Obstructive Sleep Apnea (OSA) is a prevalent sleep disorder characterized by repeated episodes of upper airway obstruction during sleep, leading to disrupted breathing and reduced oxygen levels. This condition can significantly impact an individual's quality of life, causing daytime fatigue, cognitive impairment, and increased risk of cardiovascular diseases. Traditional treatments for OSA include Continuous Positive Airway Pressure (CPAP) therapy and oral appliances, but these methods are not always effective or well-tolerated by patients. In recent years, Hypoglossal Nerve Stimulation (HNS) has emerged as a promising alternative for managing OSA, particularly for patients who do not respond well to conventional therapies.
Understanding Hypoglossal Nerve Stimulation
Hypoglossal Nerve Stimulation is an innovative treatment that involves the implantation of a device to stimulate the hypoglossal nerve, which controls the movement of the tongue. By stimulating this nerve, the device helps to keep the airway open during sleep, thereby reducing the frequency and severity of apneic events. This procedure is typically recommended for patients with moderate to severe OSA who have not found relief with CPAP or oral appliances.
How Hypoglossal Nerve Stimulation Works
The HNS system consists of three main components:
- A pulse generator, similar to a pacemaker, which is implanted in the chest.
- A sensing lead, placed between the ribs to monitor breathing patterns.
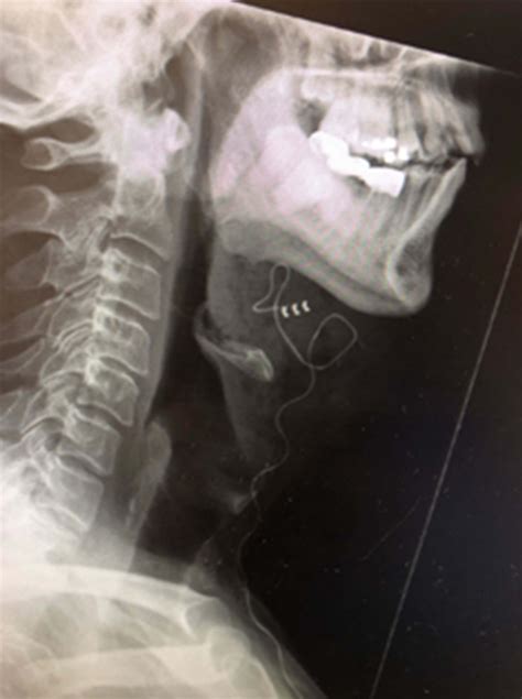
- A stimulation lead, attached to the hypoglossal nerve in the neck.
The pulse generator detects breathing patterns through the sensing lead. When it detects an apneic event, it sends electrical impulses to the stimulation lead, which in turn stimulates the hypoglossal nerve. This stimulation causes the tongue to move forward, opening the airway and allowing for uninterrupted breathing.
The Procedure: What to Expect
The implantation of the HNS device is typically performed under general anesthesia and involves several steps:
- Incision and Lead Placement: The surgeon makes an incision in the chest to implant the pulse generator. Another incision is made in the neck to access the hypoglossal nerve, where the stimulation lead is attached.
- Sensing Lead Placement: A third incision is made between the ribs to place the sensing lead, which monitors breathing patterns.
- Device Programming: Once all components are in place, the device is programmed to deliver the appropriate level of stimulation based on the patient's specific needs.
The entire procedure usually takes about 2-3 hours, and patients typically stay in the hospital for 1-2 nights for monitoring and recovery.
📝 Note: The success of HNS therapy depends on proper patient selection and device programming. It is essential to work closely with a healthcare provider experienced in HNS to ensure optimal outcomes.
Benefits of Hypoglossal Nerve Stimulation
Hypoglossal Nerve Stimulation offers several advantages over traditional OSA treatments:
- Improved Compliance: Unlike CPAP, which requires daily use and can be uncomfortable for some patients, HNS is a passive treatment that does not interfere with daily activities.
- Effective Symptom Relief: Many patients report significant reductions in apneic events and improvements in daytime symptoms such as fatigue and cognitive function.
- Long-Term Solution: The HNS device is designed to provide long-term relief, with many patients experiencing sustained benefits over several years.
Candidates for Hypoglossal Nerve Stimulation
Not all patients with OSA are suitable candidates for HNS. The ideal candidate typically meets the following criteria:
- Moderate to Severe OSA: Patients with an Apnea-Hypopnea Index (AHI) of 15-65 events per hour.
- CPAP Intolerance: Patients who have tried and failed CPAP therapy or oral appliances.
- Body Mass Index (BMI): Patients with a BMI of less than 32.
- Age: Generally, patients between 22 and 75 years old.
Additionally, patients should undergo a drug-induced sleep endoscopy (DISE) to assess the anatomy of the upper airway and ensure that HNS is likely to be effective.
Risks and Complications
As with any surgical procedure, HNS carries certain risks and potential complications. These may include:
- Infection: There is a risk of infection at the surgical sites.
- Device Malfunction: Although rare, the device may malfunction or require replacement.
- Nerve Damage: There is a small risk of damage to the hypoglossal nerve during the implantation process.
- Pain and Discomfort: Some patients may experience pain or discomfort at the implant sites.
It is crucial for patients to discuss these risks with their healthcare provider and weigh the potential benefits against the possible complications.
Post-Operative Care and Follow-Up
After the HNS device is implanted, patients will need to follow a post-operative care plan to ensure proper healing and device function. This typically includes:
- Activity Restrictions: Avoiding strenuous activities and heavy lifting for several weeks.
- Incision Care: Keeping the incision sites clean and dry to prevent infection.
- Follow-Up Appointments: Regular check-ups with the healthcare provider to monitor device function and adjust settings as needed.
Patients will also undergo a sleep study to assess the effectiveness of the HNS therapy and make any necessary adjustments to the device settings.
Long-Term Management and Maintenance
Hypoglossal Nerve Stimulation requires ongoing management to ensure continued effectiveness. This includes:
- Regular Check-Ups: Periodic visits to the healthcare provider to monitor device function and overall health.
- Device Programming: Adjustments to the device settings may be necessary over time to maintain optimal therapy.
- Battery Replacement: The pulse generator battery will eventually need to be replaced, typically every 8-10 years.
Patients should also be aware of any changes in their symptoms or overall health and report them to their healthcare provider promptly.
Comparing Hypoglossal Nerve Stimulation to Other Treatments
To better understand the role of HNS in managing OSA, it is helpful to compare it with other common treatments:
| Treatment | Mechanism of Action | Advantages | Disadvantages |
|---|---|---|---|
| CPAP | Delivers pressurized air to keep the airway open | Highly effective for most patients, non-invasive | Can be uncomfortable, requires daily use, may cause skin irritation |
| Oral Appliances | Repositions the jaw to open the airway | Non-invasive, portable, easy to use | May cause jaw discomfort, not effective for all patients |
| Hypoglossal Nerve Stimulation | Stimulates the hypoglossal nerve to move the tongue forward | Passive treatment, improved compliance, long-term solution | Surgical procedure, potential risks and complications |
Each treatment option has its own set of benefits and drawbacks, and the best choice depends on the individual patient's needs and preferences.
📝 Note: It is essential to consult with a healthcare provider to determine the most appropriate treatment for OSA based on individual circumstances.
Patient Success Stories
Many patients who have undergone Hypoglossal Nerve Stimulation have reported significant improvements in their quality of life. For example, John, a 55-year-old patient with severe OSA, struggled with CPAP therapy for years. After undergoing HNS, he experienced a dramatic reduction in apneic events and reported feeling more rested and alert during the day. Similarly, Sarah, a 42-year-old patient, found that oral appliances were ineffective for her. Following HNS therapy, she noticed a significant improvement in her sleep quality and overall well-being.
These success stories highlight the potential of HNS to transform the lives of patients with OSA who have not found relief with traditional treatments.

Hypoglossal Nerve Stimulation is a groundbreaking treatment option for patients with Obstructive Sleep Apnea who have not found relief with conventional therapies. By stimulating the hypoglossal nerve to keep the airway open during sleep, HNS offers a passive and effective solution for managing OSA. While the procedure carries certain risks and requires ongoing management, the potential benefits in terms of improved sleep quality and overall health make it a valuable option for many patients. As research and technology continue to advance, HNS is likely to play an increasingly important role in the treatment of OSA, providing hope and relief to those who struggle with this challenging condition.
Related Terms:
- hypoglossal nerve stimulation therapy
- hypoglossal nerve stimulation criteria
- hypoglossal nerve stimulation nhs
- hypoglossal nerve stimulation osa
- hypoglossal nerve stimulation devices
- hypoglossal nerve stimulation cpt code