Hyperglycinemia Icd 10

Hyperglycinemia Icd 10

Hyperglycinemia is a rare metabolic disorder characterized by elevated levels of glycine in the body. This condition can have significant implications for an individual's health, particularly if left undiagnosed or untreated. Understanding the intricacies of Hyperglycinemia ICD 10 coding is crucial for healthcare professionals to ensure accurate diagnosis and effective treatment. This blog post delves into the details of Hyperglycinemia, its ICD 10 coding, symptoms, diagnosis, treatment options, and the importance of early intervention.

Understanding Hyperglycinemia

Hyperglycinemia is a metabolic disorder that affects the body’s ability to process glycine, an amino acid essential for various biological functions. In individuals with this condition, glycine accumulates in the blood and other bodily fluids, leading to a range of symptoms and complications. The disorder can be classified into different types based on its underlying cause and severity.

Types of Hyperglycinemia

There are several types of Hyperglycinemia, each with distinct characteristics and causes:

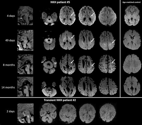
  • Nonketotic Hyperglycinemia (NKH): This is the most severe form, often presenting in infancy. It is caused by a deficiency in the glycine cleavage system, leading to high levels of glycine in the brain and other tissues.
  • Transient Hyperglycinemia of the Newborn: This type is typically benign and resolves on its own within the first few weeks of life. It is often associated with prematurity or other stress factors.
  • Ketotic Hyperglycinemia: This form is less common and is often associated with other metabolic disorders, such as organic acidemias.

Symptoms of Hyperglycinemia

The symptoms of Hyperglycinemia can vary widely depending on the type and severity of the condition. Some common symptoms include:

  • Lethargy and weakness
  • Seizures
  • Developmental delays
  • Hypotonia (low muscle tone)
  • Feeding difficulties
  • Coma

In severe cases, such as Nonketotic Hyperglycinemia, symptoms can be life-threatening and may include respiratory failure and coma.

Diagnosis of Hyperglycinemia

Diagnosing Hyperglycinemia involves a combination of clinical evaluation, laboratory tests, and genetic testing. The process typically includes:

  • Clinical Evaluation: A thorough medical history and physical examination to assess symptoms and rule out other potential causes.
  • Laboratory Tests: Blood and urine tests to measure glycine levels. Elevated glycine levels in the cerebrospinal fluid (CSF) are particularly indicative of Hyperglycinemia.
  • Genetic Testing: Molecular genetic testing to identify mutations in the genes associated with the glycine cleavage system.

Early and accurate diagnosis is crucial for initiating appropriate treatment and managing the condition effectively.

Hyperglycinemia ICD 10 Coding

Accurate coding is essential for proper documentation and reimbursement in healthcare settings. The ICD 10 code for Hyperglycinemia is E72.1. This code helps healthcare providers and insurance companies understand the specific condition being treated, ensuring that patients receive the appropriate care and resources.

Here is a breakdown of the ICD 10 code for Hyperglycinemia:

ICD 10 Code Description
E72.1 Hyperglycinemia

It is important for healthcare providers to use the correct ICD 10 code to ensure accurate billing and to facilitate communication among healthcare professionals.

Treatment Options for Hyperglycinemia

The treatment of Hyperglycinemia depends on the type and severity of the condition. While there is no cure for the disorder, various management strategies can help alleviate symptoms and improve quality of life. Some common treatment options include:

  • Dietary Management: A specialized diet low in glycine and high in protein can help reduce glycine levels in the body.
  • Medications: Certain medications, such as sodium benzoate, can help lower glycine levels by promoting its excretion.
  • Supportive Care: Physical therapy, occupational therapy, and other supportive measures can help manage symptoms and improve functional abilities.
  • Genetic Counseling: For families with a history of Hyperglycinemia, genetic counseling can provide valuable information and support.

In severe cases, such as Nonketotic Hyperglycinemia, more aggressive treatment may be necessary, including hospitalization and intensive care.

Importance of Early Intervention

Early intervention is crucial for managing Hyperglycinemia effectively. Prompt diagnosis and treatment can significantly improve outcomes and reduce the risk of complications. Healthcare providers should be vigilant in recognizing the symptoms of Hyperglycinemia and initiating appropriate diagnostic tests. Early intervention can help:

  • Prevent severe symptoms and complications
  • Improve developmental outcomes
  • Enhance quality of life
  • Reduce the need for intensive medical care

Parents and caregivers should be educated about the signs and symptoms of Hyperglycinemia and encouraged to seek medical attention promptly if they suspect their child may be affected.

📝 Note: Early intervention strategies may vary depending on the type and severity of Hyperglycinemia. It is essential to consult with a healthcare provider to develop an individualized treatment plan.

Living with Hyperglycinemia

Living with Hyperglycinemia can be challenging, but with proper management and support, individuals with this condition can lead fulfilling lives. It is important for families to stay informed about the latest research and treatment options, and to seek support from healthcare providers, support groups, and other resources. Some key aspects of living with Hyperglycinemia include:

  • Regular Medical Follow-ups: Regular check-ups with healthcare providers to monitor glycine levels and adjust treatment as needed.
  • Dietary Management: Adhering to a specialized diet to manage glycine levels effectively.
  • Supportive Care: Engaging in physical therapy, occupational therapy, and other supportive measures to improve functional abilities.
  • Emotional Support: Seeking emotional support from family, friends, and support groups to cope with the challenges of living with a chronic condition.

With the right support and management strategies, individuals with Hyperglycinemia can achieve a good quality of life and thrive despite the challenges posed by the condition.

Hyperglycinemia is a complex and challenging condition, but with accurate diagnosis, effective treatment, and early intervention, individuals with this disorder can lead fulfilling lives. Understanding the intricacies of Hyperglycinemia ICD 10 coding is essential for healthcare providers to ensure accurate documentation and appropriate care. By staying informed and seeking support, families can navigate the challenges of Hyperglycinemia and improve outcomes for their loved ones.

Related Terms:

  • icd 10 codes for hyperglycemia
  • nonketotic hyperglycinemia icd 10
  • hyperglycemic crisis icd 10
  • hyperglycemia without dka icd 10
  • hyperbilirubinemia icd 10
  • hyperglycemia with dka icd 10