamel development.

Living with Hypoplastic Dental Enamel

Living with Hypoplastic Dental Enamel requires ongoing dental care and attention to oral hygiene. Individuals with this condition should:

  • Be vigilant about regular dental visits to monitor the condition and address any issues promptly.
  • Use fluoride toothpaste and mouthwash to strengthen the enamel.
  • Avoid foods and beverages that can exacerbate sensitivity, such as acidic or sugary items.
  • Consider using a soft-bristled toothbrush to avoid further damage to the enamel.

📝 Note: It is crucial to consult with a dental professional to develop a personalized treatment plan tailored to the individual's needs and the severity of the condition.

Impact on Oral Health

Hypoplastic Dental Enamel can have a significant impact on oral health. The weakened enamel makes the teeth more susceptible to decay, sensitivity, and other dental issues. This can lead to:

  • Increased risk of cavities and tooth decay.
  • Enhanced sensitivity to temperature changes and certain foods.
  • Potential for tooth loss if the condition is not managed properly.
  • Cosmetic concerns due to discoloration and pitting.

Case Studies and Examples

To better understand the impact of Hypoplastic Dental Enamel, let’s look at a few case studies:

Case Study Age Symptoms Treatment
Case 1 8 years old Yellow discoloration, pitting on incisors Dental sealants, fluoride treatments
Case 2 25 years old Sensitivity, increased cavities Dental bonding, crowns
Case 3 40 years old Severe enamel loss, tooth decay Root canal treatment, veneers

Research and Future Directions

Research on Hypoplastic Dental Enamel is ongoing, with scientists and dental professionals working to better understand the condition and develop more effective treatments. Some areas of focus include:

  • Genetic studies to identify the specific genes involved in enamel development.
  • Nutritional research to determine the optimal intake of essential nutrients for enamel health.
  • Development of new materials and techniques for restoring damaged enamel.
  • Exploration of preventive measures to reduce the incidence of Hypoplastic Dental Enamel.

In conclusion, Hypoplastic Dental Enamel is a condition that affects the development of tooth enamel, leading to various dental issues. Understanding the causes, symptoms, and treatment options is crucial for managing this condition and maintaining good oral health. Regular dental check-ups, proper oral hygiene, and a balanced diet can help minimize the risk and impact of Hypoplastic Dental Enamel. Early intervention and personalized treatment plans are essential for individuals with this condition to ensure optimal dental health and well-being.

Related Terms:

  • hypoplastic enamel in children
  • enamel hypoplasia
  • enamel defect
  • hypoplastic enamel causes
  • hypoplastic teeth
  • hyperplastic enamel