Histiocytic Sarcoma Dog

Histiocytic Sarcoma Dog

Histiocytic sarcoma is a rare and aggressive form of cancer that can affect dogs. This type of cancer originates from histiocytes, which are a type of white blood cell involved in the immune system. Histiocytic sarcoma in dogs is particularly challenging because it can metastasize quickly, making early detection and treatment crucial. Understanding the symptoms, diagnosis, and treatment options for histiocytic sarcoma in dogs is essential for pet owners to provide the best possible care for their furry companions.

Understanding Histiocytic Sarcoma in Dogs

Histiocytic sarcoma in dogs is a malignant tumor that arises from histiocytes, which are part of the immune system. These cells are responsible for fighting infections and other foreign invaders. When histiocytes become cancerous, they can form tumors in various parts of the body, including the skin, lymph nodes, spleen, and bone marrow. The cancer can spread rapidly to other organs, making it difficult to treat.

Histiocytic sarcoma is more commonly diagnosed in certain breeds, including Bernese Mountain Dogs, Rottweilers, and Flat-Coated Retrievers. However, it can affect any breed and age of dog. The exact cause of histiocytic sarcoma is not fully understood, but genetic predisposition and environmental factors may play a role.

Symptoms of Histiocytic Sarcoma in Dogs

The symptoms of histiocytic sarcoma in dogs can vary depending on the location and stage of the cancer. Some common signs to look out for include:

  • Lumps or masses under the skin
  • Swollen lymph nodes
  • Lethargy and weakness
  • Loss of appetite
  • Weight loss
  • Fever
  • Difficulty breathing
  • Lameness or limping

If you notice any of these symptoms in your dog, it is important to consult with a veterinarian as soon as possible. Early detection can significantly improve the chances of successful treatment.

Diagnosing Histiocytic Sarcoma in Dogs

Diagnosing histiocytic sarcoma in dogs involves a combination of physical examination, imaging tests, and biopsy. The diagnostic process typically includes the following steps:

  • Physical Examination: The veterinarian will perform a thorough physical exam to check for any lumps, masses, or swollen lymph nodes.
  • Imaging Tests: X-rays, ultrasound, or CT scans may be used to visualize the internal organs and detect any tumors or abnormalities.
  • Blood Tests: Blood tests can help assess the overall health of the dog and detect any abnormalities in blood cell counts.
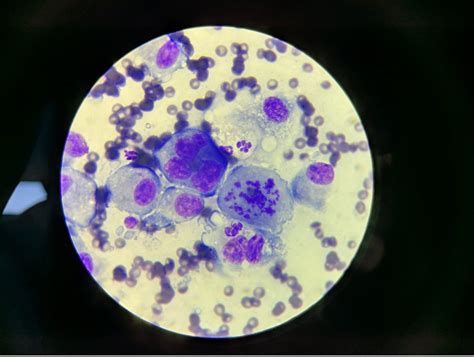
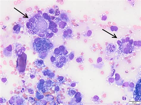
  • Biopsy: A biopsy involves taking a sample of the tumor tissue for microscopic examination. This is the most definitive way to diagnose histiocytic sarcoma.

Once a diagnosis is confirmed, the veterinarian will determine the stage of the cancer and develop a treatment plan tailored to the dog's specific needs.

Treatment Options for Histiocytic Sarcoma in Dogs

Treatment for histiocytic sarcoma in dogs can be challenging due to the aggressive nature of the cancer. The primary goals of treatment are to remove the tumor, control the spread of the cancer, and improve the dog's quality of life. Treatment options may include:

  • Surgery: Surgical removal of the tumor is often the first line of treatment. However, histiocytic sarcoma can be difficult to completely remove due to its invasive nature.
  • Chemotherapy: Chemotherapy drugs may be used to kill cancer cells and slow the progression of the disease. Chemotherapy can be administered orally or intravenously.
  • Radiation Therapy: Radiation therapy uses high-energy beams to target and destroy cancer cells. This treatment is often used in combination with surgery or chemotherapy.
  • Immunotherapy: Immunotherapy involves using the dog's own immune system to fight the cancer. This treatment is still in the experimental stages for histiocytic sarcoma but shows promise.

Each treatment option has its own set of risks and benefits, and the choice of treatment will depend on the dog's overall health, the stage of the cancer, and the owner's preferences.

Prognosis and Quality of Life

The prognosis for dogs with histiocytic sarcoma is generally poor due to the aggressive nature of the cancer and its tendency to metastasize quickly. The average survival time for dogs with histiocytic sarcoma is typically less than a year, although some dogs may live longer with aggressive treatment.

Maintaining the dog's quality of life is a crucial aspect of managing histiocytic sarcoma. This may involve:

  • Pain management to ensure the dog is comfortable
  • Nutritional support to maintain a healthy weight
  • Regular veterinary check-ups to monitor the progression of the disease
  • Emotional support and companionship to keep the dog happy and stress-free

It is important for pet owners to work closely with their veterinarian to develop a comprehensive care plan that addresses both the medical and emotional needs of their dog.

Support and Resources for Pet Owners

Dealing with a diagnosis of histiocytic sarcoma in a dog can be emotionally challenging for pet owners. Seeking support from various resources can help manage the stress and uncertainty. Some useful resources include:

  • Veterinary oncologists who specialize in cancer treatment for pets
  • Support groups for pet owners dealing with cancer
  • Online forums and communities where pet owners can share experiences and advice
  • Books and articles on pet cancer and end-of-life care

Engaging with these resources can provide valuable information, emotional support, and a sense of community during a difficult time.

📝 Note: Always consult with a veterinarian before making any decisions about your dog's treatment or care. They can provide personalized advice based on your dog's specific needs and circumstances.

Histiocytic sarcoma in dogs is a serious and challenging condition, but with early detection, appropriate treatment, and comprehensive care, pet owners can help improve their dog’s quality of life and manage the disease effectively. Understanding the symptoms, diagnosis, and treatment options for histiocytic sarcoma is essential for providing the best possible care for your furry companion.

Related Terms:

  • histiocytoma in dogs prognosis
  • histiocytosis in dogs pictures
  • histiocytic sarcoma dog limb study
  • histiocytoma healing stages
  • histiocytic sarcoma dog chemotherapy
  • histiocytic sarcoma dog treatment options